Un varón de 73 años residente en el ámbito rural acude a la consulta de atención primaria por cambio en el ritmo deposicional de más de 10 meses de evolución, alternando estreñimiento con deposiciones blandas y dolor inguinal derecho de características mecánicas desde hace un mes. Niega pérdida de peso ni otra clínica. Sus antecedentes médicos son diabetes mellitus tipo iI, dislipidemia, enfermedad pulmonar obstructiva crónica (EPOC), enfermedad de Parkinson, síndrome de apnea obstructiva del sueño, anemia ferropénica, déficit de vitamina B12 y hernia inguinal derecha intervenida hace 30 años. No es fumador ni consumidor habitual de alcohol.
A la exploración el paciente presenta buen estado general, normocoloreado y normohidratado, eupneico en reposo, sus constantes son estables, está afebril, con peristaltismo abdominal conservado, abdomen blando, depresible y molestias a la palpación de la fosa iliaca derecha, sin signos de irritación peritoneal, pero molestias al palpar orificio inguinoescrotal derecho. No se palpan bultomas sugestivos de reaparición de la hernia intervenida. En la exploración de la cadera derecha no se aprecian hematomas ni signos inflamatorios, la movilidad de cadera la realiza con dolor leve en la flexión de la articulación.
Se plantea como diagnóstico diferencial: coxalgia mecánica, síndrome de intestino irritable o cáncer de colon.
Se solicita como prueba complementaria analítica de sangre y se pauta analgesia para la coxalgia derecha. En el análisis de sangre se objetiva anemia ferropénica leve persistente, a pesar del hierro oral que toma desde hace meses, por lo que se solicita realización de colonoscopia al servicio de digestivo ante cambio en el ritmo deposicional en paciente con anemia ferropénica persistente. No se solicita sangre oculta en heces por antecedentes de hemorroides externas con sangrado frecuente. En la prueba se observó preparación incompleta, descartando lesiones groseras y visualizando cuerpos extraños similares a «pepitas». El paciente aseguró haber realizado bien la preparación para la prueba.
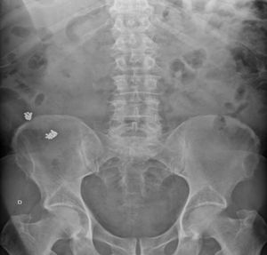
A los 7 meses el paciente vuelve a consultar por continuar con dolor inguinal derecho de características mecánicas, al que se sumaba un dolor sacro con la sedestación que acusaba desde hacía meses. Ante la persistencia del dolor a pesar de la analgesia se solicita radiografía de cadera. En la radiografía se aprecian imágenes radioopacas en el borde superior de la cresta iliaca derecha, descritas en el informe radiológico como «calcificaciones en palas ilíacas». Sin embargo, al observar la imagen detenidamente impresionan de objetos redondeados de menos de 2mm, que unido a la aparición de «pepitas» y la mala preparación en la colonoscopia, a pesar de que el paciente aseguró haber realizado bien los pasos previos a la prueba, generan la sospecha de presencia de cuerpos extraños en el tubo digestivo.
Se solicita nueva radiografía, esta vez abdominal anteroposterior, con el siguiente informe: «Cuerpos extraños metálicos en el flanco derecho, probablemente en el ciego, compatibles con restos de posta, probablemente por ingesta de carne de caza, aparentemente menos que en la radiografía de cadera previa» (fig. 1).
Se realiza nueva anamnesis al paciente, que admite que es consumidor de carne de caza de forma habitual, con una última ingesta hace meses. Se decide realizar interconsulta al servicio de digestivo, explicando la sospecha de perdigones en el tubo digestivo, y se decide la realización de una nueva colonoscopia para la retirada de los cuerpos extraños. Antes de la realización de la colonoscopia se solicita un nuevo análisis de sangre con determinación de plombemia para descartar intoxicación por plomo. El nivel de plomo en sangre era de 3,2μg/dl, levemente elevado (valores normales por debajo de 2μg/dl).
Digestivo realiza la colonoscopia para la retirada de los cuerpos extraños alojados en el colon (fig. 2) y recomienda realizar una nueva radiografía para control en pocos meses, en la que se visualizan menos restos que en la previa. Se realiza monitorización de plomo en sangre, con ligera mejoría de los valores (de 3,2μg/dl a 2,8μg/dl). Al persistir los cuerpos extraños se lleva a cabo una tercera colonoscopia, en la que se extraen 6 perdigones del fondo del ciego.
El ritmo deposicional del paciente mejoró al poco tiempo de la retirada de los perdigones, así como su anemia ferropénica. El dolor mecánico de la cadera fue finalmente controlado mediante escala de analgesia. Es importante destacar en este caso cómo la longitudinalidad, característica de las consultas de atención primaria, y una correcta anamnesis dirigida al contexto sociocultural del paciente ha permitido llegar a un diagnóstico acertado de un caso clínico infrecuente, estableciéndose el diagnóstico definitivo de «perdigones alojados en el colon con plombemia elevada» y el tratamiento de «retirada de los perdigones mediante colonoscopia».
El plomo (Pb) se trata de un metal pesado de color gris-azulado que forma parte de elementos comunes como cañerías, revestimiento de cables, baterías de vehículos, municiones, barnices y pigmentos en pinturas. Actualmente se ha reducido la cantidad de plomo presente en los productos descritos, con la finalidad de minimizar los efectos nocivos de este metal en seres humanos y animales1.
En España se utilizan perdigones (balines de aleación de plomo y otros metales) como munición para las escopetas utilizadas en la caza menor, los cuales quedan en la carne de las presas de caza, que luego generalmente son consumidas como alimento. Habitualmente son expulsados del organismo sin incidencias ni riesgo de intoxicación debido al tránsito rápido y a la escasa exposición al metal, pero en ocasiones permanecen en el tubo digestivo, pudiendo generar complicaciones infecciosas, perforaciones, inflamación por reacción a cuerpo extraño o absorción de plomo e intoxicación crónica asociada.
Las formas más comunes de intoxicación crónica por plomo suelen ser ambientales debidas a productos industriales y en pinturas, sin embargo, se han descrito otras fuentes de contacto con el plomo, como puede ser la de perdigones retenidos en el tubo digestivo o persistencia de restos de balas en el cuerpo tras una herida por arma de fuego. Existen diversos factores que van a determinar si la exposición al plomo va a ser perjudicial, como son la cantidad, la duración y el tipo de contacto, así como las propias de cada persona (edad, sexo y estado de salud)2–4.
Algunas de las manifestaciones clínicas que puede generar la intoxicación crónica por plomo son: astenia, dolor abdominal inespecífico, anemia e incluso síntomas neurológicos como debilidad muscular y deterioro cognitivo (pudiendo en alguna ocasión simular síntomas de trastornos neuromusculares graves como la esclerosis lateral amiotrófica)5–8.
La intoxicación por plomo puede dar cuadros clínicos muy inespecíficos, siendo fundamental desde atención primaria realizar una anamnesis detallada, recogiendo los hábitos de vida del paciente dentro de su contexto sociocultural. En este caso el paciente vive en una zona rural donde se practica mucho la caza de liebres y conejos, siendo consumidores habituales de los mismos. A pesar de ser un cuadro clínico poco frecuente, desde la consulta de atención primaria se ha podido hacer una aproximación diagnóstica acertada gracias a una anamnesis en profundidad, una exploración clínica detallada y a las pruebas complementarias solicitadas desde la consulta.
Consentimiento por escrito para la publicaciónEl paciente ha dado su consentimiento por escrito para la publicación del caso clínico así como para el uso de las imágenes utilizadas.
Conflicto de interesesDeclaramos que no existe conflicto de intereses.




