Presentamos en nuestro trabajo, los hallazgos morfológicos e inmunohistoquímicos de carácter diagnóstico observados en un meningioma de células claras localizado a nivel de la cauda equina en un paciente de 25 años. El tumor mostró un patrón morfológico de predominio nodular en el que destacaban las células de citoplasma claro, positivas para la tinción de PAS.
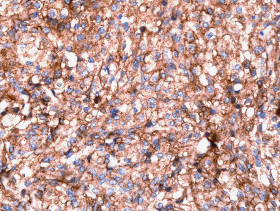
El hallazgo de áreas de aspecto meningoteliomatoso dentro del mismo tumor así como la inmunohistoquímica (positividad de las células tumorales para vimentina y EMA y negatividad para citoqueratinas, CD10, HMB-45 y proteína glial fibrilar ácida) permitió establecer un diagnóstico diferencial con otras neoplasias principalmente con las metástasis de carcinoma renal.
De igual modo se comentan con brevedad las características de esta variante de meningioma de grado intermedio de malignidad (meningioma grado ii de la OMS).
The morphological and immunohistochemical findings of a clear cell meningioma found in the cauda equina of a 25 year old patient are reported. The tumour was predominately nodular with a marked presence of cells with clear cytoplasm which stained positively for PAS.
The presence of meningoteliomatous areas in the tumour, together with the immunohistochemistry of the tumour cells (positivity for vimentin and EMA and negativity for cytokeratins, CD10, HMB45 and PGFA) were the diagnostic features that differentiated the tumour from other possible diagnoses, principally metastases from a renal carcinoma. The characteristics of this type of meningioma, which has an intermediate grade of malignancy (WHO grade ii meningioma) are discussed.







