Presentamos el caso de una mujer de 32 años que acude a la consulta de su médico de familia por la aparición de secreción serosanguinolenta a través del pezón de la mama izquierda desde hace cuatro meses, acompañada de la detección de un nódulo en el cuadrante inferoexterno de la mama ipsilateral sin traumatismo previo asociado.
En la exploración física se observó telorragia espontánea junto con la palpación de un nódulo de 2 x 2cm de diámetro duro, adherido a planos profundos a nivel de cuadrante inferoexterno de mama izquierda.
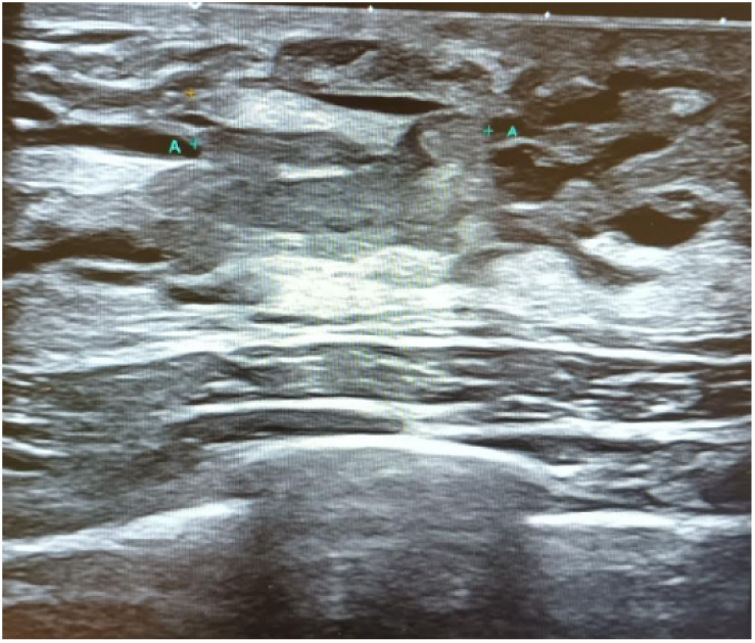
Inicialmente se solicitó la realización de una ecografía de la mama afecta, en la que se observó leve ectasia ductal en dicha mama, identificándose en la región retroareolar un nódulo intraductal de aproximadamente 1,7cm de extensión con doppler positivo, breast imaging reporting and data system4 (BI-RADS 4) (figs. 1 y 2). A continuación, se solicitó un estudio citológico de la muestra obtenida, que arrojó un resultado indeterminado. Posteriormente, se realizó una biopsia ecoguiada, y en el estudio anatomopatológico se observó un papiloma intraductal sin atipia.
Dados los resultados del estudio se decidió realizar una exéresis percutánea de la lesión. La paciente presentó una remisión completa de la secreción tras la realización de la exéresis, confirmándose en el estudio anatomopatológico de la pieza obtenida un papiloma intraductal sin atipia.
La secreción por el pezón, denominada telorrea, representa el tercer motivo de consulta en patología mamaria tras la presencia de masa y dolor. Se define como patológica si presenta las siguientes características: espontánea, persistente, intermitente, unilateral, uniductal, hemorrágica o serosanguinolenta. La incidencia de telorrea oscila entre el 3% y el 7,4%, la mayoría de las pacientes presentan un proceso benigno asociado, aunque del 5% al 20% de las pacientes con secreción patológica pueden presentar neoplasias1.
La causa patológica más frecuente de telorrea es el papiloma benigno intraductal, seguido de la ectasia, y menos frecuentemente del carcinoma intraductal (CID) o invasivo. El CID se manifiesta como telorrea en torno a un 15% de los casos. En los casos en los que la telorrea se asocia a masa palpable, como en nuestro caso, el porcentaje de carcinoma incluido el invasivo, puede ascender a más del 60%2.
El antecedente familiar de cáncer de mama, la multicentricidad y bilateralidad de los papilomas son características que están asociadas con un mayor riesgo de padecer cáncer de mama hasta en un 10%3.
El papiloma intraductal es una lesión proliferativa sin atipia que se asocia con un riesgo ligeramente incrementado de cáncer de mama. Se define como una proliferación de células epiteliales y mioepiteliales que cubren la luz de los ductos de la glándula mamaria. Es una afección poco común y más frecuente en mujeres de 40 y 50 años, caracterizada por el derrame sanguinolento serosanguinolento por el pezón. Se suele asociar a la presencia de una masa palpable unilateral retroareolar de 3 o 4cm. Es considerado un factor de riesgo de carcinoma invasivo de la mama4.
Para el estudio de la lesión es necesaria la realización de pruebas complementarias como la mamografía, ecografía, resonancia mamaria, ductografía y citología1. Tras evidenciar la secreción patológica por el pezón, la técnica de elección es la resección total de los conductos terminales que tiene intención tanto diagnóstica como terapéutica1.
El diagnóstico diferencial de esta patología se debe de realizar con entidades como la hiperprolactinemia, la ectasia ductal y el carcinoma papilar3.
El diagnóstico definitivo de esta entidad se obtiene por medio de la histología de la lesión tras la realización de una biopsia. El diagnóstico con aguja gruesa (BAG) suele subestimar la presencia de malignidad en el papiloma, siendo preferible el estudio histológico de la totalidad de la pieza para descartar la presencia de cáncer3.
Los papilomas se clasifican en función del riesgo de desarrollar cáncer invasivo. Los papilomas únicos y centrales presentan un riesgo bajo de desarrollar un carcinoma ductal in situ o lesiones de alto riesgo, a diferencia de los papilomas múltiples y periféricos que presentan un riesgo mayor de desarrollar una lesión cancerígena respecto a los anteriores5.
En relación con el tratamiento de estas lesiones, la técnica de elección es la resección quirúrgica completa con la inclusión del conducto afecto, ya que permite tanto el diagnóstico de certeza como la curación de la lesión5.
De acuerdo con las recomendaciones de la Sociedad Estadounidense de Cirujanos de Mama, se recomienda individualizar la decisión de extirpar el papiloma en función de criterios como el tamaño, los síntomas y los factores de riesgo de cáncer de mama. Se recomienda la escisión en casos de atipia, masa palpable, secreción sanguinolenta por el pezón y/o discordancia entre patología e imagen, mientras que en aquellos papilomas solitarios benignos incidentales sin atipia y con concordancia en la imagen se puede realizar seguimiento estrecho de las lesiones6.
Se ha contado con el consentimiento de los pacientes y/o se han seguido los protocolos de los centro de trabajo sobre tratamiento de la información de los pacientes.
Conflicto de interesesLos autores declaran no tener ningún conflicto de intereses.





