metricas
covid
Revista Española de Anestesiología y Reanimación Paraganglioma pancreático incidental
Información de la revista
Vol. 61. Núm. 5.
Páginas 292-293 (Mayo 2014)
Compartir
Descargar PDF
Más opciones de artículo
Vol. 61. Núm. 5.
Páginas 292-293 (Mayo 2014)
Carta al director
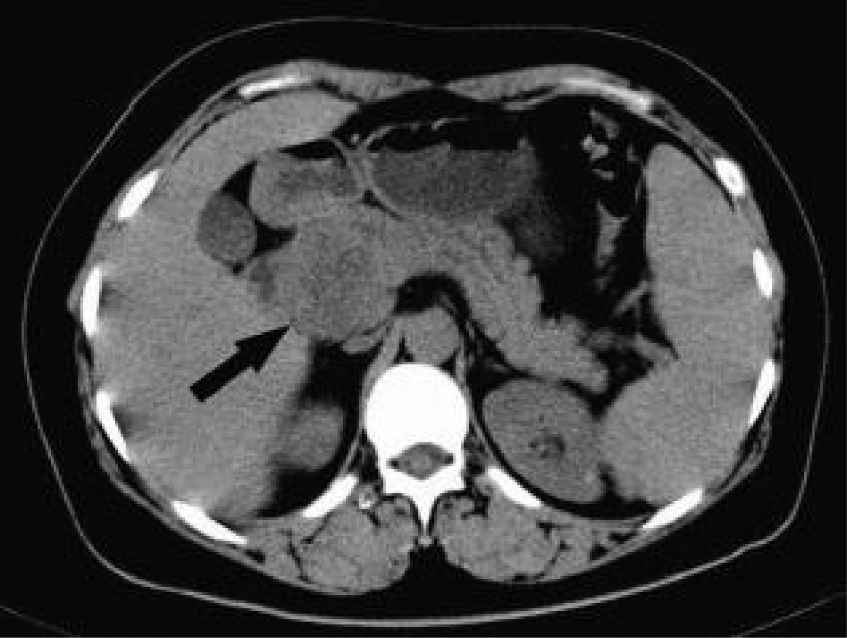
Paraganglioma pancreático incidental
Incidental pancreatic paraganglioma
Visitas
754
O. Figueiredo González
Autor para correspondencia
olalla.figueiredo.gonzalez@sergas.es

Autor para correspondencia.
, G.L. Rosero Ruiz, A.I. Gómez Pombo
Servicio de Anestesiología y Reanimación, Complexo Hospitalario Universitario de Ourense, Ourense, España
Este artículo ha recibido
Información del artículo
Texto completo
Bibliografía
Descargar PDF
Estadísticas
Figuras (1)

Artículo

Opciones para acceder a los textos completos de la publicación Revista Española de Anestesiología y Reanimación
Suscriptor
Suscriptor de la revista

Si ya tiene sus datos de acceso, clique aquí.

Si olvidó su clave de acceso puede recuperarla clicando aquí y seleccionando la opción "He olvidado mi contraseña".
Suscribirse
Suscribirse a:

Revista Española de Anestesiología y Reanimación

Comprar
Comprar acceso al artículo

Comprando el artículo el PDF del mismo podrá ser descargado

Comprar ahora
Contactar
Teléfono para suscripciones e incidencias
De lunes a viernes de 9h a 18h (GMT+1) excepto los meses de julio y agosto que será de 9 a 15h
Llamadas desde España
932 415 960
Llamadas desde fuera de España
+34 932 415 960
E-mail
Opciones de artículo
Herramientas