Las manifestaciones clínicas de las masas cardíacas suelen ser inespecíficas y, generalmente, dependen más de la repercusión funcional que generan por su localización que de su naturaleza. Las técnicas de imagen nos permiten limitar el diagnóstico diferencial de las masas cardíacas considerando su localización, morfología y características de ecogenicidad, atenuación o intensidad según la técnica empleada.
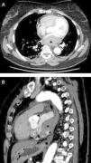
Presentamos el caso de una mujer con dolor centrotorácico opresivo irradiado a la espalda y marcadores miocárdicos positivos, a la que un ecocardiograma detectó una masa en la aurícula izquierda. El hallazgo se confirmó posteriormente con una tomografía computarizada torácica. La semiología en la TC era compatible con un hematoma mural, que se confirmó con una biopsia intraoperatoria.
The clinical signs of heart masses tend to be nonspecific, generally depending more on their repercussions on heart function caused by their location rather than on their type. Imaging techniques make it possible to limit the differential diagnosis of heart masses based on their location, morphology, and characteristics of echogenicity, density, or intensity, depending on the technique used to study them.
We present the case of a woman with squeezing mid chest pain irradiating to her shoulder and positive cardiac markers in whom a left atrial mass was identified at echocardiography. This finding was confirmed at chest CT. The signs at chest CT were compatible with a mural hematoma and this diagnosis was confirmed after intraoperative biopsy.






