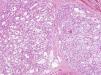
El objetivo de este artículo es presentar un caso infrecuente de adenoma folicular de tiroides productor de mucina. Es un tumor benigno tiroideo encapsulado que afecta en su mayor parte a mujeres de edad media. Suele presentarse como un nódulo solitario con un tamaño medio entre 1-3cm. En el patrón histológico muestra una arquitectura macro-microfolicular con presencia de mucina intersticial y en estructuras lacunares. Puede tener cambios a células en anillo de sello o a células claras. Con hematoxilina-eosina, la mucina es basófila, es roja con tinción de mucicarmin y azul con alcian blue, siendo de positividad variable para la tinción con PAS y PAS-diastasa. De igual modo muestra positividad para la mucina tipo MUC1. Las células epiteliales muestran positividad para tiroglobulina, importante en el diagnóstico diferencial, siendo el material mucoide negativo para este marcador.
En la revisión de la literatura encontramos 13 casos con mucina en adenomas foliculares y 29 casos en carcinomas primarios tiroideos de distinta índole. Haciendo un recuento anual en nuestros casos con presencia de mucina ocasional, sean adenomas o carcinomas primarios tiroideos, el hallazgo de estos cambios mucinosos focales supone una frecuencia entre 0,25-0,8%, aproximadamente un caso o menos de cada 150 de estas neoplasias. En conclusión, la producción de mucina es un hallazgo no habitual en los adenomas tiroideos. En el diagnóstico diferencial debe considerarse la posibilidad de metástasis u otros tumores tiroideos no derivados del epitelio folicular.
Mucin producing thyroid adenoma is a rare entity affecting mainly middle-aged women. It is a benign, encapsulated tumour presenting as a solitary nodule 1 to 3cm in size with a macro-microfollicular architecture with areas of interstitial mucin. Occasionally, signet-ring or clear cells are present. The mucin is seen to be basophilic with H&E, stains red with mucicarmin and blue with alcian blue. It is variable for PAS and PAS-Diastase, but shows positivity for MUC1. The epithelial cells stain positive for thyroglobuline, but the mucin is negative. We have found 13 cases of follicular adenomas and 29 cases of thyroid carcinomas with mucinous production in the literature. In our experience, this feature is found in 0.25% to 0.8% of thyroid neoplasms or 1 in 150 annually. In conclusion, mucin production is rare in thyroid adenomas and metastases or other thyroid tumours, including those not derived from the follicular epithelium, in the differential diagnosis.
ArtÃculo
Comprando el artÃculo el PDF del mismo podrá ser descargado
Comprar ahora







