Varón de 73 años con los siguientes antecedentes personales: Carcinoma epidermoide facial derecho y nasal, intervenido, dislipemia en tratamiento con buen control de acuerdo a su riesgo vascular basal. Sin otros factores de riesgo vasculares, en tratamiento con simvastatina 20mg/1comp/24h. No refiere antecedentes de cardiopatía isquémica, ni evento cerebral, ni estados de hipercoagulabilidad. Acude a nuestra consulta para una visita no programada comentando el informe de la tomografía axial computarizada (TAC) con contraste de cuello para estudio de extensión de carcinoma epidermoide facial pedida por el servicio de otorrinolaringología (ORL), objetivando: «Trombosis mural en bulbo carotídeo con extensión a carótida interna derecha y estenosis del 65% de luz», al paciente se le trata con antiagregantes plaquetarios y se pauta estatinas de alta potencia en la consulta de ORL y es enviado a cirugía vascular (CV) de forma preferente.
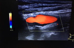
En la exploración física el paciente se encuentra consciente, orientado en tiempo y espacio. Presión arterial: 130/80mmHg, FC: 90lpm. Auscultación cardiopulmonar: RsCsRs, murmullo vesicular conservado. No se ausculta soplos en región abdominal. Neurológico: no focalidad neurológica. Se realiza ecografía en nuestro centro de salud (CS) objetivando placa en carótida interna derecha: hipoecogénica, heterogénea y calcificada (sombra posterior) que ecográficamente parece un trombo (fig. 1). Nos comunicamos con CV del hospital de referencia y comentamos los diferentes hallazgos, a continuación es remitido para realización de ecografía de troncos supraaórticos reglada donde se objetiva el mismo hallazgo que la ecografía realizada en nuestro CS, la angio-TAC informa como placa de ateroma en carótida interna derecha que provoca una estenosis del 70% (fig. 2). Se realiza TAC cerebral y aortoilíaco, sin alteraciones. Al paciente se le mantiene en tratamiento con estatinas de alta potencia y con antiagregantes plaquetarios.
Juicio clínico: placa estenótica en carótida interna derecha.
Diagnóstico diferencial: trombo mural.
Comentario: la implementación de la ecografía en atención primaria, como instrumento de orientación diagnóstica, cumpliendo con los requisitos de formación establecidos permite orientar el diagnóstico y seguimiento de las enfermedades que nos encontramos en nuestra práctica clínica. Nuestro caso suscita, en la consulta, duda sobre el hallazgo fortuito de la TAC realizada en atención hospitalaria, permitiendo de forma rápida la utilización de la ecografía en nuestra consulta de medicina de familia y el traslado a CV.





