Estudiar la anatomía de la próstata y la vesícula seminal en ratones motheaten viable (mev) con mutaciones en el gen PTPN6 que conlleva una severa reducción en la actividad de la proteína tirosina fosfatasa SHP-1. Los ratones mev homocigotos muestran múltiples anomalías que incluyen inmunodeficiencias, aumento en la proliferación de macrófagos, neutrófilos y progenitores de eritrocitos, disminución de la densidad ósea y esterilidad.
Material y métodoSe analizó la anatomía macro y microscópica de la vesícula seminal y de la próstata, tanto a nivel macro como microscópico, de 5 ratones mev/mev (homocigotos mev) y 8 ratones wt/wt (tipo salvaje) adultos de 7 semanas. Se ha realizado análisis morfométrico computarizado para medir cambios relativos en el volumen epitelial de los diferentes lóbulos prostáticos.
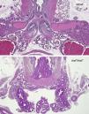
ResultadosTodos los ratones estudiados mostraron órganos genitales (pene, testículos, epidídimos, deferentes) y vejiga normales. La vesícula seminal se encontraba ausente en todos los ejemplares mev/mev analizados, siendo normal y muy llamativa en ratones wt/wt. Las diferentes glándulas que componen el complejo prostático (próstata anterior, ventral y dorsolateral) se encontraron atróficas en ratones mev/mev: próstata anterior 0,4 veces, ventral 0,19 veces, dorsal 0,35 veces y lateral 0,28 veces el tamaño de las respectivas regiones en ratones wt/wt. A nivel microscópico los ratones mev/mev mostraron ductos prostáticos mayores y escasos, acinos severamente atróficos con luces vacías y escaso y suelto componente epitelial formando penachos y pliegues, y cambios hiperplásicos en el estroma fibromuscular.
ConclusionesLa próstata de ratones mev/mev muestra signos de diferenciación aberrante y el fenotipo resultante puede estar relacionado con la pérdida de función SHP-1. Las anomalías prostáticas en estos ratones influyen, junto con los defectos de la maduración espermática, en su esterilidad. Estos datos sugieren que SHP-1 desempeña un importante papel en la morfogénesis epitelial prostática.
To study prostate and seminal vesicle anatomy in viable motheaten (mev) with mutations in PTPN6 gene leading to a severe reduction in the activity of protein tyrosine phosphatase SHP-1. Homozygous mev mice exhibit multiple anomalies that include immunodeficiencies, increased proliferation of macrophage, neutrophil, and erythrocyte progenitors, decreased bone density and sterility.
Material and methodWe analyzed macro- and microscopic anatomy of the seminal vesicle and prostate macro- and microscopic anatomy of 5 mev/mev and 8wt/wt adult 7 week old mice. Computerized morphometric analysis was performed to measure the relative changes appearing in the epithelial volume of the different prostatic lobes.
ResultsAll mice studied revealed normal genital organs (penis, testis, epididymis, vas deferens) and bladder. The seminal vesicle was absent in all mev/mev individuals analyzed, being normal and very noticeable in wt/wt mice. The different glands that compose the prostatic complex (anterior, ventral and dorso-lateral prostate) were atrophied in mev/mev mice: anterior prostate 0.4 times, ventral 0.19 times, dorsal 0.35 times and lateral 0.28 times those of the respective regions in wt/wt mice. Microscopically, mev/mev mice revealed scarce and large prostatic ducts, acini severely atrophic with empty lumen and scarce loose epithelial component forming tufts and infoldings, and hyperplastic changes in fibromuscular stroma.
ConclusionsThe prostate of mev/mev mice exhibits signs of aberrant differentiation and the resulting phenotype may be related to the loss of function of SHP-1. Prostatic anomalies in these mice affect, together with defects in sperm maduration, for their sterility. These data suggest SHP-1 plays an important role in prostate epithelial morphogenesis.











