Los tumores compuestos primarios del tracto intestinal son infrecuentes y representan entre 2,5–20% de estas neoplasias. Se caracterizan por la presencia de un componente glandular y otro neuroendocrino, entremezclados en proporción similar. La mayoría de los casos descritos incluyen un componente de estirpe glandular de adenoma o adenocarcinoma convencional y un componente de carcinoide o carcinoma neuroendocrino de célula pequeña.
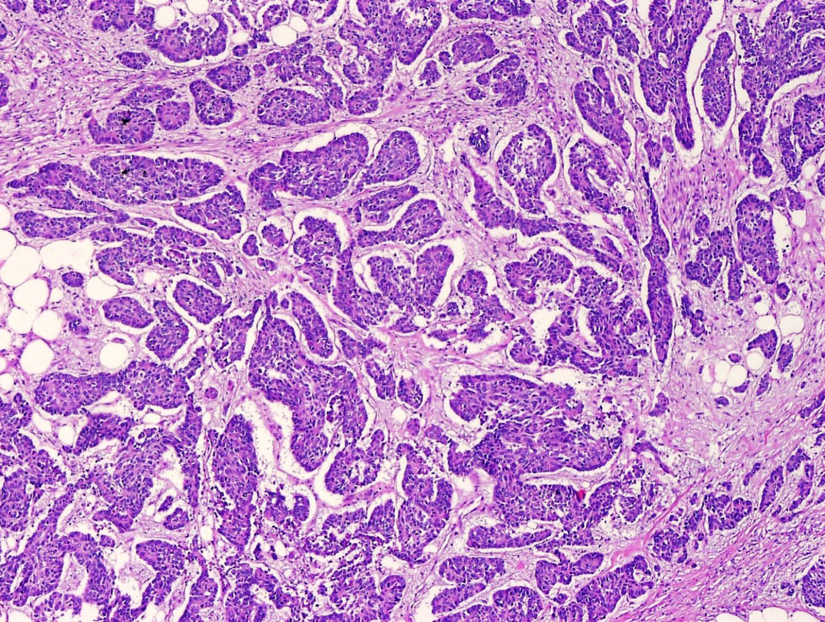
Caso clínicoPresentamos un tumor compuesto de intestino grueso con componentes que no han sido descritos hasta ahora: un adenocarcinoma mucinoso con presencia de células en anillo de sello y un carcinoma neuroendocrino de célula grande.
ConclusiónEl tratamiento de este tipo de tumores es el mismo que el que se emplea para los adenocarcinomas convencionales pero el componente endocrino les confiere un peor pronóstico.
Primary composite tumours of the intestine are rare and are characterised by the presence of glandular and neuroendocrine components occurring in almost equal proportions. The majority of reported cases include conventional type adenoma or adenocarcinoma and carcinoid or small cell neuroendocrine carcinoma.
Case reportA composite tumour of the large intestine with as yet unreported components is described. Mucinous adenocarcinoma with signet-ring cells and large cell neuroendocrine carcinoma were found.
ConclusionsAlthough the treatment of these tumours is similar to that of conventional adenocarcinomas, the presence of a neuroendocrine component worsens the prognosis.
















