metricas
covid
Radiología Teratoma quístico de ovario con bolas grasas intraquísticas. A propósito de u...
Información de la revista
Vol. 40. Núm. 9.
Páginas 637-639 (Noviembre 1998)
Compartir
Más opciones de artículo
Vol. 40. Núm. 9.
Páginas 637-639 (Noviembre 1998)
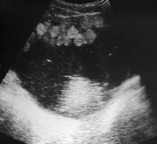
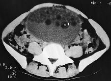
Teratoma quístico de ovario con bolas grasas intraquísticas. A propósito de un caso,
Ovarian cystic teratoma containing balls of fat. A case report,
Visitas
6290
Aurora Salinas, Manuela Rebolledo, Manuel Escribano, Juan P Alejo, José Moreno
Este artículo ha recibido
Información del artículo
Texto completo
Estadísticas
Figuras (6)
Mostrar másMostrar menos

Artículo

Opciones para acceder a los textos completos de la publicación Radiología
Suscriptor
Suscriptor de la revista

Si ya tiene sus datos de acceso, clique aquí.

Si olvidó su clave de acceso puede recuperarla clicando aquí y seleccionando la opción "He olvidado mi contraseña".
Suscribirse
Suscribirse a:

Radiología

Contactar
Teléfono para suscripciones e incidencias
De lunes a viernes de 9h a 18h (GMT+1) excepto los meses de julio y agosto que será de 9 a 15h
Llamadas desde España
932 415 960
Llamadas desde fuera de España
+34 932 415 960
E-mail
Opciones de artículo
Herramientas