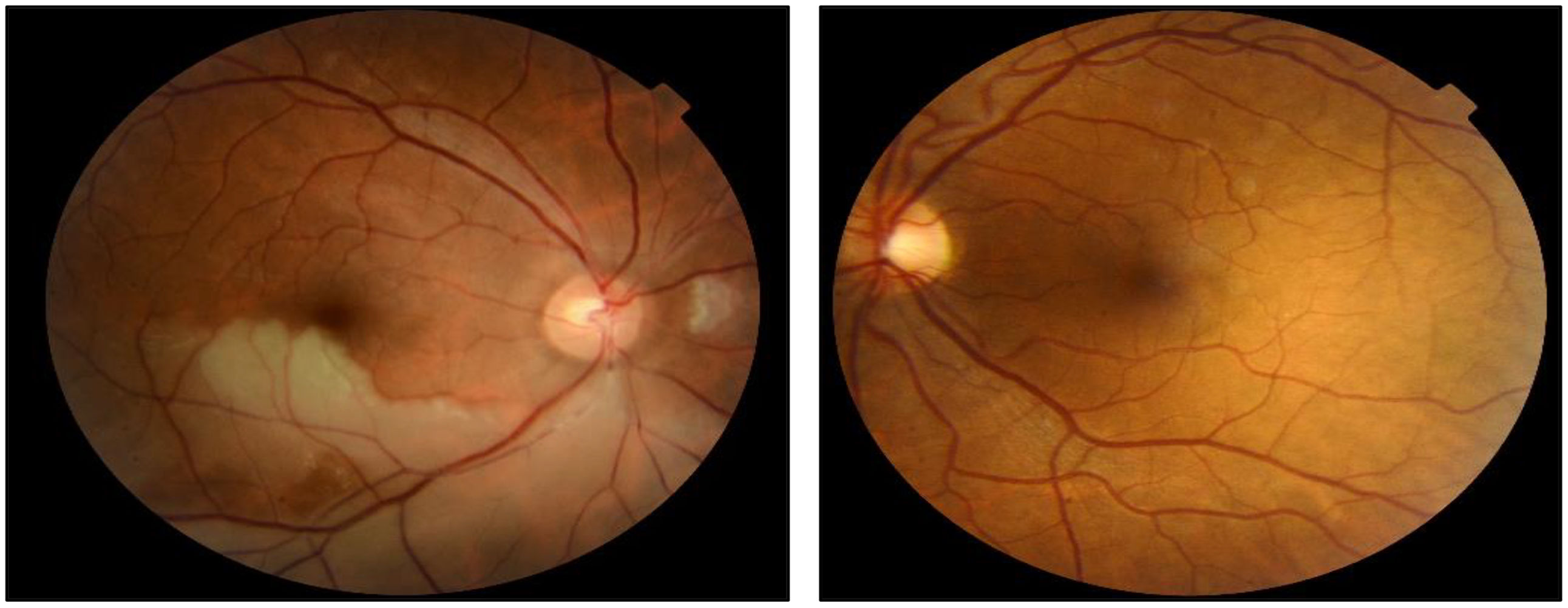
Varón de 40 años que acude a urgencias refiriendo escotoma en el ojo derecho. Presentaba desde hacía meses hipoacusia y cefalea, y en los días previos, déficits sensoriales y motores, por lo que ingresa en neurología para estudio. En la exploración oftalmológica se observaban áreas de oclusión arterial en el ojo derecho. La resonancia magnética cerebral mostró múltiples lesiones hiperintensas. El paciente fue diagnosticado de síndrome de Susac.
Se inició tratamiento con corticoides sistémicos, pero no fue suficiente para controlar el cuadro. Se añadió rituximab e inmunoglobulinas intravenosas, mejorando la sintomatología neurológica, pero sin recuperación de la alteración del campo visual y del defecto auditivo.
El diagnóstico precoz de esta patología es fundamental, pues el retraso del tratamiento puede condicionar secuelas irreversibles. En ocasiones es difícil, dada la gran variedad de síntomas y el curso de la enfermedad. Las manifestaciones oculares pueden hacer sospechar el cuadro cuando los síntomas generales son inespecíficos.
A 40-year-old man who attended the emergency department with a scotoma in right eye. He mentioned hearing difficulties and headache for months and he had sensory and motor deficits in the previous days. In the ophthalmic examination, the right eye had areas of arterial occlusion. MRI revealed hyperintense lesions. The patient was diagnosed with Susac syndrome.
He was treated with systemic steroids, however, it was not enough to control the condition. Rituximab and intravenous immunoglobulins were added, which allowed the improvement of neurological symptoms, but the alteration of the visual field and the hearing defect did not recover.
Early diagnosis of this pathology is essential, since delaying treatment can cause irreversible consequences. Sometimes it is difficult given the wide variety of symptoms and the course of the disease. Ocular manifestations may raise suspicion when the general symptoms are nonspecific.






