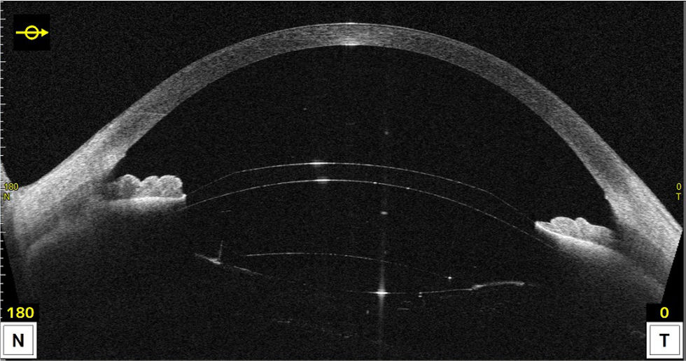
Como resultado del exitoso desarrollo de las técnicas de cirugía refractiva corneal durante las últimas tres décadas, un número creciente de pacientes que se han sometido a cirugía refractiva ahora buscan soluciones quirúrgicas para cristalinos disfuncionales o con cataratas, con altas expectativas en los potenciales resultados visuales alcanzables. El cálculo refractivo en estos casos representa un desafío para el cirujano. Una de las opciones disponibles para corregir los errores refractivos residuales postoperatorios tras una lensectomía es la implantación de una segunda lente intraocular en configuración piggyback. Presentamos un caso singular de implantación de una lente fáquica de colámero (ICL) tórica como implante en piggyback, corrigiendo no solo un error refractivo residual tras la cirugía de cataratas, sino también una disfotopsia negativa.
As a result of the successful development of corneal refractive techniques over the past three decades, an increasing number of patients who have undergone refractive surgery are now seeking surgical solutions for dysfunctional or cataractous lenses, with high expectations for precise visual outcomes. Refractive calculation in these cases poses a challenge for the surgeon. One available option to address residual postoperative refractive errors after lensectomy is the implantation of a secondary intraocular lens in a piggyback configuration. We present a unique case of implanting a collamer phakic intraocular lens (ICL) in a piggyback fashion, addressing not only residual refractive error following cataract surgery but also severe negative dysphotopsia in a patient who had undergone LASIK 20years earlier and already had a posterior capsulotomy.






