La patología más frecuente en los niños es la infección del tracto respiratorio y origina múltiples solicitudes de imágenes. La radiografía (Rx) de tórax es el mejor método diagnóstico para la neumonía, tanto desde un punto de vista clínico como epidemiológico. En niños inmunocompetentes los agentes causales más frecuentes son los virus. Si bien la Rx no permite precisar con exactitud la etiología, existen patrones radiológicos que se asocian con mayor frecuencia a ciertos agentes: el patrón de relleno alveolar es frecuente en infecciones bacterianas, el intersticial se observa habitualmente en etiología viral y el mixto se presenta en infecciones por Mycoplasma pneumoniae, agentes virales e infecciones asociadas. En pleuroneumonías, la ultrasonografía resulta de gran utilidad como complemento de la Rx para caracterizar el derrame pleural y avalar decisiones terapéuticas. El uso de TC es excepcional en neumonías y pleuroneumonías de niños inmunocompetentes.
The most common disease in children is respiratory tract infection; it causes important number of requests for images. Chest X-Ray is the best diagnostic method for pneumonia, both clinical and epidemiological point of view.
In immunocompetent children, the most common etiologic agents are viruses. Although Rx doesn’t indicate the etiology, radiographic patterns are associated more frequently to certain etiologic agents: alveolar filling pattern is common in bacterial infections, interstitial commonly observed in viral etiology and mixed pattern ussually is visualized in Mycoplasma pneumoniae infections, viral agents and associated infections. In pleuroneumonias, ultrasonography is useful in characterization of pleural effusion and to allow therapeutic decisions. Use of CT in pneumonia and pneumonias complicated with empyema, is very rare in immunocompetent children.
Las infecciones del tracto respiratorio son la causa más frecuente de enfermedad en niños y una de las mayores indicaciones de imágenes en la edad pediátrica (1). La Organización Mundial de la Salud (OMS) estima que anualmente se producen 1,9 millones de casos de neumonía con resultado de muerte; en Chile, ésta es responsable de la mitad de los egresos hospitalarios en los primeros años de vida y constituye la causa de muerte de 1,38 por 1.000 recién nacidos vivos (2).
Se denomina como “neumonía adquirida en la comunidad” (NAC) a una infección pulmonar que compromete a un paciente previamente sano, que se infectó fuera del hospital (3). La vía más frecuente de in fección del árbol tráqueobronquial es la inhalación de microorganismos transmitidos a través de la tos o el estornudo, desde un individuo que se encuentra colonizado o infectado; por esta razón, se consideran factores de riesgo para enfermar de neumonía: asistencia a salas cuna/jardines infantiles, bajo nivel socio-económico, hacinamiento, madre que fuma y contaminación ambiental, entre otros (3, 4). Esta patología presenta un amplio espectro desde el punto de vista clínico, destacando que los síntomas, signos y exámenes de laboratorio de la neumonía en la edad pediátrica son menos específicos que en la vida adulta. El cuadro clínico varía según la edad del paciente, el agente etiológico y la extensión/ localización de la enfermedad (2). Mientras que en los niños pequeños los síntomas generalmente incluyen rechazo de la alimentación, fiebre, taquipnea y retracción intercostal, en los mayores de 2 años pueden aparecer síntomas más específicos tales como tos con expectoración, calofríos y puntada de costado (3). En ocasiones, en escolares y preescolares la fiebre puede ser el único síntoma, en ausencia de hallazgos específicos en el examen físico e incluso, con cierta frecuencia es posible observar pacientes que se manifiestan sólo por dolor abdominal y fiebre, en neumonías de localización basal (1).
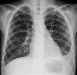
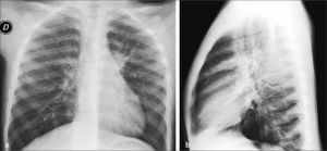
La radiografía (Rx) de tórax se considera como el mejor método diagnóstico en esta patología, de valor tanto desde un punto de vista clínico como epidemiológico (Figura 1) (1,4). Estudios reportan que en los pacientes en que se solicitó una Rx de tórax por sospecha de neumonía se produjeron cambios en el diagnóstico hasta en un 20% de los casos y en el manejo, hasta en un 30% de los casos (1). Cuando se dispone del recurso, la Rx debiera solicitarse en niños con: sospecha de neumonía cuando existe clínica dudosa o ambigua, síndrome febril sin foco, neumonía de curso prolongado, antecedente de neumonías anteriores, neumonía que no responde a tratamiento antibiótico o sospecha de complicaciones (3).
Gran número de agentes etiológicos pueden causar neumonías y determinar la causa es muchas veces difícil; debido a lo invasor que resulta realizar cultivo directo de tejido pulmonar, la mayoría de los estudios publicados utiliza exámenes de laboratorio que proveen sólo evidencia indirecta de neumonía (hemocultivos, aspirados nasofaríngeos, hemograma, PCR y tests serológicos) (6). En la edad pediátrica, cuando la infección es adquirida en la comunidad por huéspedes inmunocompetentes, los agentes causales más frecuentes son los virus, especialmente en las neumonías de niños menores de 2 años (3); entre éstos, los más habituales son: virus respiratorio sincicial (VRS), metapneumovirus, adenovirus, parainfluenza e influenza; las coinfecciones virales son frecuentes (3). La incidencia de la etiología bacteriana es variable según la edad; el agente causal predominante en los niños menores de 5 años es el Streptococcus pneumoniae o neumococo, y en segundo lugar aparece el Haemophilus influenzae en los países que aún no utilizan la vacuna. Entre otras etiologías destacan Mycoplasma pneumoniae, Moraxella catarralis y Staphylococcus aureus, este último excepcional en la actualidad (3). En los niños mayores de 5 años, los agentes etiológicos más frecuentes son Streptococcus pneumoniae, Mycoplasma pneumoniae y Chlamydophila pneumoniae (3); estos últimos deben considerarse también en los niños más pequeños, aunque se presentan con menor frecuencia. La incorporación de la vacuna heptavalente para Streptococcus pneumoniae disminuye significativamente las neumonías por este germen. En un grupo de estudio en California se demostró que los lactantes vacunados tuvieron un riesgo 70% menor de enfermar de neumonía con consolidación alveolar en relación con los casos controles (3, 5).
Para tomar adecuadas decisiones en el manejo clínico de los pacientes, sería necesario distinguir con certeza entre etiología viral y bacteriana, lo que no se logra con frecuencia considerando los aspectos clínicos y el laboratorio habitual (1). Por lo anterior, frecuentemente se espera que la Rx confirme el diagnóstico y sugiera un agente causal. Si bien la Rx no permite diferenciar con exactitud el patógeno (4, 7), existen patrones radiológicos que se observan más frecuentemente en infecciones pulmonares bacterianas y otros en virales; si se consideran los datos clínicos en conjunto con el tipo de patrón radiológico, en un número significativo de pacientes es factible sugerir la etiología más probable, lo que resulta útil para orientar la terapia (4). Es conocida la variabilidad inter-observadores en la interpretación de Rx de tórax pediátricas, tanto por parte de médicos clínicos como incluso entre radiólogos (5). Sin embargo, habitualmente existe un alto nivel de acuerdo si se trata de diagnosticar presencia o ausencia de consolidación / relleno alveolar y menor grado de coincidencia en cambios radiológicos menores u opacidades de escasa densidad (8). Se ha estimado que la Rx tiene un alto valor predictivo negativo, cercano al 90%, lo que permitiría excluir neumonías bacterianas y por lo tanto reducir el número de pacientes tratados innecesariamente con antibióticos (1), hecho relevante si se considera la creciente resistencia a antibióticoterapia.
Utilización de examenes imaginológicosLa obtención de exámenes de imágenes dependerá del índice de sospecha clínico, por lo que niños con síntomas leves o evidencias de infección respiratoria alta debieran ser tratados en base a la clínica, sin necesidad de Rx.
En la actualidad se dispone de diversas técnicas de diagnóstico por imágenes para el estudio del tórax. La Rx de tórax debe ser siempre el examen inicial en sospecha clínica de neumonía, pudiendo complementarse en casos seleccionados con ultrasonografía (US) o tomografía computarizada (TC), especialmente en el estudio de complicaciones.
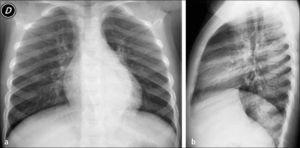
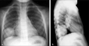
El control radiográfico no debiera ser la regla debiendo reservarse para los casos en que los síntomas son persistentes o recurrentes y pacientes con condiciones clínicas especiales que planteen la posibilidad de una evolución menos favorable, como inmunodeficiencias o fibrosis quística (9). La neumonía redonda constituye una condición en la que se acepta el control rutinario dado que plantea diagnóstico diferencial con patologías congénitas y adquiridas. La resolución de las imágenes de condensación en neumonías bacterianas es más rápida en el niño que en el adulto, habitualmente 7 a 10 días en cuadros no complicados (4) (Figura 2).
La sospecha de complicaciones es la causa más importante de estudios imaginológicos adicionales. La US permite una excelente valoración de los derrames pleurales y también puede aportar información del estado del parénquima pulmonar, de gran utilidad en casos de neumonías necrotizantes (4). La correcta interpretación de la Rx simple, sumada a la información que aporta la US, posibilita un adecuado manejo clínico de la mayoría de las pleuroneumonías (1).
Aun cuando la TC es una excelente herramienta en la evaluación del parénquima y permite demostrar las alteraciones pulmonares en prácticamente la totalidad de los pacientes con síntomas progresivos o persistentes, su uso es limitado por la dosis de radiación que involucra y la necesidad de administrar contraste endovenoso para el análisis del compromiso pleuropulmonar. La TC, incluso con contraste endoveno so, presenta rendimiento limitado en la caracterización del compromiso pleural, observándose que la US demuestra mejor loculaciones y tabiques en los casos de empiemas pleurales, hallazgos relevantes para decidir conductas terapéuticas agresivas (1).
Hallazgos radiológicosLa nomenclatura utilizada en los informes radiológicos para designar las alteraciones visibles es muy variada. Con fines prácticos y en un intento de estandarización de los informes, es posible reconocer patrones generales de compromiso pulmonar que permiten clasificar los hallazgos (4):
- a)
Compromiso predominantemente alveolar o del espacio aéreo.
- b)
Compromiso predominantemente intersticial.
- c)
Compromiso mixto alvéolo-intersticial.
En los niños este compromiso se observa predominantemente en infecciones bacterianas. Desde el punto de vista anátomo-patológico, la neumonía corresponde a un compromiso inflamatorio del parénquima pulmonar en el que los alvéolos, normalmente llenos de aire, se rellenan con detritus y secreciones lo que radiológicamente hace aumentar la densidad del parénquima comprometido; puede ser inicialmente disperso y con escasa tendencia a la focalización, determinando inicialmente opacidades tenues, únicas o múltiples. La consolidación neumónica puede requerir hasta 24 horas para tener una adecuada representación radiológica, por lo que exámenes muy precoces pueden originar falsos (-) en el diagnóstico (4). Cuando el compromiso progresa, se evidencian conglomerados densos que pueden constituir la clásica neumonía lobar o también áreas confluentes, parcheadas, focales uni o bilaterales, descripción que se ha utilizado como equivalente al concepto de bronconeumonía, término que actualmente se considera ambiguo por lo que se recomienda referirse a estas alteraciones como “compromiso alveolar multifocal” (4) (Figura 3).
La persistencia de aire en los bronquios adyacentes a las áreas condensadas produce el signo clásico de “broncograma aéreo” en el espesor del foco denso que aparece surcado por imágenes aéreas ramificadas, imagen que puede también observarse en atelectasias.
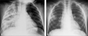
En el análisis de las Rx de tórax de los niños es importante observar cuidadosamente los hilios, el área retrocardíaca y las bases pulmonares (proyectadas retrodiafragmáticas en placas frontales), que corresponden a sitios en que se localizan las neumonías denominadas escondidas (Figura 4).
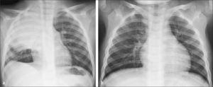
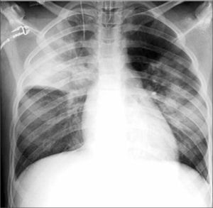
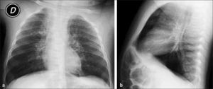
En niños, el compromiso alveolar en algunos casos puede adquirir una forma redondeada, densa, semejante a una masa, lo que se conoce como neumonía redonda, habitualmente de etiología neumocócica. Este tipo de patrón es frecuente en la edad pediátrica y representa una de las indicaciones de control radiológico después del tratamiento (Figura 5). Si bien la presencia de síntomas como tos, decaimiento y fiebre apoyan en forma obvia el diagnóstico de neumonía, frente al aspecto radiológico redondeado es necesario recordar que algunas malformaciones se diagnostican en relación a cuadros respiratorios, especialmente repetitivos. En el diagnóstico diferencial de estas lesiones debemos considerar además que si bien las neoplasias pulmonares son muy raras en la edad pediátrica, algunos tumores pueden presentarse como masas redondeadas y constituir diagnóstico diferencial de una neumonía redonda. La neumonía redonda puede ser también multifocal, lo que obliga a considerar el diagnóstico diferencial de nódulos pulmonares múltiples.
Durante la evolución de las neumonías, en niños es frecuente observar grados variables de disminución de volumen del parénquima afectado, que muchas veces se manifiesta por desplazamiento de las cisuras adyacentes. El derrame pleural es común en la neumonía alveolar; Deiros reporta una progresión estadísticamente significativa en la incidencia de derrame en niños hospitalizados por neumonía en un área de Madrid en los últimos años (10).
En posición de pies, el derrame se observa radiológicamente como ocupación de los recesos pleuro-diafragmáticos laterales y posteriores cuando es de escasa cuantía y como una opacidad homogénea, que vela el aspecto inferior del hemitórax, con un contorno que asciende lateralmente en proyección frontal dando la clásica incurvación con aspecto de menisco en relación al margen superior del derrame (Figura 6). Si este contenido líquido se encuentra libre en el espacio pleural, se movilizará con los cambios de posición y así por ejemplo, en decúbito se distribuirá homogéneamente en el aspecto posterior del espacio pleural observándose radiológicamente como un hemitórax más denso que el contralateral (4).
b)Neumonía intersticialEl patrón intersticial se observa con frecuencia en infecciones virales. Histológicamente, en el compromiso intersticial se evidencia inflamación del epitelio bronquial y edema del tejido intersticial, cambios que producen mayoritariamente los virus (1).
Este compromiso se observa en Rx simple como aparición de opacidades peribronquiales que adoptan un aspecto radiado desde el hilio pulmonar hacia la periferia; la medida que estos cambios progresan, el patrón se hace más confluente. La presencia de edema e infiltrados celulares en los espacios peribronquiales produce disminución de calibre y obstrucción de la vía aérea, lo que determina aparición de dos hallazgos importantes que habitualmente se asocian a la neumopatía intersticial: hiperinsuflación y atelectasias (1).
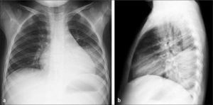
La hiperinsuflación es consecuencia del mecanismo de válvula que se produce en espiración en la vía aérea inflamada, hecho que se acentúa en la edad pediátrica por su escaso calibre, generando atrapamiento aéreo con aumento de la transparencia del parénquima pulmonar. La proyección lateral es de gran utilidad para valorar el aumento del diámetro antero-posterior, aplanamiento diafragmático y aumento de transparencia del espacio retroesternal, como signos de hiperinsuflación (Figura 7). En los niños es frecuente observar atelectasias, especialmente subsegmentarias, por el menor desarrollo de la ventilación colateral en el pulmón infantil (canales de Lambert y poros de Kohn). Estas atelectasias aparecen como bandas lineales, densas, pequeñas, de contornos bien definidos, visibles especialmente en las regiones medias inferiores de los pulmones. En niños mayores es posible observar también atelectasias segmentarias o lobares, con un patrón anatómico similar al que se observa en adultos (4).
La tomografía computarizada no tiene indicación en la evaluación de las neumopatías intersticiales agudas, porque habitualmente aporta escasa información adicional.
c)Neumonía mixtaCuando el cuadro clínico progresa, adicional al compromiso intersticial es posible que los espacios aéreos se rellenen con fibrina, detritus celulares o hemorragia, lo que radiológicamente se verá representado por imágenes reticulares o retículonodulares asociadas a opacidades parcheadas, confluentes, con aspecto de consolidación uni o bilateral.
Entre las causas que producen este patrón mixto podemos mencionar el Mycoplasma pneumoniae (Figura 8) y agentes virales (adenovirus, hantavirus) (4). De igual forma, es posible reconocer este patrón en sobreinfecciones bacterianas de neumonías primariamente virales.
ComplicacionesEn neumonías de curso prolongado, frente a una evolución tórpida o falta de respuesta a tratamiento, es necesario plantear la existencia de una complicación. Entre las más frecuentes se pueden considerar:
a)Atelectasia persistenteDurante la evolución habitual de las neumonías en el niño, es frecuente observar aparición de disminución de volumen del parénquima comprometido que se resuelve en concomitancia con la regresión de la neumonía. En algunos casos se constituyen atelectasias que deben ser tratadas dirigidamente hasta su resolución; si éstas persisten, habitualmente por más de 3 semanas, se indica broncoscopía.
b)Empiema pleuralEn algunos casos de neumonías con derrame se observa extensión de la infección al espacio pleural, con formación de fibrina y exudado purulento que determina la aparición de septos y lóculos en el espesor del líquido pleural.
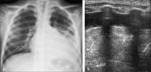
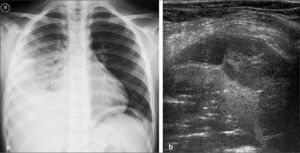
Puede sospecharse en Rx simple, cuando el compromiso pleural no pre senta el aspecto descrito previamente para el derrame libre, especialmente si se observa un aspecto convexo localizado que sugiere loculación. En estos casos el estudio puede complementarse con US efectuada con transductor de alta resolución. Ramnath (11) clasificó los derrames en “bajo grado” cuando están constituidos por líquido anecogénico (Figura 9), sin septos y “alto grado” cuando muestran imágenes de septos, lóculos o sedimento, signos altamente sugerentes de derrame pleural complicado (Figura 10).
El rendimiento de la TC en la caracterización del derrame es limitado debido a su dificultad para demostrar loculaciones y también en diferenciar exudado de transudado. Los signos que se han descrito en adultos para la evaluación del empiema en TC (realce y engrosamiento mayor a 2 mm de la pleura parietal, aumento de la densidad, engrosamiento de la grasa extrapleural y edema de la pared torácica) tienen menor utilidad en niños debido a que el espacio pleural es habitualmente pequeño y contiene escaso tejido graso (1).
c)Necrosis y excavacionesLas lesiones excavadas se originan en la destrucción y necrosis del parénquima pulmonar, que determina pérdida de su arquitectura y posterior aparición aire en el interior de las lesiones, que evidencia comunicación a la vía aérea.
La TC con contraste endovenoso puede identificar precozmente la presencia de áreas heterogéneas hipodensas en el parénquima, que corresponden a zonas de hipoperfusión que más tarde constituirán zonas de necrosis y cavidades en el parénquima. La US puede tener un rol importante en la valoración de esta complicación, con mayor sensibilidad cuando se trata de lesiones periféricas al alcance del transductor; permite identificar zonas de menor ecogenicidad en el espesor del pulmón condensado, que muestran ausencia o disminución de vascularización al ser estudiadas con Doppler color. La Rx simple es más tardía, demostrando las áreas de condensación con zonas de menor densidad en su interior, que corresponden a excavación con aire originado en la comunicación con la vía aérea.
Tradicionalmente, esta complicación se describió para el Staphylococcus aureus, sin embargo, en la actualidad es el neumococo el agente más frecuente (1).
A diferencia de lo que ocurre en adultos, habitualmente el parénquima pulmonar repara íntegramente en un plazo variable, que incluye varias semanas o incluso meses dependiendo de la extensión del compromiso pleuropulmonar (Figura 11).
d)Absceso pulmonarCorresponde a una complicación muy infrecuente en pacientes inmunocompetentes y consiste en la formación de una colección líquida o hidroaérea en el parénquima pulmonar, de bordes bien delimitados que se realzan con el uso de contraste en la TC, en cuyo interior se observa habitualmente líquido de alta densidad (Figura 12) (1). La presencia de un absceso pulmonar verdadero requiere con frecuencia de drenaje. La US puede ser útil en abscesos que se encuentran en la vecindad de la pared torácica y sirve de guía para el tratamiento percutáneo, que se puede indicar en pacientes con lesiones de más de 5 cm de diámetro, en contacto con la pared (4).
SíntesisComo resumen final es necesario destacar que la Rx de tórax debe ser el examen de imagen inicial ante la sospecha clínica de neumonía. La detección de complicaciones puede hacerse en la gran mayoría de los casos con el cuadro clínico y la información que aporta la Rx. La US es de utilidad en el diagnóstico y manejo de las pleuroneumonías. El uso de TC es excepcional.
La autora declara no tener conflictos de interés, con relación a este artículo.













