Los tumores del estroma gastrointestinal (GIST) representan las neoplasias mesenquimales más comunes del tracto gastrointestinal. Estos tumores generalmente muestran expresión inmunohistoquímica de c-KIT y/o DOG-1 y presentan mutaciones en los genes KIT o PDGFRα. La coexistencia de GIST con otras neoplasias ha sido ampliamente documentada en la literatura. Los tumores más comúnmente asociados a GIST son los carcinomas y las patologías hematológicas, sobre todo las leucemias mieloides. Describimos un caso de coexistencia de GIST con leucemia de linfocitos grandes granulares, algo previamente no descrito en la literatura. Se describen las características clinicopatológicas de ambos tumores y se revisa la literatura actualizada sobre el tema.
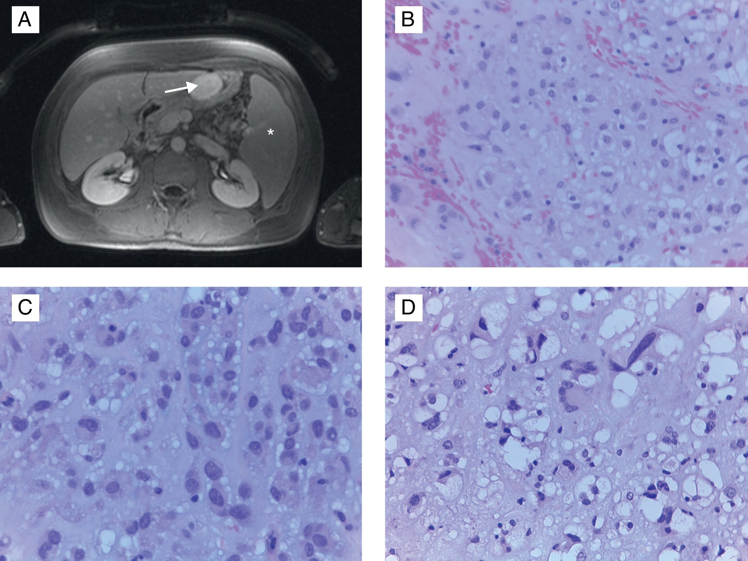
Gastrointestinal stromal tumours (GISTs) are the most common mesenchymal tumours of the gastrointestinal tract. GISTs usually have c-KIT and/or DOG-1 immunoexpression and are related to mutational activation of KIT or PDGFRα. The coexistence of GISTs with other neoplasms has been frequently reported, the most common secondary neoplasms being carcinomas and hematologic neoplasms, mainly myeloid leukaemia. We describe, to our knowledge for the first time, the coexistence of GIST and T-large granular lymphocytic leukemia (T-LGL). The clinicopathological features of both tumours are discussed and the recent literature is reviewed.








