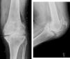
Es objeto de debate el uso de la artroplastia total de rodilla como tratamiento agudo de las fracturas del fémur distal o de la tibia proximal. Sin embargo, en la población de edad avanzada, las comorbilidades asociadas representan un reto en el tratamiento de estos pacientes que va a favor del tratamiento combinado en un solo tiempo. Presentamos el caso clínico de una paciente de 79 años que sufrió una fractura de la rótula en una rodilla con artrosis sintomática severa. La paciente fue sometida a una artroplastia total de la rodilla y a la síntesis de la fractura de rótula en un solo tiempo quirúrgico. Este hecho nos permite realizar un único proceso de rehabilitación para las 2 enfermedades, consiguiendo una recuperación funcional más temprana que si se hubiera intervenido en 2 tiempos.
The use of total knee arthroplasty for the acute treatment of fractures of the distal femur or proximal tibia is debated. However, in the elderly population, associated comorbidities represent a challenge to their treatment, supporting the use of combination therapy in a single intervention. We report the case of a 79-year- old woman with a patella fracture in a knee with severe symptomatic osteoarthritis. The patient underwent total knee arthroplasty and synthesis of the patellar fracture in one surgery. This allowed to carry out a single rehabilitation process for both conditions, which allowed to achieve an earlier functional recovery compared to the one following a two surgical stages approach.





