Los tumores de células de la granulosa, en algunas ocasiones se pueden situar en lugares aberrantes extra gonadales. Estas formas ectópicas son extremadamente infrecuentes. Sin embargo, existe un gran debate sobre el origen de estas neoplasias.
ObjetivoDescribir un caso de tumor de células de la granulosa extraovárico identificado en una paciente del Hospital Universitario de Santander y realizar una discusión sobre su génesis, clínica e histopatología.
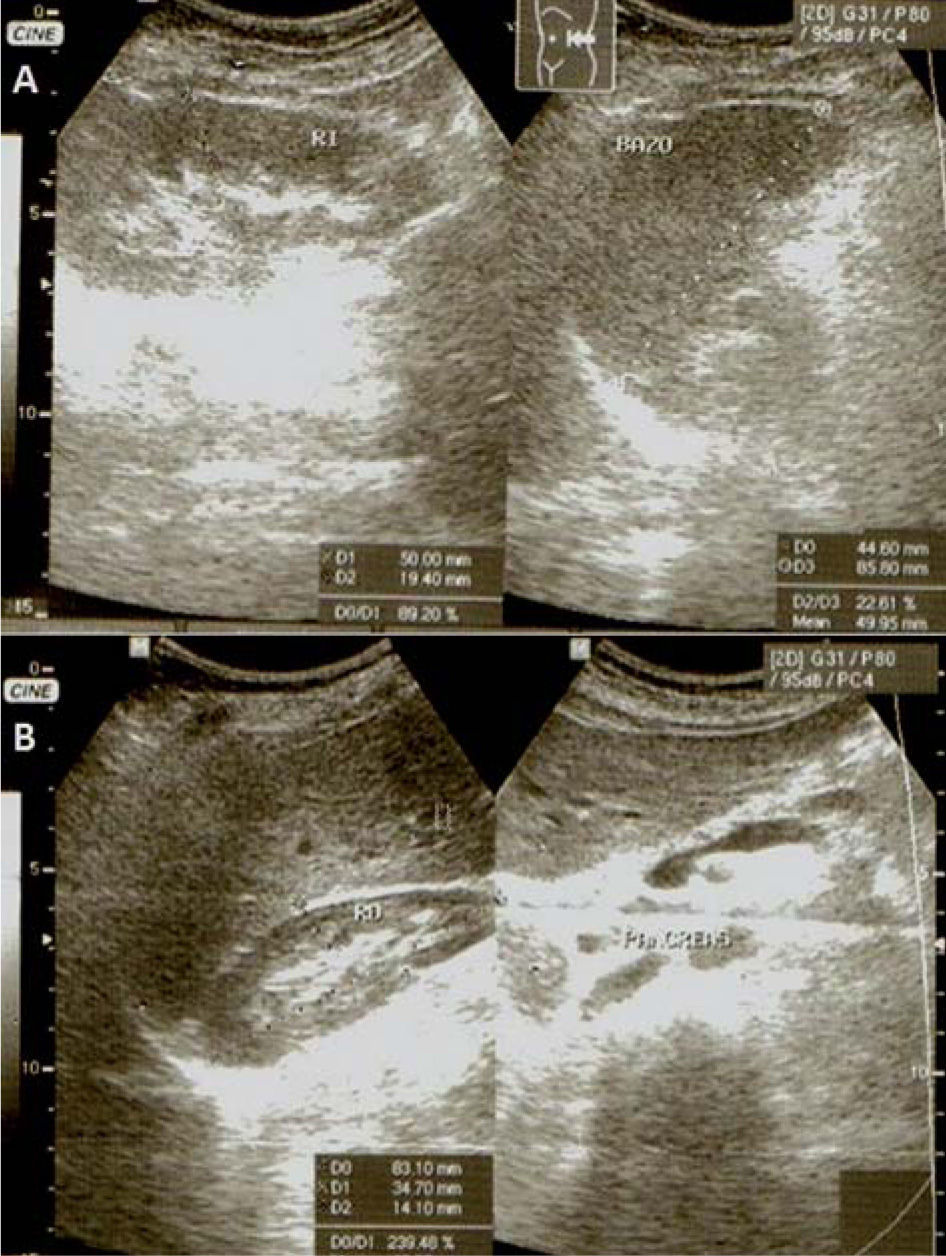
Caso ClínicoMujer de 69 años de edad, que consultó por masa abdominal, con historia de histerectomía con salpingo ooferectomia bilateral, 14 años antes, por múltiples leiomiomas uterinos, a quien se le encontró una gran masa, dolorosa a la palpación, a nivel de hipocondrio y flanco izquierdo, la cual fue documentada por ecografía abdominal y Tomografía Axial Computarizada (TAC), en retroperitoneo a la altura de la cola pancreática. La masa fue resecada, encontrándose numerosas adherencias que comprometían el riñón izquierdo y el colon.
Estudio Anatomo-PatológicoLa masa era sólido quística, de 950g y de 12×11,5×10 centímetros de diámetros mayores cruzados. En el estudio histopatológico e inmunofenotípico se confirmó el diagnóstico de tumor de células de la granulosa extra ovárico.
Estrategia de búsqueda de la literaturaSe realizó una búsqueda estructurada de la literatura, con base en la metodología Cochrane, en las bases de datos Medline, Imbiomed y Scielo.
ConclusiónLos tumores de células de la granulosa extra ováricos son neoplasias extremadamente infrecuentes, con el presente solo existen 11 casos reportados, los cuales parecen ser derivados de tejidos gonadales ectópicos, o de la diferenciación a estos, por parte de células mesenquimales primitivas. Su adecuado estudio por medio de una correcta correlación clínica, morfológica e inmunofenotipica, permite su reconocimiento entre un amplio número de diagnósticos diferenciales.
Occasionally, granulosa cell tumours are found in unusual, extragonadal locations, although such ectopic forms are extremely rare and the origin of these neoplasms is controversial.
ObjectiveA case of extraovarian granulosa cell tumour is described and its origin, clinical features and histopathology are discussed.
Case historyA 69 year old woman presented with an abdominal mass. She had undergone hysterectomy and bilateral salpingooophorectomy for uterine leiomyomas 14 years previously. A large, tender mass was present in the left hypochondrium and left lumbar region, which was seen on abdominal ultrasonography and CT scan to be situated in the retroperitoneum near the tail of the pancreas. Surgery revealed that the left kidney and colon were involved. Pathology: The 950g, 12×11.5×10cm mass was composed of both solid and cystic areas. Histological and immunophenotypical findings indicated a diagnosis of extraovarian granulosa cell tumour.
Review of the literatureA review of the literature was made from Medline, Imbiomed and Scielo databases, using the Cochrane methodology.
ConclusionExtraovarian granulosa cell tumours are extremely infrequent neoplasms, with only 10 cases reported to date. They would appear to arise from ectopic gonadal tissue or from the differentiation of primitive mesenchymal cells. Clinical, morphological and immunophenotypical features should all be considered in order to reach a correct differential diagnosis from a wide range of entities













