Aunque la existencia de músculos supernumerarios es conocida por los anatomistas desde hace mucho tiempo, la posibilidad de que un músculo sóleo accesorio pueda causar sintomatología parece tener su primera aparición en la bibliografía médica en 19651. Desde entonces, han aparecido diversas referencias, la mayor parte reseñando casos clínicos o series cortas, siendo la más amplia la de Romanus et al con 11 casos2. Los pacientes con un sóleo accesorio suelen presentar una tumoración en la región posteromedial del tobillo, muchas veces dolorosa y con sensación de tumefacción con el ejercicio, aunque aproximadamente el 25% de los casos publicados cursaban sin dolor2. Se han descrito 2 tipos diferentes de anomalías en el músculo sóleo: la primera, que probablemente representa sólo una variante de la normalidad, es la extensión inusualmente baja de las fibras musculares del músculo sóleo a lo largo del tendón de Aquiles, mientras que la segunda es un verdadero vientre muscular anómalo cuya incidencia sería de entre un 0,5% y un 6% de la población, según los estudios necrópsicos3. De este último, el músculo sóleo accesorio verdadero se han descrito 5 tipos, según su inserción: a) a lo largo del tendón de Aquiles; b) tendinosa a la superficie superior del calcáneo; c) muscular directa a la superficie superior del calcáneo; d) muscular directa a la superficie medial del calcáneo y e) tendinosa a la superficie medial del calcáneo4.
El objetivo del presente trabajo es presentar los hallazgos de una serie de 10 músculos sóleos accesorios, tanto en su presentación clínica como en las pruebas complementarias efectuadas, con el fin de actualizar el conocimiento de esta entidad, poco presente en la bibliografía ortopédica.
MATERIAL Y MÉTODO
Desde 1990, se han identificado en el Servicio de Cirugía Ortopédica y Traumatología del Hospital USP-Santa Teresa de La Coruña 10 casos de músculos sóleos accesorios en 7 pacientes (tres casos bilaterales). Se trataba de 4 hombres y 3 mujeres, con una media de edad de 25 años (mínima: 4 y máxima: 42 años). En 6 casos, los pacientes acudieron a la consulta por presentar dolor en la zona aquílea durante el ejercicio físico, identificándose otros 2 casos al examinar el lado contralateral y un caso bilateral (el niño de 4 años) acudió a consulta porque sus padres estaban inquietos entre el aspecto de las regiones retromaleolares tibiales. En la exploración física se apreciaba en todos los casos, una tumoración retromaleolar interna del tobillo (fig. 1), ocasionalmente sensible a la palpación y que provocaba molestias con los ejercicios de estiramiento selectivo del sóleo en aquellos casos previamente sintomáticos; el tendón de Aquiles aparecía de grosor normal y sin nódulos en su interior en todos los casos. En los casos en que se realizó un estudio radiográfico, se podía apreciar una obliteración del triángulo de Käger (grasa preaquílea) por una masa de partes blandas (fig. 2). En todos los casos, se realizó un estudio ecográfico en el que se confirmó la existencia de una masa preaquílea, bien delimitada, con una ecogenicidad similar a la del músculo estriado, que finalizaba a una distancia variable del calcáneo dependiendo de su tamaño (fig. 3). En los 2 primeros casos, se realizó además un estudio de RM para confirmar el diagnóstico de músculo sóleo accesorio (fig. 4). Tras el diagnóstico, se instauró un régimen de estiramiento selectivo del sóleo y reducción del nivel de actividad física hasta la desaparición de la sintomatología, seguida de la reincorporación progresiva a la actividad previa por debajo del nivel de molestia, hasta la normalización de los pacientes. En todos los casos menos uno (el paciente de más edad) fue posible retomar la actividad física sin limitaciones; en éste último caso, el paciente se encuentra subjetivamente mejor, aunque persiste el dolor al correr más de 15 a 20 minutos, por lo que se encuentra a la espera de decidirse a realizar una fasciotomía del sóleo accesorio.
Figura 1. Se aprecia fácilmente la tumoración retromaleolar medial provocada por la existencia de un músculo sóleo accesorio en el tobillo derecho.
Figura 2. Radiografía lateral del tobillo de un paciente portador de un músculo sóleo accesorio, en el que se aprecia la obliteración de la grasa preaquílea por una masa de partes blandas de contorno redondeado, correspondiente a un músculo sóleo accesorio.
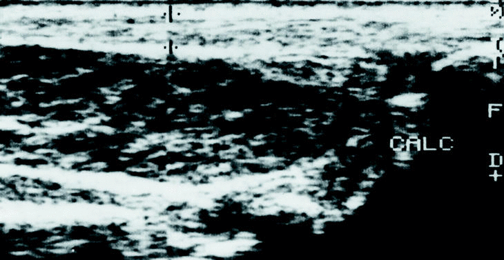
Figura 3. Ecografía de un paciente portador de un músculo sóleo accesorio en la que se puede apreciar la existencia de un vientre muscular ocupando el espacio preaquíleo (el tendón de Aquiles está delimitado por las 2 +; calc: calcáneo).
Figura 4. RM del tobillo de un paciente portador de un músculo sóleo accesorio, cuya inserción alcanza el borde superior del calcáneo por medio del vientre muscular.
DISCUSION
Desde las primeras descripciones del músculo sóleo accesorio en la literatura anatómica del siglo XIX hasta nuestros días, el número de casos publicados en la literatura médica es escaso: la revisión llevada a cabo por Brodie et al en 19975 arrojó 67 pacientes, a los que ellos sumaron 4 más, aunque muchos de los trabajos corresponden a bibliografía radiológica y tal vez los pacientes estén duplicados al presentarse en trabajos del campo de la Cirugía Ortopédica los mismos casos4,6; no obstante, se calcula, en base a estudios necrópsicos, que la incidencia del músculo sóleo accesorio sería de entre un 0,5% y un 6% de la población3. Las razones por las que un sóleo accesorio puede provocar dolor parecen centrarse en un mecanismo isquémico provocado por un síndrome compartimental crónico que se alivia con la fasciotomía, desencadenado por el aumento de tamaño del músculo durante la adolescencia y el aumento de actividad física, razón por la cual parece ser más frecuente en varones2, lo cual podría explicar la sensación de tumefacción y dolor desencadenado por el ejercicio que refieren la mayoría de los pacientes sintomáticos. El tratamiento reflejado en la literatura ha variado considerablemente, desde la exploración y biopsia (13 casos), la escisión (12 casos) a la fasciotomía (19 casos) y el tratamiento conservador (19 casos), a técnicas menos ortodoxas, como la ligadura del pedículo vascular para provocar la atrofia del músculo, etc, obteniéndose en general buenos resultados, por lo cual probablemente es razonable comenzar por las medidas terapéuticas más conservadoras antes de indicar la cirugía, que a la vista de la literatura, pensamos que debería consistir en la fasciotomía del sóleo accesorio. Aunque el diagnóstico se basa fundamentalmente en la sospecha clínica ante una tumoración que ocupa el receso supramaleolar interno, que puede ser sintomática o no, a medida que las técnicas complementarias de diagnóstico (ecografía, TAC y RM, fundamentalmente) han permitido confirmar los diagnósticos de músculos sóleos accesorios de manera no agresiva, los tratamientos se han basado más en la sintomatología que en la existencia o no de tumoración, de manera que casi todos los casos tratados de manera conservadora han aparecido en la bibliografía en los últimos 10 años7. En esta serie, la posibilidad de utilizar la ecografía de manera rutinaria en el diagnóstico de las lesiones de partes blandas del aparato locomotor, ha permitido confirmar el diagnóstico sin problemas en todos los pacientes, al comprobar la existencia de una masa preaquílea, bien delimitada, con una ecogenicidad similar a la del músculo esquelético, que finalizaba a una distancia variable del calcáneo dependiendo de su tamaño. Los buenos resultados clínicos obtenidos en esta serie, logrando la remisión de la sintomatología en 5 de los 6 casos sintomáticos y evitando otros gestos terapéuticos en los restantes 4 casos asintomáticos, señalan la importancia de un diagnóstico preciso, con el fin de instaurar un tratamiento conservador y evitar gestos innecesarios.
CONCLUSIONES
El músculo sóleo accesorio representa un hallazgo relativamente frecuente, que debe ser tenido en cuenta entre los diagnósticos diferenciales de las masas de partes blandas de la región posterior del tobillo y del dolor inducido por el ejercicio físico en la región periaquílea, para evitar estudios y gestos terapéuticos innecesarios y ocasionalmente inútiles, al no solucionar el problema original3 y retrasar el diagnóstico.






