metricas
covid
Medicina Clínica Varón de 24 años con fiebre e infiltrados pulmonares
Información de la revista
Vol. 142. Núm. 6.
Páginas 259-264 (Marzo 2014)
Compartir
Descargar PDF
Más opciones de artículo
Vol. 142. Núm. 6.
Páginas 259-264 (Marzo 2014)
Conferencia clinicopatológica
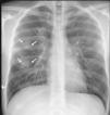
Varón de 24 años con fiebre e infiltrados pulmonares
A 24-year old man with fever and pulmonary infiltrates
Visitas
2035
Natividad Benitoa,
Autor para correspondencia
NBenito@santpau.cat

Autor para correspondencia.
, Pedro Arguisb, José Muñozc
a Unidad de Enfermedades Infecciosas, Servicio de Medicina Interna, Hospital de la Santa Creu i Sant Pau-Institut d’Investigació Biomèdica Sant Pau, Universitat Autònoma de Barcelona, Red Española de Investigación en Patología Infecciosa (REIPI), Barcelona, España
b Servicio de Radiodiagnóstico, Centro de Diagnóstico por la Imagen, Hospital Clínic, Barcelona, España
c Servicio de Medicina Tropical y Salud Internacional, Hospital Clínic, Barcelona, España
Este artículo ha recibido
Información del artículo
Texto completo
Bibliografía
Descargar PDF
Estadísticas
Figuras (2)
Tablas (4)
Tabla 1. Enfermedades adquiridas con más frecuencia tras viajes al África subsahariana
Tablas
Tabla 2. Enfermedades que muestran el «signo del halo» en la tomografía computarizada pulmonar
Tablas
Tabla 3. Causas de enfermedad pulmonar eosinofílica
Tablas
Tabla 4. Infecciones por helmintos que pueden cursar con enfermedad pulmonar eosinofílica
Tablas
Mostrar másMostrar menos

Artículo

Opciones para acceder a los textos completos de la publicación Medicina Clínica
Suscriptor
Suscriptor de la revista

Si ya tiene sus datos de acceso, clique aquí.

Si olvidó su clave de acceso puede recuperarla clicando aquí y seleccionando la opción "He olvidado mi contraseña".
Suscribirse
Suscribirse a:

Medicina Clínica

Comprar
Comprar acceso al artículo

Comprando el artículo el PDF del mismo podrá ser descargado

Comprar ahora
Contactar
Teléfono para suscripciones e incidencias
De lunes a viernes de 9h a 18h (GMT+1) excepto los meses de julio y agosto que será de 9 a 15h
Llamadas desde España
932 415 960
Llamadas desde fuera de España
+34 932 415 960
E-mail
Opciones de artículo
Herramientas