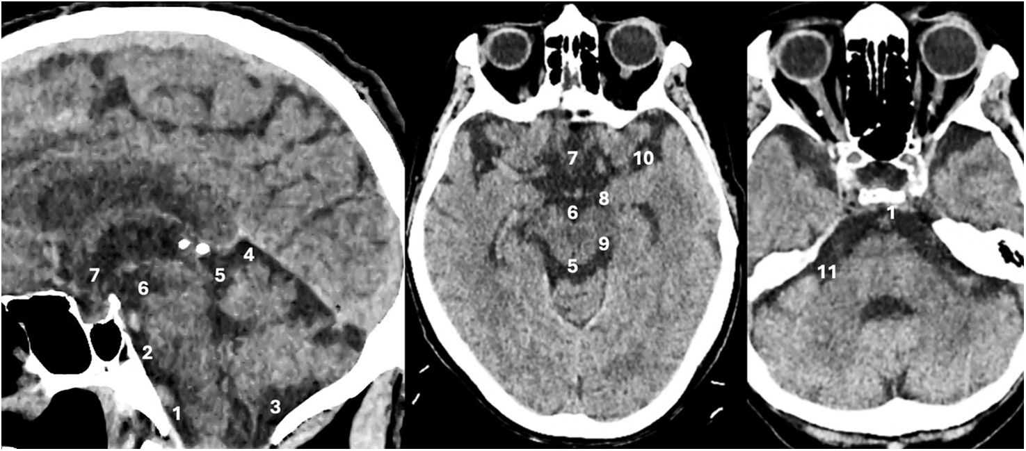
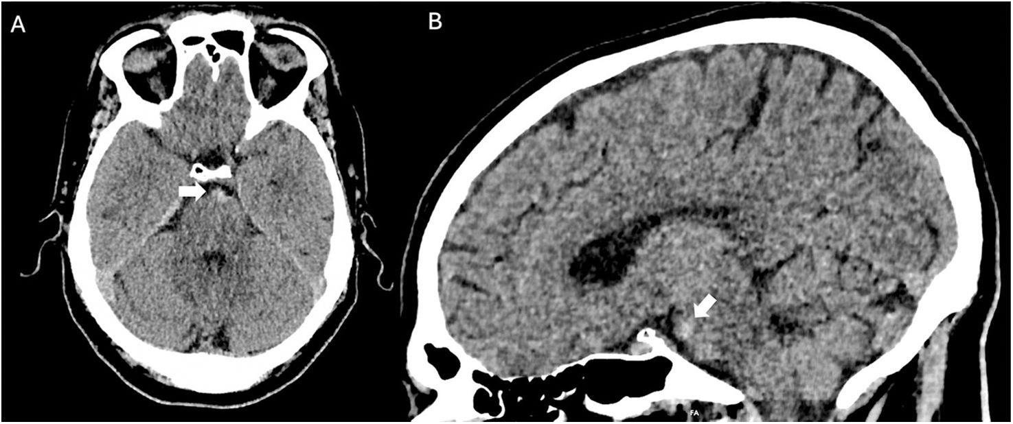
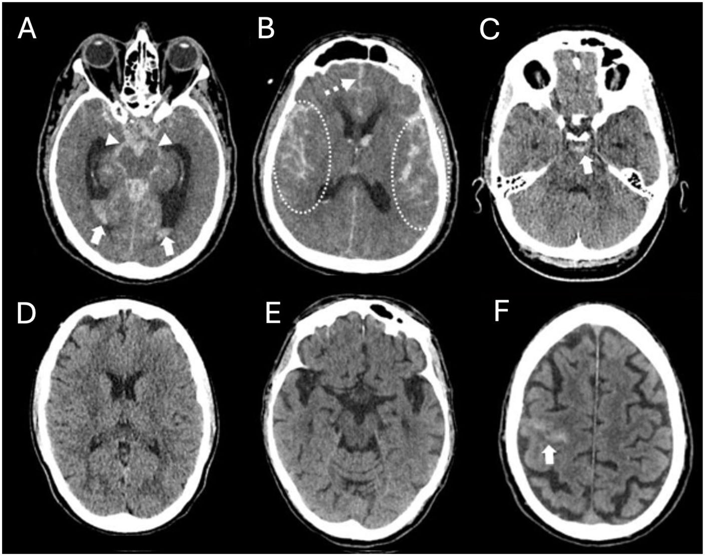
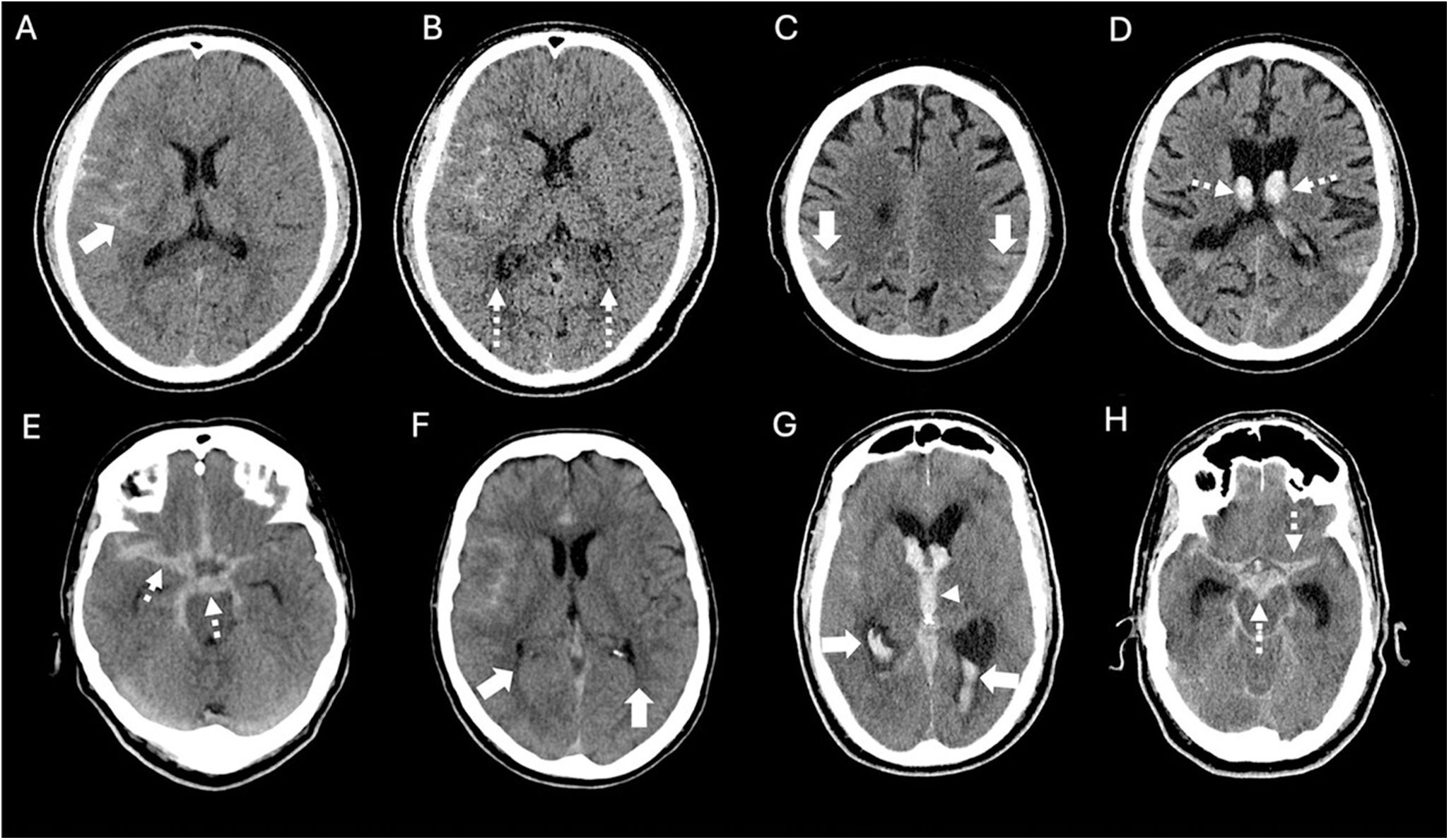
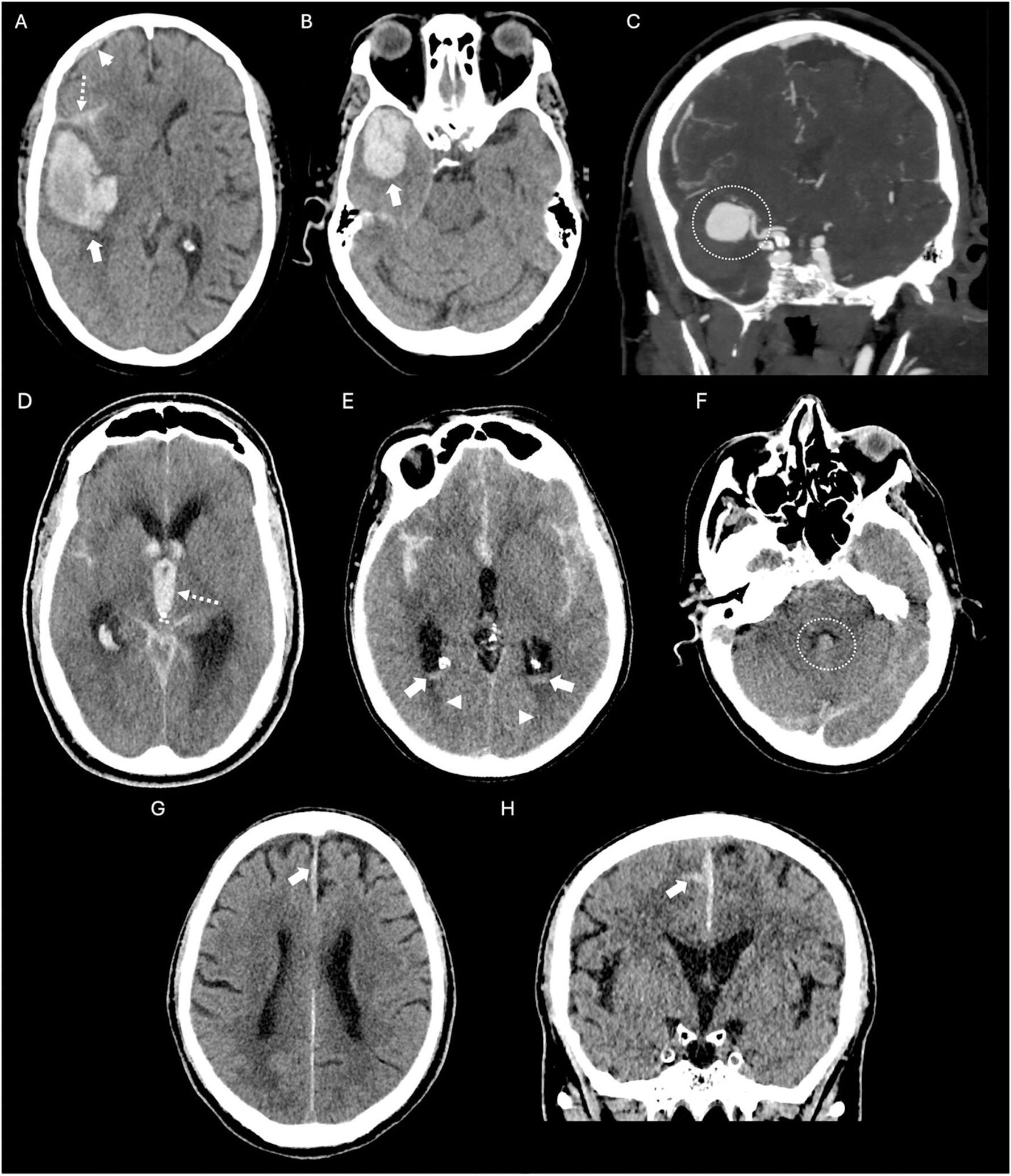
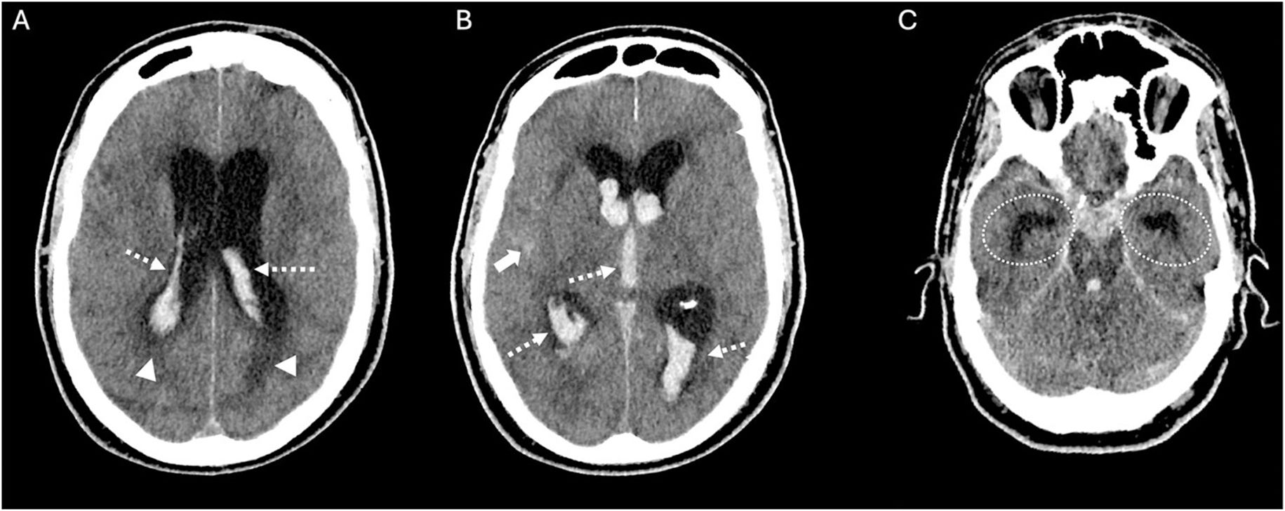
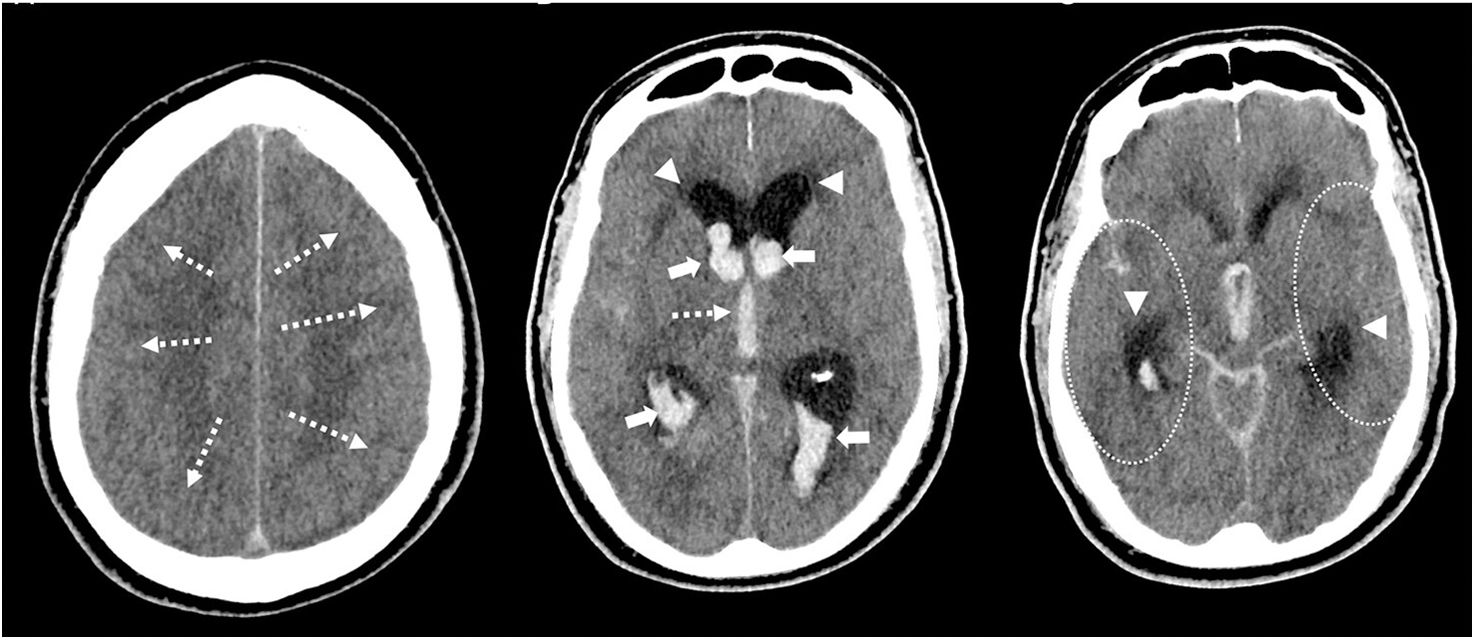
La hemorragia subaracnoidea espontánea (HSA) es una urgencia neurológica que afecta predominantemente a adultos jóvenes, con una elevada tasa de mortalidad y secuelas neurológicas graves en los supervivientes. Su manifestación clínica más característica es la cefalea súbita en trueno, considerada la peor cefalea de la vida, frecuentemente acompañada de alteraciones del nivel de conciencia y rigidez de nuca. La tomografía computarizada craneal sin contraste (TCCSC) constituye la herramienta diagnóstica inicial de elección, con alta sensibilidad. El reconocimiento de patrones de distribución del sangrado en la TCCSC permite orientar el diagnóstico etiológico y valorar la presencia de complicaciones como hidrocefalia, hemorragia intraventricular o edema cerebral. Esta primera parte del artículo proporciona una guía práctica y detallada basada en la imagen para el radiólogo en la fase hiperaguda de la HSA espontánea, diferenciando entre patrones aneurismáticos, perimesencefálicos y corticales, y discutiendo sus implicaciones clínicas, diagnósticas y terapéuticas.
Spontaneous subarachnoid haemorrhage (SAH) is a neurological emergency that predominantly affects young adults, with a high mortality rate and severe neurological sequelae in survivors. Its most characteristic clinical manifestation is a sudden thunderclap headache, often described as the worst headache of one's life, and frequently accompanied by altered levels of consciousness and neck stiffness. Non-contrast cranial computed tomography (NCCT) is the initial diagnostic tool of choice due to its high sensitivity. Recognising the distribution patterns of haemorrhage on NCCT helps guide the aetiological diagnosis and assess the presence of complications such as hydrocephalus, intraventricular haemorrhage or cerebral oedema. This article offers a practical and detailed imaging-based guide for radiologists in the hyperacute phase of spontaneous SAH, distinguishing between aneurysmal, perimesencephalic and cortical patterns, and discusses their clinical, diagnostic and therapeutic implications.


















