El mesotelioma de la cavidad peritoneal es una neoplasia extremadamente infrecuente. Se presenta generalmente en forma de múltiples lesiones generalizadas, y tiene un pronóstico desalentador. Debido a su baja frecuencia y superposición de características con otros tumores malignos, su diagnóstico suele ser dificultoso. El presente artículo es la comunicación de un caso de mesotelioma peritoneal con un patrón de células «en anillo de sello», por lo poco común de esta entidad y por las dificultades diagnósticas.
El caso corresponde a una mujer de 48 años con antecedentes de dolor abdominal crónico. La ecografía y la tomografía computarizada mostraron ascitis e imágenes tumorales, en ambos anexos. Los niveles de CA-125 fueron hasta 1.025U/ml. Una laparotomía exploratoria encontró múltiples lesiones tumorales extensas en anexos y en peritoneo. Se realizó ooforectomía derecha con muestreo de las lesiones peritoneales.
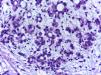
La pieza de ooforectomía presentaba múltiples lesiones sólidas y quísticas nodulares blanquecinas superficiales, que medían hasta 2,5cm. Los cortes histológicos mostraron una neoplasia maligna con diferenciación glandular y un patrón de células en anillo de sello llamativo. El estudio inmunohistoquímico resultó positivo para citoqueratinas (CK) 7 y 5/6, WT1, CA-125, calretinina y D2-40, y negativos para CK20, CEA Pax8 y CDX2, como también para receptores de estrógeno y progesterona y vimentina, favoreciendo el diagnóstico de mesotelioma peritoneal con células «en anillo de sello».
Esta entidad debe ser diferenciada de los carcinomas metastásicos y de los carcinomas ováricos mucinosos y serosos. El patrón de crecimiento, diseminación y el perfil de inmunohistoquímica ayudaron a establecer un diagnóstico preciso.
Malignant peritoneal mesothelioma is an extremely uncommon neoplasm. It usually presents as widespread, multiple lesions and has a poor outcome. Diagnosis may prove difficult due to both its infrequency and the presence of many features common to other tumours. We report a case of peritoneal mesothelioma with a signet ring cell pattern which posed many diagnostic problems.
A 48 year old woman presented with a history of chronic upper abdominal pain. Ultrasonographic and computed tomography scan showed ascites and tumoral images in both adnexa. CA-125 levels were raised to 1025U/ml. An exploratory laparotomy revealed multiple widespread tumoral lesions in both adnexa and peritoneum. Right oophorectomy and sampling of the peritoneal lesions were performed.
The oophorectomy specimen presented multiple superficial whitish nodular solid and cystic lesions, measuring up to 2.5cm. Histological sections showed a malignant neoplasm with a glandular and a striking signet ring cell pattern. Immunohistochemistry was positive for cytokeratins (CK) 7 and 5/6, WT1, CA-125, calretinin and D2-40, and negative for CK20, CEA, Pax8, CDX2 vimentine and receptors for oestrogen and progesterone, favouring a diagnosis of signet ring cell peritoneal mesothelioma.
This entity must be differentiated from metastatic carcinoma and primary mucinous or serous ovarian carcinoma. The growth pattern, dissemination and immunohistochemistry profile helped us to establish an accurate diagnosis.












