Varón de 64años en tratamiento quimioterápico por carcinoma epidermoide pulmonar estadio T4N2M0 de la clasificación TNM.
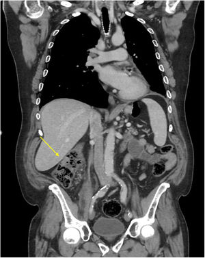
En una tomografía computarizada de control realizada 10meses después del diagnóstico se objetivó un engrosamiento mural del colon ascendente (fig. 1). Se realizó una colonoscopia, observándose en colon derecho una úlcera superficial de aspecto inespecífico (fig. 2). La histopatología fue compatible con metástasis colónica de carcinoma escamoso pulmonar (fig. 3).
Anatomía patológica: A) hematoxilina-eosina ×2: biopsia de colon con marcada inflamación (flecha) y B) hematoxilina-eosina ×10: biopsia de colon con nido celular neoplásico. C) Celuradidad neoplásica positiva para anticuerpo anti-P40 en colon (×20) y D) lesión primaria endobronquial (×20) confirmando origen escamoso.
Actualmente, tras 6meses desde la endoscopia, el paciente continúa asintomático desde el punto de vista digestivo y en tratamiento con el esquema quimioterápico previo.
Las metástasis gastrointestinales (GI) de cáncer pulmonar primario son infrecuentes, variando su incidencia entre el 0,3 y el 1,7%. Las localizaciones GI más habituales son el esófago (6,3%), el intestino delgado (2,6%), el estómago (1,2%) y el colon (0,7%)1.
El subtipo histológico de neoplasia pulmonar primaria más comúnmente asociado a metástasis GI es controvertido2, siendo en una serie reciente el carcinoma de células grandes el más frecuente1.
La mayoría de estos pacientes están asintomáticos3,4. El tratamiento suele ser quimioterápico, aunque en los casos complicados (perforación, obstrucción, hemorragia…) se podría valorar la cirugía. Ninguna terapia ha demostrado un impacto en la supervivencia1.



