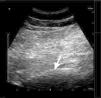
El síndrome piriforme es una causa poco frecuente de dolor de espalda y miembros inferiores. Algunas de las opciones de tratamiento incluyen la inyección del músculo piriforme con anestésicos locales y corticoides. Se han descrito varias técnicas de inyección. Las técnicas ecoguiadas permiten la visualización directa del músculo y la inyección en tiempo real. Se presenta una serie de 5 pacientes cuya clínica es compatible con síndrome piriforme, que no han mejorado tras tratamiento farmacológico. Se optó por la inyección del músculo piriforme con anestésicos locales y corticoides mediante un nuevo abordaje ecoguiado más sencillo técnicamente, basado en la técnica estándar. En los 5 pacientes se apreció una mejoría del dolor medido por la escala verbal numérica tras la inyección. Solo en un caso se presentó como complicación una ciatalgia que mejoró espontáneamente en 10 días. En los demás pacientes no se observaron complicaciones tras la inyección. Se describe una variante de la técnica ecoguiada recomendada en la inyección del músculo piriforme, más sencilla de realizar, con un buen perfil de seguridad y con buenos resultados clínicos.
Piriformis syndrome is an uncommon cause of buttock and leg pain. Some treatment options include the injection of piriformis muscle with local anesthetic and steroids. Various techniques for piriformis muscle injection have been described. Ultrasound allows direct visualization and real time injection of the piriformis muscle. We describe 5 consecutive patients, diagnosed of piriformis syndrome with no improvement after pharmacological treatment. Piriformis muscle injection with local anesthetics and steroids was performed using an ultrasound technique based on a standard technique. All 5 patients have improved their pain measured by numeric verbal scale. One patient had a sciatic after injection that improved in 10 days spontaneously. We describe an ultrasound-guided piriformis muscle injection that has the advantages of being effective, simple, and safe.








