El monóxido de carbono (CO), el gas tóxico más común, es inodoro, incoloro, inflamable y altamente tóxico; es producido por la combustión incompleta de sustancias carbonadas. Es la causa más frecuente de muerte tóxica accidental y también supone una proporción considerable de muertes tras intento autolítico. La prevalencia de muerte por envenenamiento por CO aumenta durante el invierno a causa de la falta o escasa ventilación de los calentadores domésticos y por la mayor incidencia de depresión durante estos meses1. El CO debe sus efectos a su afinidad por la hemoglobina. Una vez inhalado pasa a la sangre y forma una unión fuerte, aunque reversible, con la hemoglobina, produciendo carboxihemoglobina cuya afinidad por el grupo hemo es 250-300 veces superior a la del oxígeno2, lo que conlleva un descenso del contenido de este en la sangre que afecta principalmente al SNC y al miocardio. La toxicidad varía según el tiempo de exposición y la concentración inhalada, pudiendo existir casos de intoxicación aguda y crónica. Los síntomas iniciales varían desde casos asintomáticos, con cefalea, mareos, náuseas, vómitos, y confusión, hasta pérdida de consciencia, coma y muerte3–5. La morbilidad tras envenenamiento por CO incluye secuelas neurológicas, fundamentalmente deterioro cognitivo, parkinsonismo y clínica psiquiátrica6–8.
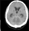
Presentamos el caso de un varón de 38 años con antecedentes de esquizofrenia paranoide que ingresó en nuestro hospital tras ser encontrado inconsciente en un coche cerrado, inhalando el humo del tubo de escape, junto a 2 blíster vacios de benzodiacepinas. A la exploración inicial destacaba baja saturación de oxígeno y un Glasgow de 3. Los valores de carboxihemoglobina eran del 23%. Se realizó una TAC de cráneo inicial (fig. 1) que mostró hipodensidades difusas en hemisferios cerebelosos, sustancia blanca temporobasal bilateral y ganglios basales. Tras una mejora inicial durante las primeras 48h, en las cuales el paciente alcanzó un Glasgow de 10, presentó un empeoramiento clínico con imágenes en TAC de cráneo de severa dilatación de ventrículos laterales y tercer ventrículo, compatible con hidrocefalia obstructiva, por lo que precisó válvula de derivación externa. Posteriormente, en una RMN craneal de control (fig. 2) se comprobó la resolución de la hidrocefalia. Persistían lesiones bihemisféricas que afectaban de manera extensa a sistema límbico, hipocampo, fórnix y áreas temporobasales, lóbulos frontales y parietales y también a ambos hemisferios cerebelosos, todo ello compatible con lesiones anóxico-isquémicas bilaterales múltiples secundarias a intoxicación por CO. Superada la fase aguda, el paciente persistía con deterioro severo de funciones corticales asociado a ataxia de la marcha y síndrome acinético-rígido hemicorporal, sin evidencia de mejoría.
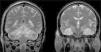
RMN craneal. Corte coronal de RMN cerebral potenciada en T2 que muestra lesiones anóxico-isquémicas múltiples de carácter subagudo-precoz. Las lesiones afectan de manera extensa a ambos sistemas límbicos, hipocampos, fórnices y áreas temporales basales. Pequeñas zonas parcheadas en lóbulos frontales y parietales. Extensas lesiones en ambos hemisferios cerebelosos. Catéter de derivación ventricular en VL derecho.
Las pruebas de imagen, en especial la RMN craneal, han demostrado ser unas técnicas muy sensible para detectar anormalidades cerebrales tras una intoxicación por CO1,9, aportando información sobre las características y el alcance de la lesión producida, correlacionándose mejor que otros parámetros clínicos o analíticos con la evolución del paciente a corto y largo plazo. Aunque inicialmente la RMN puede ser normal1, lo más común es que detecte hiperintensidades en secuencias potenciadas en T210. Las áreas más frecuentemente afectadas son las regiones del cerebro con mayor contenido en hierro (lo que condiciona mayor afinidad de la carboxihemoglobina por ellas) como son los ganglios basales, especialmente el globo pálido, y la sustancia negra. La sustancia blanca periventricular, sustancia blanca subcortical del lóbulo temporal, incluyendo hipocampo, tálamo y cerebelo, también pueden verse afectadas por la toxicidad del CO1,4,9. Nuestro paciente presentaba una extensa afectación tanto supra como infratentorial, con evolución neurológica devastadora.





