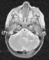
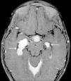
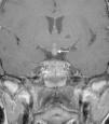
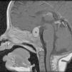
La histiocitosis de células de Langerhans (HCL) es una enfermedad rara caracterizada por la acumulación en los tejidos de células dendríticas anómalas similares a las células de Langerhans. La presentación clínica varía desde la aparición de una lesión ósea única hasta la afectación multisistémica. La implicación del sistema nervioso central (SNC), manifestada como diabetes insípida secundaria a afectación hipofisaria, es conocida desde la descripción original de la enfermedad. En la actualidad, se diferencian 2 tipos de lesiones del SNC: las lesiones seudotumorales, con infiltración por las células de Langerhans, cuya manifestación más frecuente es la infiltración hipofisaria, y otras, de más reciente descripción, las lesiones neurodegenerativas del SNC, asociadas a deterioro neurológico, que constituyen una complicación de la enfermedad de causa discutida. Nuestro objetivo es describir las manifestaciones radiológicas de la HCL en el SNC en los pacientes pediátricos.
Langerhans cell histiocytosis (LCH) is a rare disease characterized by the accumulation within tissues of anomalous dendritic cells similar to Langerhans cells. The clinical presentation varies, ranging from the appearance of a single bone lesion to multisystemic involvement. Central nervous system (CNS) involvement, manifesting as diabetes insipidus secondary to pituitary involvement, has been known since the original description of the disease. Two types of CNS lesions are currently differentiated. The first, pseudotumoral lesions with infiltration by Langerhans cells, most commonly manifests as pituitary infiltration. The second, described more recently, consists of neurodegenerative lesions of the CNS associated with neurologic deterioration. This second type of lesion constitutes a complication of the disease; however, there is no consensus about the cause of this complication. Our objective was to describe the radiologic manifestations of LCH in the CNS in pediatric patients.















