El carcinoma papilar es el segundo renal en frecuencia. Su pronóstico es mejor que el del más frecuente carcinoma de células claras, aunque no en casos avanzados al no existir terapias específicas.
Se presenta como un tumor periférico circunscrito (pequeño y homogéneamente sólido o mayor quístico-hemorrágico) o como una lesión infiltrante e invasora de venas, con peor pronóstico.
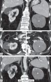
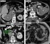
Por su baja densidad vascular, el realce es menor que en otras neoplasias renales, lo que facilita su caracterización. En tomografía computarizada puede no realzar de manera concluyente, y entonces es indistinguible de un quiste hiperatenuante. La ecografía con contraste y la resonancia magnética son más sensibles para detectar vascularización. Son además característicos un patrón vascular específico, hipointensidad en T2, restricción de la difusión del agua y aumento de señal en fase opuesta.
Nuestro objetivo es presentar los aspectos genéticos, histológicos, clínicos y radiológicos de estas neoplasias, en cuyo manejo tiene un papel fundamental el radiólogo.
Papillary carcinoma is the second most common renal cell carcinoma. It has a better prognosis than the more frequent clear cell carcinoma, although this does not hold true for advanced cases, because no specific treatment exists.
It presents as a circumscribed peripheral tumor (small and homogeneously solid or larger and cystic/hemorrhagic) or as an infiltrating lesion that invades the veins, which has a worse prognosis.
Due to their low vascular density, papillary renal cell carcinomas enhance less than other renal tumors, and this facilitates their characterization. On computed tomography, they might not enhance conclusively, and in these cases they are impossible to distinguish from hyperattenuating cysts. Contrast-enhanced ultrasonography and magnetic resonance imaging are more sensitive for detecting vascularization. Other characteristics include a specific vascular pattern, hypointensity on T2-weighted images, restricted water diffusion, and increased signal intensity in opposed phase images.
We discuss the genetic, histologic, clinical, and radiological aspects of these tumors in which radiologists play a fundamental role in management.



























