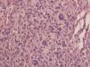
Presentamos el caso de una lactante de 4meses de vida con un xantogranuloma cutáneo occipital de rápido crecimiento. Histológicamente muestra una proliferación difusa de histiocitos xantomizados y no xantomizados, con algunas células gigantes tipo Touton. Presenta una alta actividad mitótica, más evidente en las áreas no lipidizadas. Nuestra paciente se encuentra bien y sin recidiva 2años después de la extirpación. Aunque la actividad mitótica no es habitual en este tumor —y puede ser causa de inquietud— según lo publicado en la literatura, su comportamiento biológico es igual al del xantogranuloma habitual.
We present a case of rapidly growing occipital cutaneous juvenile xantogranuloma in a 4-month-old girl. Histologically, it showed diffuse proliferation of lipidized and non-lipidized histiocytes with some Touton-type giant cells and a high mitotic activity, more evident in non-lipidized areas. Two years postoperatively, the patient is alive and well, with no recurrence. Although high mitotic activity is not habitual in this tumour and can cause alarm, the current literature suggests that its biological behaviour does not differ from that of normal xanthogranulomas.
ArtÃculo
Comprando el artÃculo el PDF del mismo podrá ser descargado
Comprar ahora










