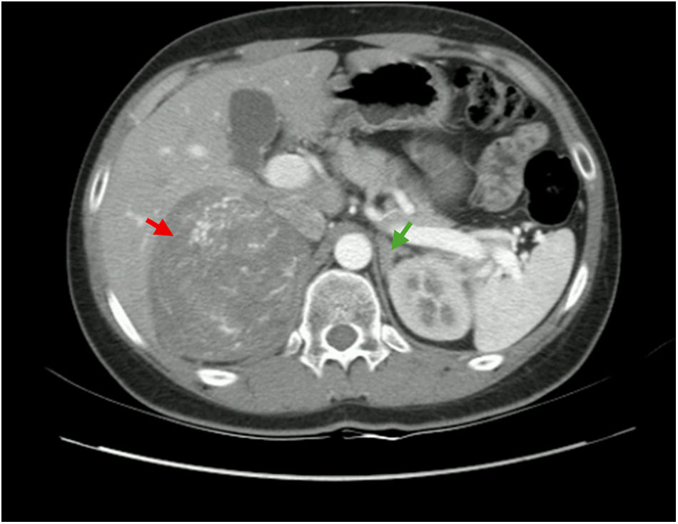
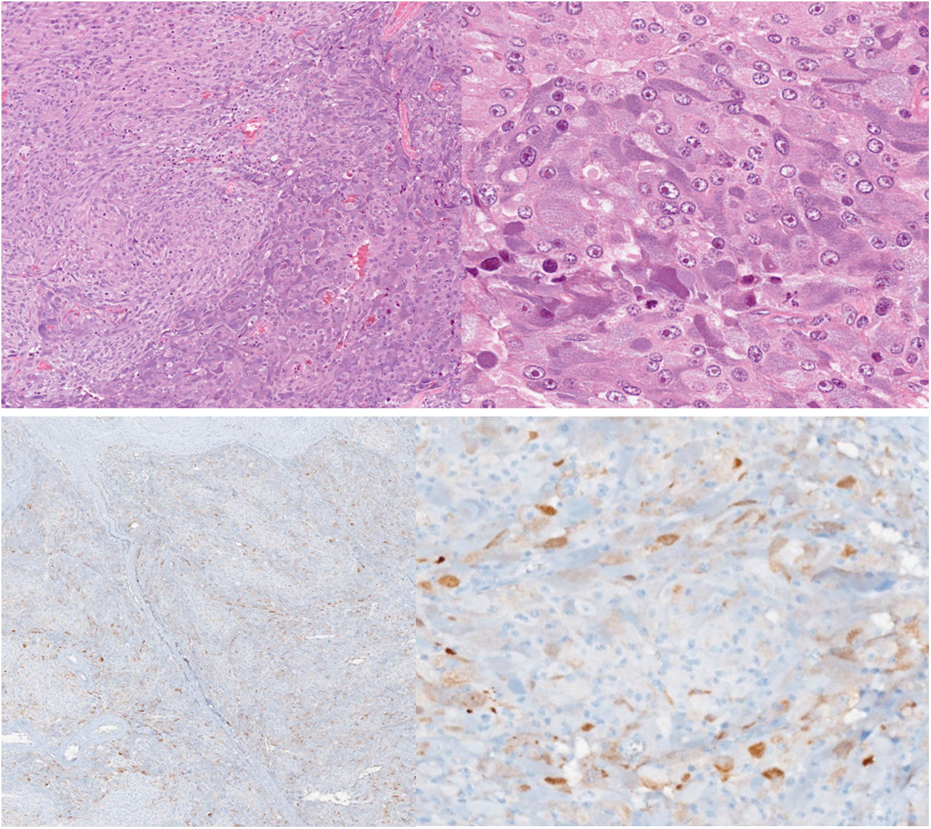
ACTH-producing pheochromocytomas are rare. Familial adenomatous polyposis (FAP), caused by mutations in the Adenomatous Polyposis Coli (APC) gene, increases the risk of colorectal neoplasia, as well as adrenal lesions. This is the case of a 21-year-old male presenting with a 10cm right adrenal mass and rapidly progressive Cushing's syndrome (CS). Biochemical workup confirmed ACTH-dependent CS and catecholamine excess and a 68Ga-DOTA-NOC PET/CT showed SSR expression limited to the adrenal mass. Methyrapone and alpha/beta blockade were initiated, followed by right adrenalectomy. Histopathology confirmed an ACTH-secreting pheochromocytoma (pheochromocytoma of the adrenal gland scaled score – PASS: 16; grading system for adrenal pheochromocytoma and paraganglioma – GAPP: 8). A truncating germline mutation in the APC gene (c.6189_6190del) was detected, associated with attenuated FAP. This is, to our knowledge, the first case ever reported of an ACTH-producing pheochromocytoma in a patient with an APC gene mutation. This case raises the possibility of a broader phenotypic spectrum in FAP and highlights the importance of vigilance for unusual tumor presentations in hereditary cancer syndromes.
Los feocromocitomas productores de ACTH son infrecuentes. La poliposis adenomatosa familiar (PAF), causada por mutaciones en el gen Adenomatous Polyposis Coli (APC), aumenta el riesgo de neoplasias colorrectales, así como de lesiones suprarrenales. Presentamos el caso de un varón de 21 años con una masa suprarrenal derecha de 10cm y síndrome de Cushing (SC) de rápida progresión. El estudio bioquímico confirmó SC dependiente de ACTH y exceso de catecolaminas, y la PET-TC con 68Ga-DOTA-NOC mostró expresión de receptores de somatostatina en la masa suprarrenal. Se inició tratamiento con metirapona y bloqueo alfa/beta, seguido de adrenalectomía derecha. El estudio histopatológico confirmó un feocromocitoma secretor de ACTH (pheochromocytoma of the adrenal gland scaled score - PASS: 16; grading system for adrenal pheochromocytoma and paraganglioma - GAPP: 8). Se detectó una mutación germinal truncante en el gen APC (c.6189_6190del), asociada a PAF atenuada. Este es, según nuestro conocimiento, el primer caso de feocromocitoma productor de ACTH en un paciente con mutación en APC, lo que sugiere un espectro fenotípico más amplio y resalta la importancia de la vigilancia ante presentaciones tumorales inusuales en síndromes hereditarios.





