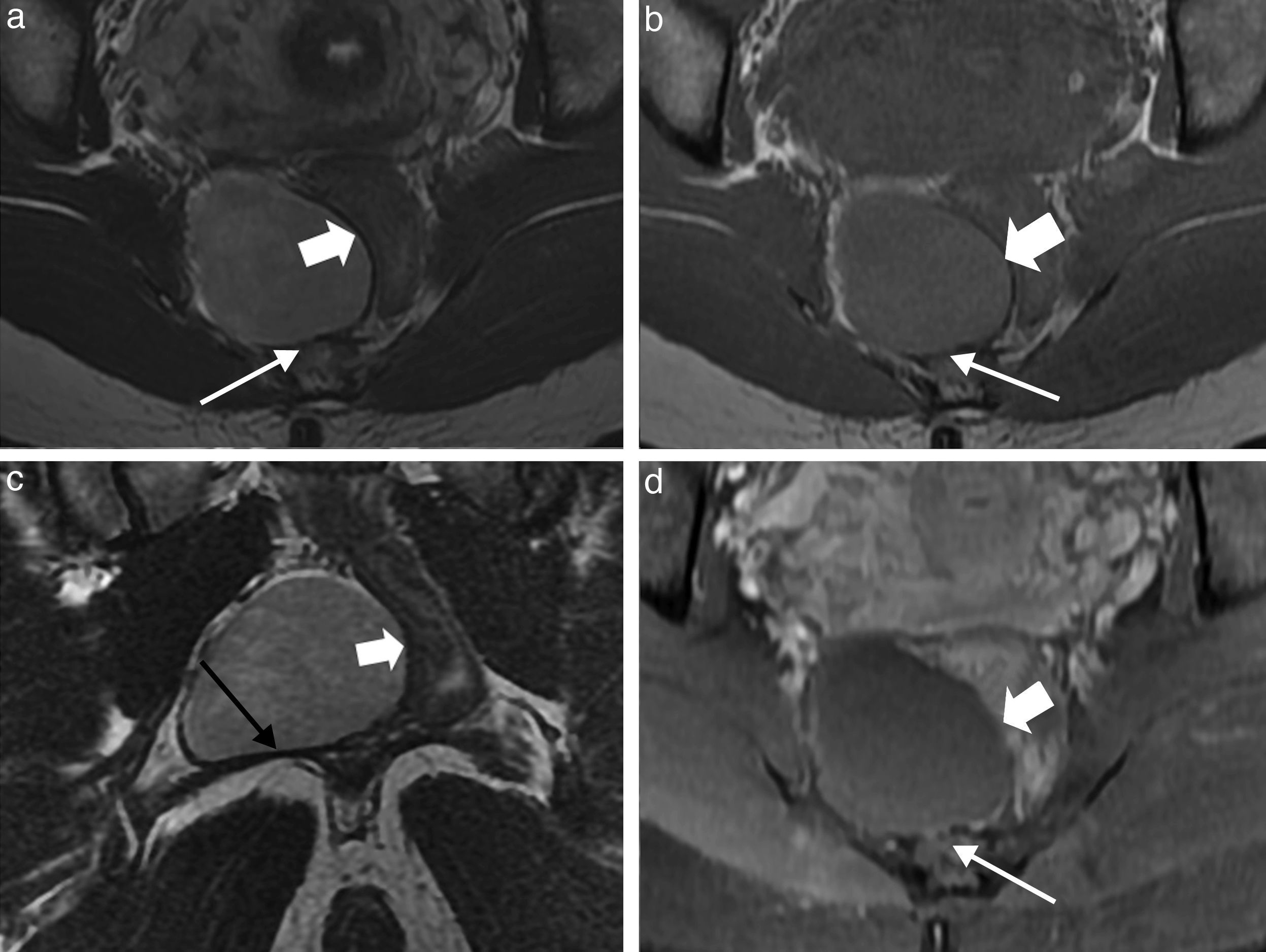
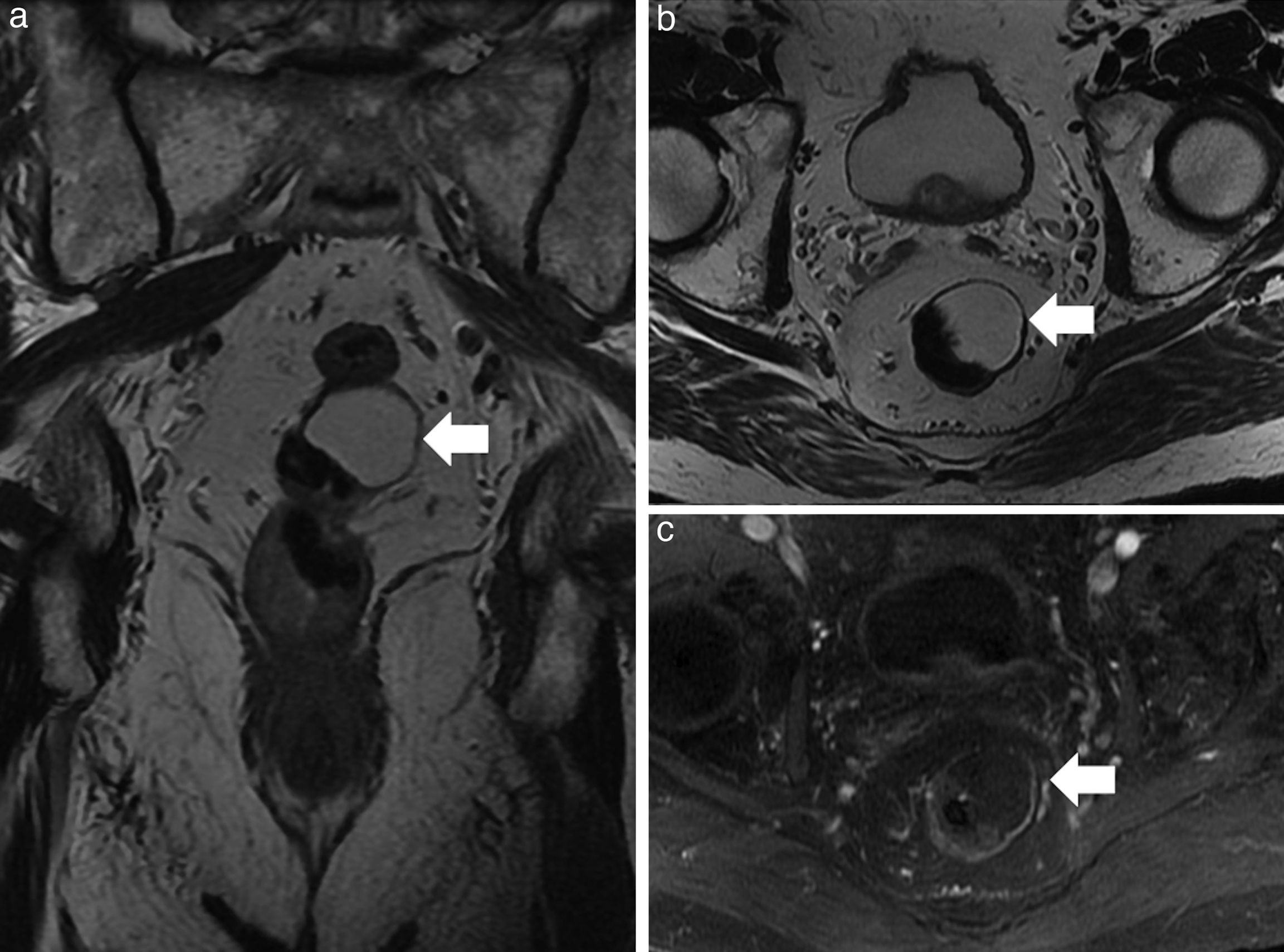
La patología benigna anorrectal comprende una amplio grupo de procesos de muy diversos orígenes, congénitos o adquiridos, inflamatorios o tumorales. Sin embargo, ha recibido en la bibliografía científica menor atención que el estudio de la patología tumoral maligna. Presentamos una revisión basada en imágenes de la patología benigna anorrectal más frecuente. En esta primera parte realizamos un recuerdo anatómico y una breve descripción de las peculiaridades del protocolo de alta resolución que empleamos con la RM de 3.0 T. Después describimos los principales tumores benignos anorrectales y lesiones quísticas del desarrollo junto con sus principales diagnósticos diferenciales y las anomalías congénitas y adquiridas del complejo esfinteriano anorrectal.
Benign anorectal disease comprises a broad group of processes with very diverse origins; these processes may be congenital or acquired as well as inflammatory or tumor related. However, benign anorectal disease has received less attention in the scientific literature than malignant disease. We present an image-based review of the most common benign diseases of the anus and rectum. In this first part, we review the anatomy of the region and provide a brief description of the peculiarities of the high resolution protocol that we use with 3.0 T MRI. We go on to describe the most common benign anorectal tumors and developmental cystic lesions, together with their differential diagnoses, as well as congenital and acquired anomalies of the anorectal sphincter complex.



















