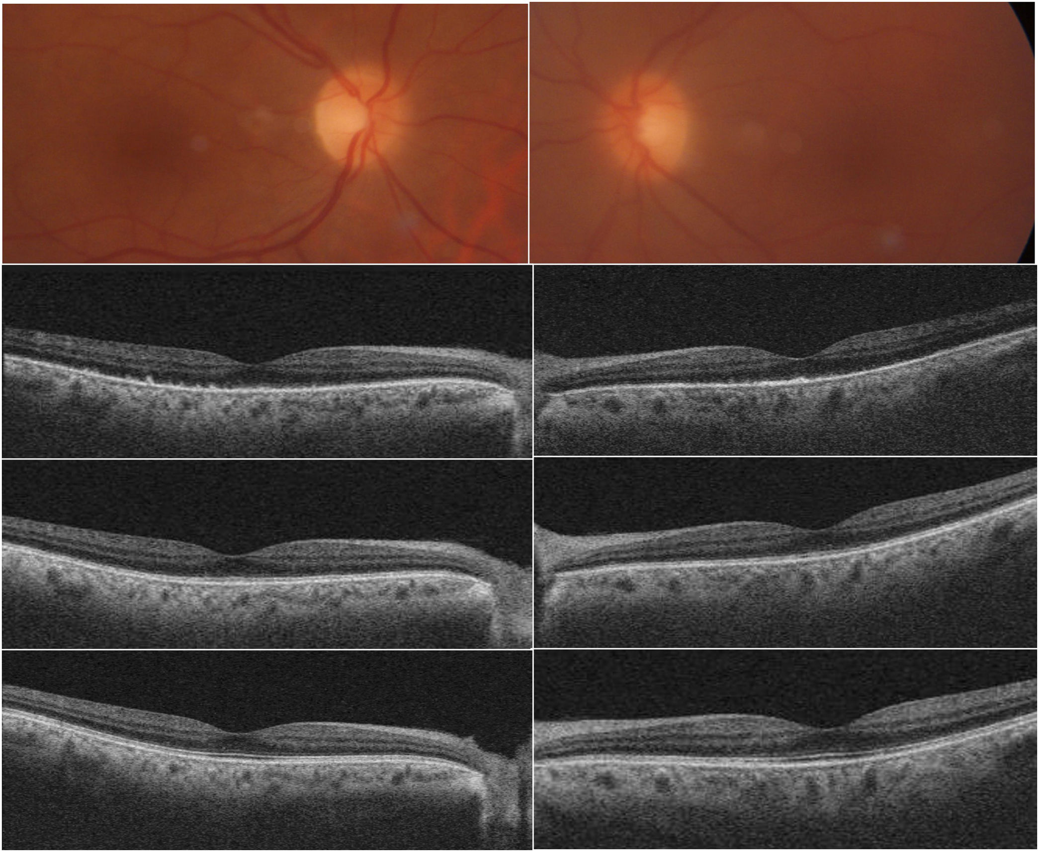
La incidencia de sífilis es creciente. La uveítis sifilítica puede presentarse clínicamente como una retinopatía externa con distintos patrones1. El aspecto en la tomografía de coherencia óptica (OCT) es similar a la retinopatía externa zonal aguda. Desaparece o se interrumpe la línea de los elipsoides y se atenúa la de la MLE. Algunos autores lo denominan elipsoiditis. Es fundamental un diagnóstico y un tratamiento precoces. La recuperación de la estructura íntima de la retina y su función es muy rápida. La imagen de OCT corresponde al momento del debut, 1 y 4 semanas tras iniciar el tratamiento con penicilina (fig. 1).
FinanciaciónEste estudio no recibió financiación específica de agencias públicas, comerciales o sin ánimo de lucro.
Consideraciones éticasEste estudio fue realizado de acuerdo con los principios éticos establecidos en la Declaración de Helsinki.
Se ha obtenido el consentimiento informado por escrito del paciente para la posible publicación de la iconografía de su caso.
Declaración sobre el uso de inteligencia artificialNo se utilizó inteligencia artificial generativa para la redacción, análisis de datos ni interpretación de resultados en este estudio.
Contribución de los autoresTodos los autores han contribuido de manera significativa al desarrollo del estudio y al manuscrito, cumpliendo con los criterios de autoría establecidos por el Comité Internacional de Editores de Revistas Médicas (ICMJE).
Conflicto de interesesLos autores declaran que no existe ningún conflicto de intereses relacionado con el presente estudio.




