El término «poppers» se refiere a productos a base de nitritos de alquilo utilizados con fines recreativos.
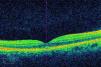
Caso clínicoVarón de 40 años de edad, consumidor habitual de «popper» que refiere visión borrosa en ambos ojos y fotofobia. La agudeza visual fue 0,63/1 en ambos ojos. Se apreció una lesión macular amarillenta de aspecto viteliforme bilateral en la funduscopia y una interrupción de la línea IS/OS en la tomografía de coherencia óptica.
DiscusiónEste es el primer caso de «maculopatía por poppers» registrada en España. Los hallazgos y síntomas clínicos son similares a los casos anteriores reportados.
The term «poppers» refers to products made of volatile alkyl nitrites used for recreational practices.
Clinical case40 year old man reported blurred vision in both eyes and photophobia, and admitted regular use of «poppers». Best corrected visual acuity was 0.63/1 in both eyes. Bilateral yellowish vitelliform macular lesions were present in both eyes in the funduscopy, as well as a disruption of the IS/OS line in the optical coherence tomography.
DiscussionThis is the first case of «poppers maculopathy» registered in Spain. Clinical findings and symptoms are similar to previous reported cases.







