A 48-year-old man with no relevant medical history went to a general acute hospital seeking medical attention. He had fever, cough, and chest pain. A chest X-ray revealed pleural effusion, which prompted a puncture and a subsequent culture of the sample; antibiotic treatment was prescribed. Despite the treatment, the man remained febrile, and a new clinical examination suggested a probable onychomycosis of all 20 nails. A rapid HIV test was carried out. The culture from the pleural puncture showed yeast growth identified as Cryptococcus sp., revealing a disseminated disease with central nervous involvement, thus leading to an early diagnosis with a better prognosis.
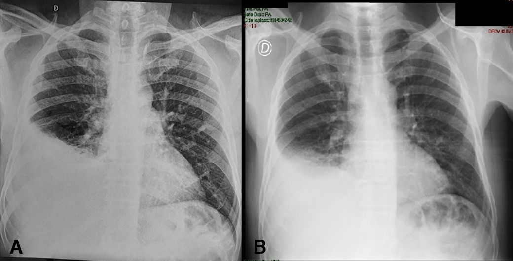
Paciente de género masculino y 48 años de edad. Nació y vive en la ciudad de Buenos Aires, Argentina, trabaja en la construcción y refiere no haber realizado viajes, ni dentro ni fuera del país. Como antecedentes patológicos expone que fue fumador de 15 cigarrillos al día entre los 15 y los 40 años de edad. Dos días antes de la consulta comenzó con fiebre, tos no productiva y dolor en hemitórax derecho. Con estos síntomas se presentó en el servicio de guardia de un hospital general de agudos. Allí le realizaron una radiografía frontal simple de tórax (fig. 1A) y le prescribieron amoxicilina con ácido clavulánico (1g/12h). Seis días más tarde volvió a consultar por continuar la fiebre, esta vez al servicio de guardia del Hospital de Infecciosas FJ Muñiz, donde se le solicitó una nueva radiografía (fig. 1B), se le realizó una punción pleural para llevar a cabo un examen fisicoquímico y bacteriológico. Tras dicho procedimiento el enfermo continuó con el mismo tratamiento antibiótico en su domicilio, con la indicación de realizar reposo y consultar nuevamente en el caso de experimentar falta de aire o tener fiebre que no cediera con antipiréticos. Cinco días más tarde el enfermo volvió al servicio de guardia refiriendo astenia, adinamia, pérdida de peso y equivalentes febriles en días alternos.
El paciente se encontraba lúcido, orientado en tiempo y espacio, sin foco motor ni meníngeo. La piel y las mucosas estaban normocoloreadas y sin otras alteraciones. Se observaron lesiones compatibles con onicomicosis en manos y pies (fig. 2). El estado del paciente era eupneico, afebril, con buena mecánica ventilatoria y murmullo vesicular conservado. El abdomen estaba blando, era depresible, indoloro y no se palpaban visceromegalias. La tensión arterial fue 110-80mmHg y la frecuencia cardíaca 102lpm, con ritmo regular. Además de hemograma, glucemia, uremia, creatininemia y hepatograma, se solicitó prueba rápida para VIH por el estado del paciente, que en este caso resultó reactiva.
Resultados de los análisis clínicosLa analítica de sangre arrojó los siguientes valores: hematocrito: 30%, recuento de glóbulos rojos: 4,63×106/μl, hemoglobina: 12,4g/dl, recuento de plaquetas: 274×103/μl, recuento de leucocitos: 4,7×103/μl, glucosa: 102mg/dl, urea: 23mg/dl, creatinina: 0,79mg/dl, transaminasa glutámico-oxalacética: 18UI/l y transaminasa glutámico-pirúvica: 18UI/l.
En el examen fisicoquímico y citológico del líquido de punción pleural se observó un líquido de aspecto opalescente, color rojizo, que tras el centrifugado presentaba un color amarillo límpido con botón hemático. Los valores químicos fueron los siguientes: glucosa: 100mg/dl, proteínas: 5,20g/dl, albumina: 1,85g/dl, y LDH: 273UI/ml. El recuento celular fue de 2.800cél/μl (polimorfonucleares: 40% y mononucleares: 60%).
En el estudio bacteriológico del líquido pleural, la tinción de Gram mostró leucocitos en cantidad regular; no se observaron bacterias. En el cultivo en agar chocolate se desarrollaron colonias de Cryptococcus. El aislamiento fue derivado a la unidad micología, donde se identificó fenotípica (producción de fenol-oxidasa, ureasa y desarrollo en medios glicina-canavanina-azul de bromofenol y Salkin) y genotípicamente como Cryptococcus neoformans genotipo VNI.
Ante estos hallazgos se internó al paciente y se realizó TAC de cerebro y de tórax. Además, se solicitó la detección de antígeno polisacárido capsular de Cryptococcus en suero por lateral flow assay (LFA), hemocultivo por lisis centrifugación y punción lumbar para realizar exámenes fisicoquímico y micológico.
Al analizar los resultados de los estudios solicitados se decidió realizar tratamiento con anfotericina B liposomal 3-4mg/kg/día y fluconazol 1.200mg/día.
Preguntas- 1.
¿En qué signo-sintomatología se basó la sospecha para solicitar la prueba del VIH?
- 2.
¿Cuál es el patrón radiológico pulmonar más frecuente en la criptococosis? ¿Es frecuente el derrame pleural en esta enfermedad? ¿Puede el microorganismo causante ser considerado un contaminante?
- 3.
¿Cuáles son las indicaciones de realizar antigenemia para Cryptococcus por LFA?
- 4.
¿Está indicada la punción lumbar? Si su respuesta es afirmativa, ¿en qué pacientes se debe realizar?
- 5.
¿Cuáles son los tratamientos actuales de la criptococosis? ¿Por qué se prescribió el tratamiento mencionado?
- 6.
¿Cómo se realiza la identificación molecular de las especies del género Cryptococcus? ¿Se debe adecuar el tratamiento cuando se conoce el genotipo?
- 7.
¿Cuáles son los factores considerados de mal pronóstico en esta micosis?
- 1.
El paciente presentaba lesiones ungueales en ambos pies y manos compatibles con onicomicosis. Esta presunción se confirmó por el estudio micológico en el que se observó la presencia de hifas de dermatofitos en el examen directo con KOH del 40% y el desarrollo de Trichophyton rubrum en los cultivos.
Los enfermos inmunocompetentes que padecen onicomicosis por dermatofitos suelen presentar afección de uno o ambos pies y una sola mano14. Cuando el enfermo se presenta con compromiso ungueal en los 4 miembros debemos descartar inmunocompromiso. Además, la uña del dedo índice de la mano derecha presentaba una lesión de tipo leuconiquia proximal profunda (fig. 2), que se observa más frecuentemente en pacientes inmunocomprometidos13. Esta es una de las presentaciones que obliga a realizar la prueba del VIH.
- 2.
La criptococosis pulmonar puede presentar distintos patrones radiológicos. En enfermos con el VIH suele observarse intersticiopatía y/o nódulos pulmonares uni o bilaterales11. En los enfermos inmunocompetentes que padecen criptococosis pulmonar por Cryptococcus gattii suelen aparecer consolidaciones o masas que, frecuentemente, generan la sospecha de neoplasia pulmonar15. El derrame pleural es poco frecuente en esta enfermedad6, pero cuando se presenta se suele observar en personas inmunocomprometidas, aunque también ha sido descrito en algunos casos de enfermos inmunocompetentes17. Cuando especies de Cryptococcus son aisladas de un material estéril como es el líquido pleural deben considerarse patógenos primarios, siempre y cuando se identifique el complejo Cryptococcus neoformans/Cryptococcus gattii.
- 3.
La antigenemia para Cryptococcus por LFA se utiliza como prueba de tamizaje en enfermos con recuento de linfocitos T CD4+ menor a 200cél/μl previo al inicio del tratamiento antirretroviral, para evitar los recuentos debidos a la reconstitución inmunológica en pacientes asintomáticos8,9. En los centros que no cuenten con dicha determinación debe indicarse profilaxis primaria con fluconazol 200mg/día si los linfocitos T CD4+ son inferiores a 100cél/μ. Esta determinación es de gran utilidad en enfermos que son ingresados por fiebre o síndrome de impregnación con sospecha de enfermedad oportunista12. En los casos con antígeno positivo en suero por LFA (CrAg LFA) se debe realizar examen semiológico de la piel, evaluación pulmonar mediante imágenes de tórax y eventual toma de muestra de material respiratorio, punción lumbar para examen micológico y realización de hemocultivos12. Se recomienda tratamiento anticipado con fluconazol 800mg/día en aquellos enfermos con CrAg LFA positivo en los cuales se descarta el compromiso del sistema nervioso central.
- 4.
Debe descartarse el compromiso meníngeo mediante examen micológico del líquido cefalorraquídeo (LCR) a todos los pacientes VIH positivos con diagnóstico de criptococosis pulmonar o extrapulmonar. Varios estudios demuestran que enfermos sin síntomas neurológicos pueden padecer una meningitis por Cryptococcus7,12,16.
- 5.
Desde hace más de 10 años se utilizan tratamientos combinados para la terapia de inducción en la criptococosis meníngea. El objetivo primario es lograr la esterilización del LCR lo antes posible. Los dos tratamientos más recomendados son la anfotericina B liposomal (AMB-L) 10mg/kg en una única dosis, junto al fluconazol 1.200mg/día, más flucitosina 100mg/kg/día durante 14 días, para después continuar con fluconazol 800mg/día/durante 8 semanas; finalmente, se sigue con profilaxis secundaria8. En los países que no cuentan con flucitosina se recomienda AMB-L 3-4mg/kg/día en forma continua junto a fluconazol 1.200mg/día en la inducción8. En la nueva guía global3 se recomiendan las dos alternativas mencionadas, pero se destaca que cada centro debe adecuar sus tratamientos al tipo de paciente.
En este enfermo se prescribió un tratamiento combinado, porque si bien en el examen directo en fresco con el agregado de tinta china en el LCR no se observaron levaduras capsuladas, sí se detectó antígeno de Cryptococcus por LFA en LCR. De esta forma se confirmó que el paciente, pese a no tener ningún síntoma de meningitis, la estaba padeciendo.
- 6.
La identificación molecular del complejo de especies C. neoformans/C. gattii puede realizarse mediante varias metodologías, entre ellas polimorfismo en la longitud de fragmentos de restricción (RFLP), polimorfismo en la longitud de fragmentos amplificados (AFLP), tipificación de secuencias multilocus (MLST), PCR fingerprinting, tipificación de microsatélites y secuenciación del genoma5. En este estudio se empleó la técnica PCR-RFLP para el gen URA51,2. Los productos de la PCR se sometieron a digestión enzimática doble con las enzimas Sau96I y HhaI, y los fragmentos resultantes se separaron por electroforesis en gel de agarosa. Los patrones obtenidos se compararon con cepas de referencia: CBS10085 (VNI), CBS10084 (VNII), CBS10080 (VNIII), CBS10079 (VNIV), CBS10078 (VGI), CBS10082 (VGII), CBS10081 (VGIII) y CBS10101 (VGIV).
Aunque la identificación molecular de las distintas especies del complejo C. neoformans/C. gattii no influye en la selección del tratamiento actual, es esencial para entender la epidemiología, patogenicidad, y resistencia antifúngica de estas infecciones, especialmente en pacientes inmunodeprimidos. Actualmente los puntos de corte epidemiológicos establecidos por el Clinical and Laboratory Standards Institute (CLSI) para la sensibilidad frente a los antifúngicos solo abarcan el genotipo VNI.
En un futuro cercano, conocer la diversidad genética y molecular dentro del complejo permitirá diferenciar cepas con virulencia y adaptación específicas, lo que facilitará el desarrollo de terapias dirigidas y mejorar el control de brotes.
Además, se sabe que la identificación de especies y genotipos geográficamente distribuidos permite anticipar y manejar el riesgo de infecciones según las características regionales y poblacionales.
- 7.
Los principales factores de mal pronóstico en la criptococosis son la hipertensión endocraneana, la hiperglucemia, el deterioro del sensorio, la alta carga fúngica en LCR, el bajo recuento celular (<5cél/μl) en el LCR, la hipoglucorraquia persistente, la presencia de otras enfermedades oportunistas en forma concomitante y el bajo recuento de linfocitos T CD4+1,2,4,8,10.




