Introducción
Los tumores quísticos del páncreas abarcan una gran variedad de tipos histológicos, entre los que destacan por su frecuencia los cistoadenomas serosos (25% del total)1. Dentro de este tipo, es posible diferenciar la variedad microquística y la oligoquística/unilocular1.
Esta última variante, y en particular la muy infrecuente forma unilocular, debido a sus características macroscópicas posee un diagnóstico diferencial muy dificultoso respecto a otras lesiones tumorales, especialmente el cistoadenoma mucinoso y el seudoquiste1. Este diagnóstico diferencial es fundamental, pues las formas serosas pueden ser manejadas de forma segura mediante la observación simple, mientras que las formas mucinosas deben ser todas resecadas debido a su alto potencial maligno.
Caso clínico
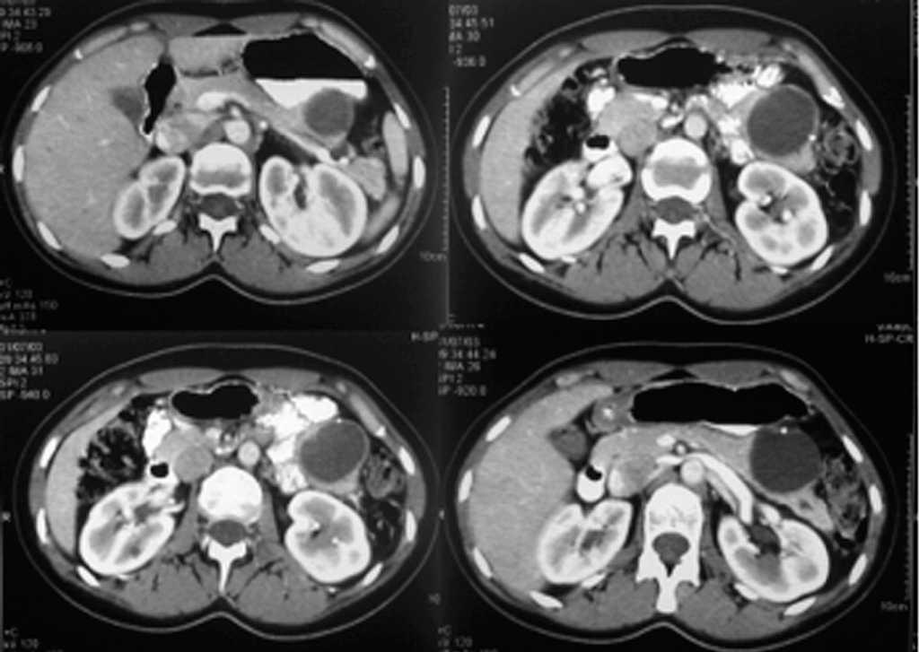
Mujer de 28 años, sin antecedentes personales o familiares de interés, que consulta por molestias inespecíficas en el hipocondrio izquierdo (HCI) sin otra sintomatología acompañante. La exploración física, salvo por la presencia de discretas molestias en la palpación profunda del HCI, es completamente normal. Se efectuó una ecografía abdominal que reveló la presencia de una masa quística en cuerpo/cola de páncreas de carácter unilocular. Ante estos hallazgos se efectuó una tomografía computarizada (TC) que evidencia masa quística unilocular de 6 x 6 cm localizada en la cola pancreática con calcificaciones periféricas (fig. 1). Con la sospecha de neoplasia mucinosa o tumor sólido seudopapilar, la paciente fue intervenida quirúrgicamente practicándose una pancreatectomía corporocaudal (fig. 2). La evolución postoperatoria fue satisfactoria. El estudio anatomopatológico de la pieza quirúrgica reveló que se trataba de un cistoadenoma seroso unilocular macroquístico (fig. 3).
Fig. 1. Hallazgos en la tomografía computarizada. Se aprecia una lesión quística localizada en cuerpo/cola de páncreas, de unos 6 x 6 cm, no tabicada, sin calcificaciones, en ausencia de metástasis o adenopatías.
Fig. 2. Pieza de esplenopancreatectomía corporocaudal. (A): se aprecia la masa quística de contornos regulares de unos 6 x 6 cm de diámetro. Es posible identificar pequeños quistes asociados a la masa principal. (B): la apertura de la lesión reveló un contenido seroso claro, paredes lisas y ausencia de tabiques.
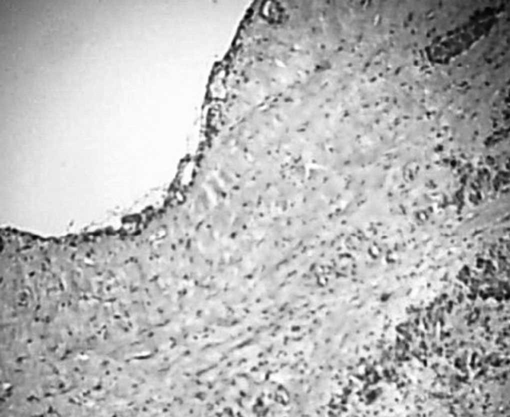
Fig. 3. Cistoadenoma seroso pancreático oligoquístico. Obsérvese una formación quística unilocular. Por debajo del epitelio de revestimiento podemos apreciar tejido fibrótico y de granulación. El parénquima pancreático vecino muestra signos de pancreatitis crónica inespecífica (extremo inferior derecho de la imagen). (HE, x40).
Discusión
El cistoadenoma seroso supone aproximadamente el 25% del total de tumores quísticos del páncreas y se subclasifica en microquístico (normalmente más de 6 quistes de < 2 cm de diámetro cada uno de ellos) y oligoquístico1. Este último es una lesión mal delimitada o encapsulada, compuesta por macroquistes (> 2 cm de diámetro) en escaso número (oligolocular) o con un único quiste (unilocular) de cualquier tamaño1. Esta última variante fue descrita por primera vez en 19921,2 y supone el 7-10% de los cistoadenomas serosos. Hasta el momento sólo han sido comunicados 32 casos en la bibliografía mundial (tabla 1)2-9.
Esta rara variante tumoral no posee criterios diagnósticos clínicos o radiológicos que faciliten su diagnóstico, por lo que con frecuencia es confundido con el seudoquiste o la neoplasia quística mucinosa. Una neoplasia quística puede coexistir con un seudoquiste o incluso ser la causa de éste tras producir un episodio de pancreatitis. Hasta el 40% de los tumores quísticos es erróneamente clasificado como seudoquiste2-9. Si bien las neoplasias mucinosas suelen generar manifestaciones clínicas con más frecuencia que las serosas, esta particular variante, debido probablemente a su mayor tamaño, presenta clínica hasta en un 71% de los casos.
La variante macroquística unilocular plantea importantes problemas a la hora de su diagnóstico etiológico. Cohen-Scali (tabla 1), en una reciente serie radiológica, considera que el diagnóstico de este tipo tumoral puede hacerse cuando se presentan 3 de los siguientes hallazgos: contorno lobulado, ausencia de captación de contraste en la pared quística, pared de espesor < 2 mm y localización en la cabeza pancreática. A pesar de lo comentado, el diagnóstico radiológico es considerado por todos los autores como "casi imposible" debido a que sus características radiológicas son "absolutamente inespecíficas"5.
El empleo de la ecoendoscopia (EE) puede ser de gran ayuda en el diagnóstico diferencial de este tipo tumoral. Sin embargo, hasta en un 14% de los casos la EE es incapaz de establecer el diagnóstico diferencial y tiene una sensibilidad del 43% y una especificidad del 76%.
El análisis citológico de estas lesiones mediante punción-aspiración con aguja fina (PAAF) percutánea presenta dos grandes limitaciones: a) su escasa sensibilidad, pues en el 23-38% de los casos el material obtenido es inadecuado para su estudio, a lo que hay que añadir el hecho de que hasta el 40% de estas neoplasias presenta denudación epitelial, y b) el riesgo potencial de diseminación de células malignas a lo largo del trayecto de la punción.
La determinación de los valores de antígeno carcinoembrionario (CEA) en líquido intraquístico tampoco ha sido muy útil. Los valores altos de CEA (> 5 ng/ml), si bien son muy sugestivos de neoplasia mucinosa, también pueden hallarse en quistes entéricos, mientras que valores de CEA < 5 ng/ml, que excluirían el cistoadenoma mucinoso, también pueden presentarse en quistes congénitos solitarios o en lesiones quísticas asociadas a la enfermedad de Von Hippel-Lindau8.
En nuestra opinión, un diagnóstico fiable de cistoadenoma seroso es clave a la hora de indicar una tratamiento conservador (observación), y esto no puede lograrse con la sola demostración radiológica de una lesión quística unilocular. En esta situación, la laparotomía es inevitable, incluso para las lesiones quísticas descubiertas de forma incidental, aun con el único objetivo de obtener un diagnóstico histológico definitivo10. En caso de enfermos de alto riesgo quirúrgico con lesiones localizadas en la cabeza de páncreas, la punción preoperatoria podría ayudar a afianzar el diagnóstico y a tomar una decisión terapéutica. A pesar de todo, la tendencia hacia la degeneración epitelial dependiente de la edad observada en un reciente estudio en autopsias, y la degeneración maligna observada hasta en un 12% de los casos (se han comunicado al menos 10 casos de cistoadenocarcinoma seroso), obligarían a replantear incluso el tratamiento observacional de estos tumores10.
En conclusión, dada la imposibilidad de un diagnóstico preciso preoperatorio, las lesiones macroquísticas uniloculares, en el adecuado contexto clínico, deben ser resecadas.
Correspondencia: Dr. J.A. Fernández-Hernández.
Servicio de Cirugía General. Unidad de Cirugía Pancreática.
Hospital Universitario Virgen de la Arrixaca.
Ctra. Madrid-Cartagena, s/n. 30120 El Palmar. Murcia. España.
Correo electrónico: jumanjico@yahoo.com
Manuscrito recibido el 2-11-2005 y aceptado el 6-6-2005.








