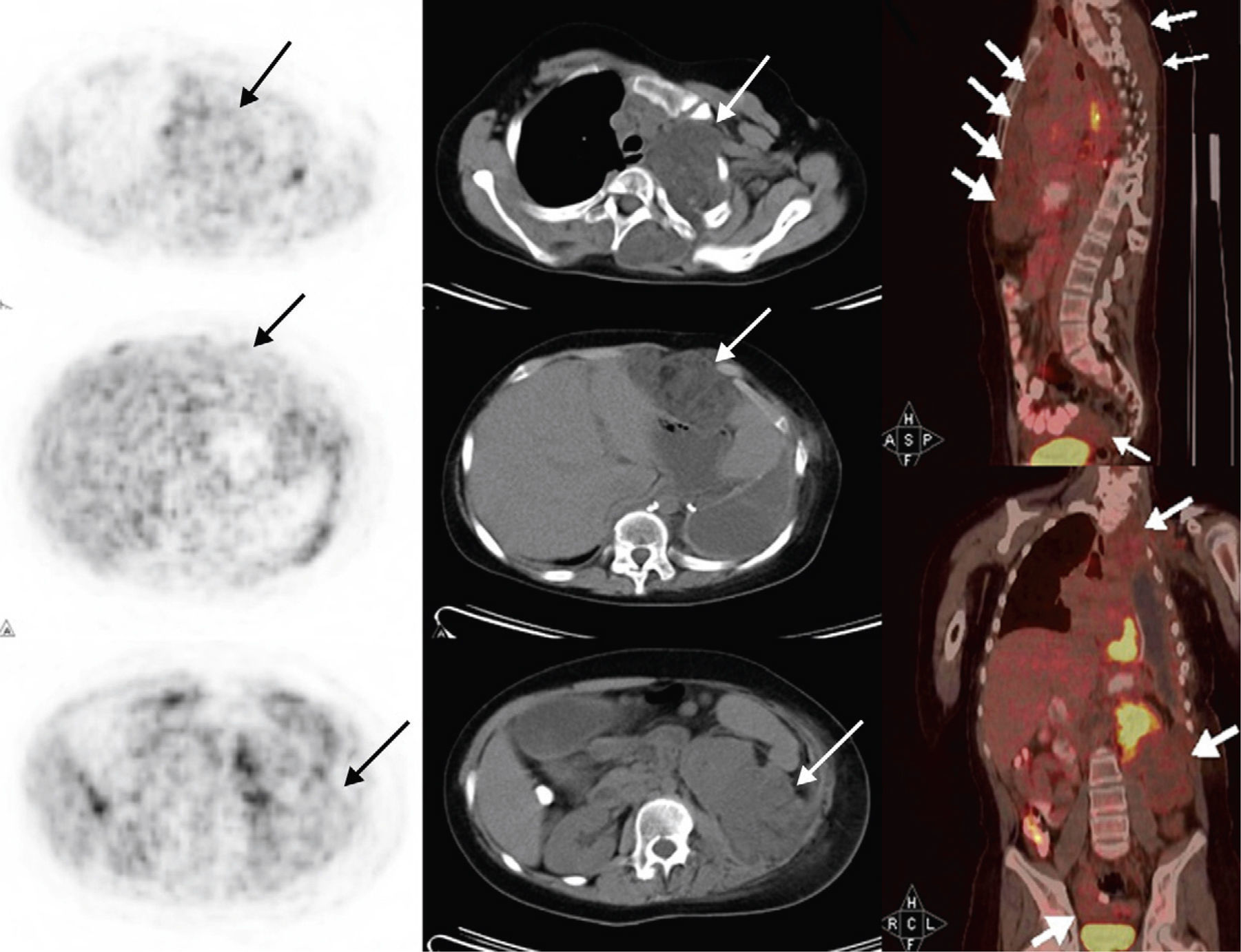
The role of FDG PET/CT in management of soft tissue and bone sarcomas has been described in many studies up-to-date. However, contribution of PET/CT to diagnosis and treatment in some types of sarcomas that are seen with low incidence has not been identified properly yet. Clear cell sarcoma, synovial sarcoma of chest and myxoid lyposarcoma are rare types of sarcomas. We aimed to describe the FDG uptake patterns of these rare tumors and find out the role of FDG PET/CT in management of disease.
Hasta la fecha se ha descrito en muchos estudios el papel de la FDG PET/TAC en el manejo de los sarcomas de tejido blando y hueso. Sin embargo, la contribución de la PET/TAC al diagnóstico y al tratamiento de muchos tipos de sarcomas con baja incidencia no ha sido identificada aún. El sarcoma de células claras, el sarcoma sinovial en tórax y el liposarcoma mixoide constituyen tipos raros de sarcomas. Tratamos de describir las pautas de captación de la FDG en estos tumores raros y de averiguar el papel de la FDG PET/TAC en el manejo de la enfermedad.
Article
If you experience access problems, you can contact the SEMNIM Technical Secretariat by email at secretaria.tecnica@semnim.es or by phone at +34 619 594 780.
Revista Española de Medicina Nuclear e Imagen Molecular (English Edition)





