Las gestaciones gemelares de mola hidatiforme completa con feto normal son muy infrecuentes, con unos 300 casos reportados en la literatura. Este tipo de embarazos se consideran de alto riesgo obstétrico debido a las graves complicaciones maternofetales.
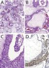
Los hallazgos clínicos y ecográficos pueden ser altamente indicativos de este tipo de gestaciones, pero el diagnóstico de certeza será habitualmente anatomopatológico. El diagnóstico diferencial de esta entidad suele incluir la mola parcial y los embarazos hidrópicos, que pueden presentar hallazgos similares, por lo que es importante tener claras las características morfológicas que nos pueden permitir diferenciarlas. Para esta tarea es muy útil el uso de la inmunohistoquímica para p57, aunque debemos tener en cuenta los casos con expresión aberrante de esta proteína.
Presentamos un caso de gestación gemelar de mola hidatiforme completa con feto vivo, con correlación radiopatológica, haciendo hincapié en el diagnóstico diferencial y la utilidad de la inmunohistoquímica para p57.
Twin pregnancies with complete hydatidiform mole and coexisting live fetus are very rare, with only about 300 reported cases. This type of pregnancy is considered a high obstetric risk due to the possibility of severe maternal-fetal complications.
Although the clinical and ultrasound findings can be highly suggestive of this type of pregnancy, the definitive diagnosis is usually reached by histopathological examination. The differential diagnosis usually includes partial hydatidiform mole and hydropic pregnancies, which can present similar findings in specimens from the first trimester of pregnancy and thus it is important to interpret correctly the differentiating features. The use of immunohistochemistry for p57 can prove very useful, although some cases show an aberrant expression.
We present a case of a twin pregnancy with complete hydatidiform mole associated with a live fetus, with magnetic resonance imaging and ultrasound for radiopathological correlation. We discuss the differential diagnosis and the utility of p57 immunohistochemistry.







