metricas
covid
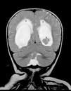
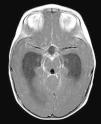
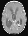
Radiología Solución del caso 30. Papiloma de los plexos coroideos con realce meníngeo
Información de la revista
Vol. 53. Núm. 3.
Páginas 278-280 (Mayo - Junio 2011)
Compartir
Descargar PDF
Más opciones de artículo
Vol. 53. Núm. 3.
Páginas 278-280 (Mayo - Junio 2011)
Casos para el diagnóstico
Solución del caso 30. Papiloma de los plexos coroideos con realce meníngeo
Solution to case 30. Choroid plexus papilloma with meningeal enhancement
Visitas
10052
I. Solís Muñiza,
Autor para correspondencia
solis.muniz@gmail.com

Autor para correspondencia.
, M.A. López Pinoa, M. Tello Morenob, S.I. Sirvent Cerdáa
a Servicio de Radiodiagnóstico, Hospital Infantil Universitario Niño Jesús, Madrid, España
b Servicio de Radiodiagnóstico, Hospital Universitario Virgen de las Nieves, Granada, España
Este artículo ha recibido
Información del artículo
Texto completo
Bibliografía
Descargar PDF
Estadísticas
Figuras (4)
Mostrar másMostrar menos

Artículo

Opciones para acceder a los textos completos de la publicación Radiología
Suscriptor
Suscriptor de la revista

Si ya tiene sus datos de acceso, clique aquí.

Si olvidó su clave de acceso puede recuperarla clicando aquí y seleccionando la opción "He olvidado mi contraseña".
Suscribirse
Suscribirse a:

Radiología

Comprar
Comprar acceso al artículo

Comprando el artículo el PDF del mismo podrá ser descargado

Comprar ahora
Contactar
Teléfono para suscripciones e incidencias
De lunes a viernes de 9h a 18h (GMT+1) excepto los meses de julio y agosto que será de 9 a 15h
Llamadas desde España
932 415 960
Llamadas desde fuera de España
+34 932 415 960
E-mail
Opciones de artículo
Herramientas