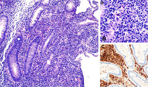
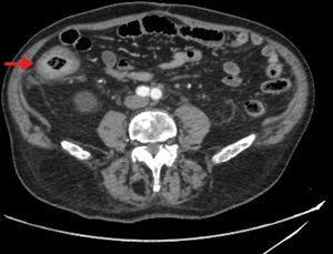
Varón de 87 años, en seguimiento en oncología por antecedentes de GIST gástrico intervenido. En la TC de control se objetivó engrosamiento mural concéntrico en colon ascendente (fig. 1). Se completó el estudio con colonoscopia donde se observó lesión de aspecto ulcerado y circunferencial a nivel de ciego (fig. 2). El estudio anatomopatológico reveló la presencia de células ovaladas con núcleos redondeados centrales y citoplasma metacromático compatibles con mastocitos, que infiltraban la lámina propia y que presentaban inmunorreactividad CD-117 (fig. 3). A pesar de estos hallazgos, y debido a la enfermedad basal del paciente, se decidió no continuar estudio de mastocitosis sistémica (MS).
La mastocitosis es una enfermedad rara que puede afectar exclusivamente a la piel (mastocitosis cutánea) o a múltiples órganos (mastocitosis sistémica).
La afectación gastrointestinal aparece entre un 70-80% de los pacientes con MS.
Los hallazgos endoscópicos varían desde la afectación nodular, áreas pigmentadas, pliegues engrosados o hasta incluso un estudio normal. A pesar de esto, nuestro caso presentaba de forma atípica una lesión ulcerada1.
Existen estudios que cuestionan que los agregados de mastocitos en mucosa colónica, en pacientes asintomáticos, puedan tener alguna significación sistémica2,3. Por ello, debemos ser cautos ante este hallazgo histológico para evitar así procedimientos médicos innecesarios.







