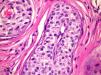
El glomus coccígeo es una estructura localizada en el área del cóccix o pericoccígea. Es una anastomosis arteriovenosa especializada rodeada de células glómicas, que son verdaderas fibras de músculo liso modificadas, relacionadas con la termorregulación. Describimos un caso de glomus coccígeo en un paciente de 48 años de edad con coccigodinia, mostrando las características histológicas e inmunofenotípicas de esta estructura anatómica normal. Reconocer este cuerpo glómico del área coccígea es sumamente importante para no confundirlo con un tumor glómico u otra lesión patológica.
The glomus coccygeum is a structure found in the coccyx o pericoccygeal area. It is a form of arteriovenous anastomosis surrounded by glomus cells (modified smooth muscle cells), which plays an important role in thermoregulation. We describe the incidental finding of a glomus coccygeum in the resection specimen from the sacral region of a 48-year-old patient with coccygodynia, which gave us the opportunity to study the histology and immunophenotypic characteristics of this normal anatomic structure. It is important to recognise the glomus corpus from the coccygeal area in order to avoid mistaking it for a glomus tumour or other pathological lesions.










