Los niños son únicos en anatomía, fisiología y respuesta a las diferentes enfermedades. Las patologías tienen diferentes presentaciones de acuerdo con la edad del paciente. Los avances tecnológicos han sido un gran aporte en el diagnóstico y especialmente en la planificación de tratamientos. Esto es particularmente importante en el ámbito de la reconstrucción maxilofacial pediátrica post resección de patología tumoral. La reconstrucción de un defecto en el territorio maxilofacial, ya sea este maxilar o mandibular, debe tener como objetivo devolver anatomía (devolviendo la simetría), función y estética al paciente. La incorporación de tecnología mediante planificación virtual permite mejorar la predictibilidad en relación con la oclusión dentaria, la reconstrucción de la simetría y mantener el contorno facial, los cuales son los objetivos de la reconstrucción. Como ejemplo del uso de tecnologías se presenta un caso de patología maxilofacial en una paciente adolescente, donde se realizó una reconstrucción con colgajo microvascular de fíbula.
Children are unique in anatomy, physiology, and response to different diseases. The pathologies have different presentations according to the age of the patient. Technological advances have been a great contribution in diagnosis and especially in treatment planning. This is particularly important in the field of post-resection pediatric maxillofacial reconstruction of tumor pathology. The reconstruction of a defect in the maxillofacial territory, be it maxilla or mandibular, should aim to restore anatomy (returning symmetry), function and aesthetics to the patient. The incorporation of technology through virtual planning allows to improve the predictability in relation to dental occlusion, the reconstruction of symmetry and maintaining facial contour, which are the objectives of reconstruction. As an example of the use of this technology, a case of maxillofacial pathology in an adolescent patient is presented, where a reconstruction was performed with a fibula microvascular flap.
Los niños son únicos en anatomía, fisiología y respuesta a las diferentes enfermedades. Las patologías tienen diferentes presentaciones de acuerdo con la edad del paciente, siendo muy diferente tratar a un lactante o a un niño en edad preescolar. Por esta razón, debe tenerse en cuenta el crecimiento y desarrollo, ya que influyen en los planes de tratamiento1.
Los espectros de enfermedades en los niños son diversos y han presentado variaciones, por ejemplo, se ha visto mayor incidencia de trauma entre los jóvenes, patrones evolutivos en infecciones y cambios en la presentación de ciertas entidades patológicas. Esta es la razón fundamental por la que se requieren especialistas que estén al día en el diagnóstico y tratamiento de las diferentes patologías que afecten a la población pediátrica de manera específica y que tengan acabada comprensión de las presentaciones comunes de las enfermedades y el trauma2–4.
Los avances tecnológicos han sido un gran aporte en el diagnóstico y especialmente en la planificación de tratamientos. Esto es especialmente importante en el ámbito de la reconstrucción maxilofacial pediátrica post resección de patología tumoral debido a que permite realizar tratamientos resectivos y reconstructivos que pueden devolver la calidad de vida al paciente de manera íntegra5–7.
La reconstrucción de un defecto en el territorio maxilofacial, ya sea este maxilar o mandibular, debe tener como objetivo devolver anatomía (devolviendo la simetría), función y estética a los pacientes8–11.
En los casos de defectos mandibulares de gran tamaño, el gold standard actualmente es la reconstrucción mediante colgajos libres microvasculares (CLM)12. Aunque existen muchos protocolos de reconstrucciones microquirúrgicas en el territorio maxilofacial en adultos, su aplicación en pacientes pediátricos ha sido menos publicado2. Las indicaciones de reconstrucción con CLM son similares en adultos y niños; grandes defectos que no pueden ser reconstruidos con injertos locales o injertos no vascularizados, reconstrucción posterior a radioterapia, grandes resecciones esqueletales mayores a 6cm, pérdida de injerto no vascularizado utilizado previamente y reconstrucción de malformaciones mandibulares congénitas13.
La planificación de las cirugías de reconstrucción mandibular con colgajo libre microvascular de fíbula se realiza actualmente mediante simulación virtual asistida por computador5–7. Para esto se requiere una tomografía computarizada maxilofacial y de la fíbula de la cual se obtendrá el injerto14. Mediante el uso de un software de planificación, se programa la resección ósea mandibular y de acuerdo con el defecto, se define el tamaño del colgajo de fíbula que se utilizará. Con otro software de diseño, se realizan las guías de corte para la resección del tumor (definiendo los márgenes) y para la obtención del segmento óseo de fíbula. La impresión en 3D del modelo mandibular operado (esterolitografía) previo a la cirugía, permite adaptar la placa de osteosíntesis que se utilizará para fijar el colgajo de fíbula a la mandíbula (Figuras 1–7.).
Reconstrucción tridimensional.
A: Reconstrucción tridimensional de tomografía que muestra la lesión osteolítica del cuerpo mandibular izquierdo. B: vista axial de la TAC que muestra una planificación virtual de la resección. C y D planificación virtual de la reconstrucción mandibular mediante colgajo libre de fíbula izquierdo.
El uso de esta tecnología acorta los tiempos quirúrgicos y ofrece mayor precisión en la ejecución de la cirugía, lo que se traduce en mejores resultados, especialmente en relación con la simetría facial y en la posibilidad de rehabilitación dentaria mediante implantes oseointegrados posteriormente.
Caso clínicoPaciente 12 años, género femenino, con diagnóstico de sarcoma miofibroblástico mandibular izquierdo. Se realiza resección de tumor con reconstrucción inmediata con colgajo microvascular de fíbula, utilizando la tecnología de planificación virtual.
El protocolo utilizado para la planificación virtual en nuestro hospital, consiste en la obtención de una tomografía maxilofacial y angiotac de extremidad inferior. Los archivos en formato Digital Imaging and Communications in Medicine (DICOM) se trabajan en un software de planificación (Mimics®) y otro de diseño (3-matic®), para generar guías de corte para la fíbula y guías de corte para resección del tumor mandibular. Con los archivos en formato DICOM de la tomografía maxilofacial se genera además un biomodelo (3D), sobre el cual se contornea la placa de reconstrucción que fija el injerto microvascular a la mandíbula.
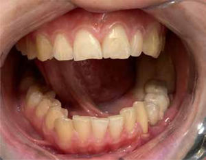
A los 4 años post reconstrucción, a la paciente se le instalaron los implantes oseointegrados, que permitieron posteriormente realizar la rehabilitación dentaria. Actualmente la paciente está libre de patología, rehabilitada desde el punto de vista funcional y estético y con una oclusión dentaria estable.
DiscusiónLa cirugía maxilofacial pediátrica, no es formalmente una subespecialidad reconocida por iniciativas de formación en educación de postgrado en Chile, pero es un área de trabajo y desarrollo de cirujanos maxilofaciales que trabajan en hospitales pediátricos dentro del país15,16.
En el manejo de un paciente pediátrico con patología tumoral, se deben considerar diversos factores en relación con el diagnóstico, plan de tratamiento y manejo post operatorio que van a determinar el éxito y resultado final. Se requiere de equipos entrenados no solo en el manejo quirúrgico sino en diagnóstico histopatológico, manejo anestésico, de cuidados intensivos y para su rehabilitación posterior.
Con relación a la resección, lo principal es determinar si se trata de una patología de origen benigno o maligno, a fin de determinar los márgenes quirúrgicos. El estudio histopatológico definirá el diagnóstico definitivo y por lo tanto el tratamiento. En los casos de patología benigna, el tratamiento será exclusivamente quirúrgico. Los tumores malignos, sin embargo, requerirán, de acuerdo con el tipo de tumor, quimioterapia pre y/o postquirúrgica y en algunos casos incluso radioterapia.
Con respecto a la reconstrucción, lo primero que se debe definir es si esta será inmediata o diferida, teniendo ambas opciones sus ventajas y desventajas e indicaciones precisas.
La reconstrucción con colgajo libre microvascular en el territorio maxilofacial tiene por objetivo reconstruir la función, manteniendo la simetría y armonía facial previa a la resección y además, posibilitando reconstruir la oclusión dentaria.
Los procedimientos en niños son diferentes en muchos factores a los adultos y deben ser estudiados por separado. El crecimiento y desarrollo del macizo facial y las demás estructuras adyacentes, además de la respuesta del injerto a la función, puede generar resultados funcionales y estéticos poco predecibles en algunos casos.
El crecimiento del colgajo una vez transferido es tema de controversia. Existen estudios experimentales que demuestran que, aunque no se transfieran las epífisis óseas, la fíbula puede continuar creciendo y esto es fundamentalmente debido al estrés mecánico17. Temiz et al.18, realizaron un análisis retrospectivo de 10 pacientes sometidos a reconstrucción mandibular con injertos de fíbula mediante comparación de medidas utilizadas en fotografías y radiografías, y fueron capaces de demostrar que la fíbula continúa creciendo en conjunto con las demás estructuras del macizo facial. A pesar de que la mandíbula y la fíbula son huesos diferentes, la respuesta al estrés mecánico que sufren es la misma. La adhesión de las inserciones musculares al colgajo, sumadas a las fuerzas de tensión generada por la mandíbula remanente, serían estimuladores de crecimiento del injerto transferido12. En relación con eso, la rehabilitación de la oclusión juega un rol fundamental en las fuerzas transferidas al colgajo12,17,19. Este conjunto de fuerzas y los tejidos adyacentes serían responsables de inducir crecimiento en el injerto transferido12,17. Por lo tanto, la utilización y rehabilitación de implantes oseointegrados (IOI) es fundamental para el desarrollo facial20. Es importante considerar en niños que la rehabilitación dentaria final debe ser realizada con dentición permanente y para evitar alteraciones de posición dentaria mientras el paciente termina su crecimiento se debe utilizar aparatos de ortodoncia o placas de altura.
La planificación de la reconstrucción es esencial en este tipo de pacientes. La tecnología ha permitido en la última década realizar este tipo de planificación y guías en el computador de una forma fácil y segura18,21–23. Estudios demuestran que a pesar de que los costos del software y de la confección de guías son elevados, mediante este tipo de planificación se ahorra entre 1 hora y 1 hora y media de cirugía7, reduciendo los tiempos de isquemia y permitiendo reconstrucciones más precisas5,24.
ConclusionesLa utilización de colgajos microvasculares para la reconstrucción de defectos o malformaciones del territorio maxilofacial en pediatría se considera seguro y presenta tasas de éxito comparables con los adultos. Los niños presentan características especiales que deben ser conocidas por el equipo tratante.
El tratamiento en equipo multidisciplinario conformado por cirujanos de cabeza y cuello, cirujanos maxilofaciales y rehabilitadores es fundamental para el resultado a largo plazo, por el crecimiento y desarrollo del macizo facial y por la importancia de la reconstrucción dentaria para el adecuado desarrollo facial. Es muy importante considerar que estas cirugías requieren un gran equipo hospitalario entrenado en el manejo complejo de estos pacientes; como una unidad de anatomía patológica, unidades de paciente crítico, anestesistas, enfermeras, kinesiólogos, fonoaudiólogos y psicólogos.
Una planificación correcta con la incorporación de tecnología mediante planificación virtual permite mejorar la predictibilidad en relación con la oclusión dentaria, la reconstrucción de la simetría y mantención del contorno facial; todos objetivos de la reconstrucción.
Independiente del tipo de patología, a los pacientes se les debe hacer seguimiento a largo plazo, idealmente hasta el término de crecimiento.
Declaración de conflictos de interésLos autores declaran no tener conflictos de intereses.
Consideraciones éticasLa paciente ha dado su consentimiento informado para la publicación de sus imágenes.








