metricas
covid
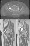
Radiología Quiste del labrum acetabular con extensión en la cavidad pélvica
Información de la revista
Vol. 53. Núm. 3.
Páginas 281-282 (Mayo - Junio 2011)
Compartir
Descargar PDF
Más opciones de artículo
Vol. 53. Núm. 3.
Páginas 281-282 (Mayo - Junio 2011)
Carta científica
Quiste del labrum acetabular con extensión en la cavidad pélvica
Acetabular labral cyst extending into the pelvic cavity
Visitas
27495
J.F. Molina Granadosa,
Autor para correspondencia
juanfelix.molina@salud.madrid.org

Autor para correspondencia.
, A. Alegre Castellanosb
a Unidad Central de Radiodiagnóstico de la Comunidad de Madrid, Hospital del Sureste, Arganda del Rey, Madrid, España
b Servicio de Radiología, Hospital Universitario Reina Sofía, Córdoba, España
Este artículo ha recibido
Información del artículo
Texto completo
Bibliografía
Descargar PDF
Estadísticas
Figuras (2)

Artículo

Opciones para acceder a los textos completos de la publicación Radiología
Suscriptor
Suscriptor de la revista

Si ya tiene sus datos de acceso, clique aquí.

Si olvidó su clave de acceso puede recuperarla clicando aquí y seleccionando la opción "He olvidado mi contraseña".
Suscribirse
Suscribirse a:

Radiología

Comprar
Comprar acceso al artículo

Comprando el artículo el PDF del mismo podrá ser descargado

Comprar ahora
Contactar
Teléfono para suscripciones e incidencias
De lunes a viernes de 9h a 18h (GMT+1) excepto los meses de julio y agosto que será de 9 a 15h
Llamadas desde España
932 415 960
Llamadas desde fuera de España
+34 932 415 960
E-mail
Opciones de artículo
Herramientas