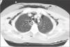
Los traumatismos torácicos son la causa más frecuente de las lesiones traqueobronquiales. Sin embargo, las debidas a maniobras de intubación son menos frecuentes pero potencialmente graves. Estas lesiones pueden producirse durante las maniobras de una intubación difícil, intentos repetidos y con el uso de estiletes o guías de intubación. La lesión de la vía aérea es una complicación rara tras la intubación traqueal, pero puede ser letal. Se presenta el caso de una paciente de 46 años intervenida de una colecistectomía laparoscópica que padeció una laceración traqueal después de una intubación traqueal con una guía Frova. La lesión se manifestó por hemoptisis, enfisema subcutáneo y mediastínico en el postoperatorio inmediato. El tratamiento fue conservador gracias a una evolución favorable de los síntomas y sin secuelas posteriores.
Chest trauma is the most frequent cause of tracheobronchial injury. Less common but potentially serious are lesions caused during intubation maneuvers in a difficult airway, during repeated attempts, or with stylets or other introducers. Though rare, airway lesions are life-threatening complications. We describe the case of a 46-year-old woman undergoing laparoscopic cholecystectomy whose trachea was injured during intubation with a Frova introducer. The lesion manifested with hemoptysis and subcutaneous and mediastinal emphysema early during recovery. The lesion resolved with conservative treatment and there were no sequelae.







