El complejo anterolateral de la rodilla es un estabilizador secundario de la rotación tibial interna, su inserción distal esta localizada en el aspecto anterolateral de la tibia proximal y su avulsión es conocida como fractura de Segond, fue descrita hace mas de un siglo por el cirujano francés que le dio su nombre. Es frecuente la asociación de la lesión del ligamento cruzado anterior (LCA) con este complejo, tanto que en la actualidad se considera la fractura de Segond como un signo patognomónico de ruptura del cruzado anterior. Dada la importancia de brindar estabilidad rotacional desde la periferia de la articulación y las propiedades cada vez mas reconocidas de las estructuras anterolaterales, este artículo reporta un caso de fijación directa de la fractura de Segond, en el cual se buscó restituir la anatomía original de la rodilla.
MétodosRevisión de la literatura relevante y reporte retrospectivo del caso de un paciente con lesión de LCA y fractura de Segond que fue llevado a reconstrucción de LCA con autoinjerto de HTH y reducción directa y fijación con sutura de anclaje de fractura de Segond por una incisión mínima, con un seguimiento clínico de 4 años. Se aplicaron escalas de valoración subjetiva previo al procedimiento y en el seguimiento postoperatorio.
ResultadosLa inestabilidad anterior y anterolateral posterior al manejo quirúrgico presentó mejoría clínica pasando de tener Lachman IIB a negativo, y Pivot shift grado II a negativo. Las escalas de valoración subjetivas de Lysholm e IKDC mejoraron notablemente de resultados regulares previo al procedimiento a excelentes en el postoperatorio. No presentó complicaciones durante el procedimiento ni requirió reintervenciones.
DiscusiónAunque la fractura de Segond está descrita desde hace más de un siglo, y su asociación con lesiones de ligamento cruzado anterior se documentó hace mas de 20 años, aun no hay consenso en el manejo de esta fractura. Desde el punto de vista biomecánico, una estructura localizada en el centro de la rodilla como el LCA, de manera aislada, sería insuficiente para controlar la rotación tibial en relación al fémur. Por lo tanto, sería lógico pensar que una estructura localizada lejos del centro de rotación de la rodilla pueda ser más efectiva en controlar la rotación ya que ejerce un mayor control del torque rotacional. Reportamos resultados funcionales satisfactorios y estabilidad postoperatoria adecuada a 4 años de seguimiento, posterior a la fijación de la fractura de Segond asociada a reconstrucción de LCA; consideramos que puede ser una medida exitosa y segura para el manejo de la inestabilidad anterolateral de la rodilla.
Nivel de EvidenciaIV
The anterolateral complex of the knee is a secondary stabiliser of the internal tibial rotation. Its distal insertion is located in the anterolateral aspect of the proximal tibia, and its avulsion is known as Segond fracture. This was described more than a century ago by the French surgeon who gave it his name. The combination of anterior cruciate ligament injury (ACL) with the anterolateral complex is so common in as much that Segond fracture is currently considered as a pathognomonic sign of rupture of the anterior cruciate. Given the importance of providing rotational stability from the periphery of the joint and the increasingly recognised properties of the anterolateral structures, this article reports a case of direct fixation of the Segond fracture, in which it was sought to restore the original anatomy of the knee.
MethodsReview of relevant literature and retrospective case report of a patient with ACL injury and Segond fracture who underwent ACL reconstruction with a host-to-host (HTH) autograft and direct reduction and fixation with Segond fracture anchor suture through a minimal incision. There was a clinical follow-up of 4 years. Subjective assessment scales were applied prior to the procedure and in the postoperative follow-up.
ResultsAnterior and anterolateral instability after surgical management showed a clinical improvement, going from having Lachman IIB to negative, and from Pivot shift grade II to negative. The subjective rating scales of Lysholm and International Knee Documentation Committee (IKDC) improved markedly from regular results prior to the procedure to excellent in the postoperative period. There were no complications during the procedure and no reoperations were required
DiscussionAlthough the Segond fracture has been described for more than a century, and its association with anterior cruciate ligament injuries was documented more than 20 years ago, there is still no consensus on the management of this fracture. From the biomechanical point of view, a structure located in the centre of the knee like the ACL, in isolation, would be insufficient to control the tibial rotation in relation to the femur. Therefore, it would be logical to think that a structure located far from the centre of rotation of the knee can be more effective in controlling rotation, since it exerts a greater control of rotational torque. Satisfactory functional results are reported, together with an adequate postoperative stability at 4 years of follow-up, after the fixation of the Segond fracture associated with ACL reconstruction. It is considered that this can be a successful and safe measure for the management of anterolateral instability of the knee.
Evidence LevelIV
El complejo anterolateral de la rodilla trabaja conjuntamente con el ligamento cruzado anterior para controlar la rotación de la articulación siendo un restrictor secundario de la rotación tibial interna, por esta razón, los avances en la comprensión de la inestabilidad anterolateral de rodilla han sido impulsados en gran medida por la lesión del ligamento cruzado anterior (LCA) y su reconstrucción1.
Debido al debate sobre el complejo anterolateral, sus propiedades y su papel en la estabilidad rotatoria de la rodilla, se han realizado recientemente algunos estudios para esclarecer la anatomía y biomecánica de dicho complejo y su importancia2–8 y aun hoy continua siendo uno de los principales motivos de controversia entre los cirujanos de rodilla. Desde el estudio de Claes en 2013 se han hecho muchos esfuerzos para tratar de reconciliar las teorías históricas con los hallazgos modernos de anatomía y biomecánica. La ausencia de consenso se puede evidenciar por los mas de 640 estudios disponibles en PubMed al realizar una búsqueda usando el término “knee anterolateral ligament”. Se realizó un consenso de expertos de todo el mundo en Lyon, Francia, en noviembre de 2015 donde se concluyó que “el LAL es un ligamento independiente en la cara anterolateral de la rodilla”. Sin embargo, otros investigadores refutan esta afirmación, negando la presencia de un verdadero ligamento y citando la importancia de otras estructuras anatómicas como la cápsula anterolateral y la porción profunda de la banda iliotibial (BIT)9–11.
Si bien persiste el desacuerdo en la terminología, ya que ha recibido a través de los años diferentes denominaciones como ligamento capsular lateral del tercio medio, capa capsulo-ósea de la banda iliotibial o ligamento iliotibial; hay acuerdo y abundante evidencia de la presencia de una estructura anatómica en el aspecto lateral de la rodilla que se tensa en rotación interna. Este hallazgo no es nuevo.
En 1879 el cirujano francés Paul Segond describió la existencia de una “banda fibrosa” perlada y resistente sobre el aspecto anterolateral de la rodilla humana12.
Segond documentó que la avulsión de la cortical donde se inserta el ligamento capsular del tercio medio producía una fractura que más tarde adoptó su epónimo y fue asociada a la ruptura del Ligamento Cruzado Anterior (LCA)13.
Casi un siglo después, Hughston et al14 separaron los ligamentos capsulares laterales en 3 porciones: anterior, medio y posterior. En el segmento medio se encontró el ligamento capsular del tercio medio, que fue descrito como un estabilizador de la rodilla a 30 grados de flexión. Una lesión en esta estructura es necesaria para que ocurra inestabilidad rotatoria anterolateral adicional a la ruptura del LCA por lo que él afirmó que “la Inestabilidad anterolateral de la rodilla se trataba de un problema capsular que empeoraba cuando se rompía el Ligamento Cruzado Anterior”.
En su estudio anatómico realizado en 2013, Claes le dio nombre al Ligamento Anterolateral (LAL) y lo identificó en el 97% de las muestras tomando 41 rodillas de cadáveres. El origen se estableció en la prominencia del epicondilo femoral lateral, anterior al origen del ligamento colateral externo y cursa en forma oblicua hacia el aspecto anterolateral de la tibia proximal presentando inserciones al menisco lateral y dividiéndose en porciones meniscofemoral y meniscotibial, sigue su curso para insertarse en la tibia proximal a 5mm del margen articular, entre el tubérculo de Gerdy y la cabeza del peroné.
La longitud media en 90 grados de flexión de la rodilla es de 41.5mm y disminuye a 38.5mm en extensión, con un ancho de 8,3mm; logra su máxima tensión durante la flexión mas rotación interna. Se considera que es responsable del control de la rotación interna de la tibia por lo tanto su avulsión es responsable del fenómeno del “Pivot Shift”15.
Análisis histológicos de secciones trasversales del LAL evidenciaron que se trata de una banda de tejido conectivo rodeado por tejido sinovial libre16. Presenta un núcleo denso fibroso que ocupa 20% del área de sección transversal y es más abundante en la región proximal al menisco lateral. Se evidenciaron fibras colágenas onduladas con orientación paralela sugestivas de tejido ligamentario o tendinoso.
En su origen femoral en el epicóndilo hallaron un origen común con el tendón poplíteo con fibras colágenas mezcladas de ambas estructuras. Secciones obtenidas en la interfaz entre esta estructura y el menisco lateral confirmaron la adhesión al menisco sin un plano de clivaje y la inserción de algunas fibras colágenas en el propio menisco, el resto pasaban cerca al menisco pero continuaban sin interrupción hacia el platillo tibial.
Terry y cols el año 1993, documentaron la clara asociación de la ruptura del LAL con la lesión del LCA17; es posible que la lesión del menisco lateral durante la ruptura del LCA se deba a las inserciones del ligamento anterolateral al menisco y tibia proximal.
También se cree que el LAL puede jugar un papel importante en la estabilidad del menisco lateral en ausencia de patología del LCA, limitando la traslación anteroposterior durante la flexión y así prevenir la extrusión meniscal.
Segond mostró que el mecanismo de su fractura es la flexión de la rodilla y la rotación tibial interna; además documentó que la fractura por avulsión ocurre posterior al tubérculo de Gerdy, donde la cápsula articular se refuerza por la inserción de la bandeleta iliotibial y describió una banda fibrosa de tejido que se somete a tensión con la rotación interna de la tibia.
En estudios separados, Dietz y cols en 198618 y Goldman y cols en 198819 encontraron un fragmento por avulsión de forma elíptica situado en el borde lateral del platillo tibial externo. El fragmento de la avulsión deja un defecto en el platillo tibial, que también se puede identificar en las radiografías simples. El tamaño medio del fragmento de acuerdo con Dietz es 10,4mm de longitud y 2,7mm de ancho. El fragmento de Segond se desplaza típicamente sólo 1-5mm de la zona tibial lateral y entre 2 y 10mm inferiores a la línea de unión lateral20.
En oposición a esto, el grupo de la Universidad de Pittsburgh, no reconoce la existencia de un ligamento como tal, sino que defiende la teoría de un complejo estabilizador que produce la fractura de Segond debido a una flexión forzada precedida del mecanismo que produce la ruptura del LCA21,22.
La asociación entre las fracturas Segond y lesiones del LCA han sido reportadas en un rango del 75 al 100%. Dietz y cols. identificaron 20 pacientes con fracturas diagnosticadas de Segond y luego correlacionaron este hallazgo con lesiones del LCA, encontraron que 15 de 20 (75%) tenían ruptura del LCA concomitante. Weber et al lo encontraron en 11 de 12 casos (92%) y Goldman et al en nueve de nueve (100%). En este momento, la presencia de una fractura de Segond se considera que es patognomónica de una ruptura del LCA. El diagnóstico diferencial incluye fracturas por avulsión de la bandeleta iliotibial en el tubérculo de Gerdy, fracturas por avulsión del bíceps femoral en la cabeza del peroné, fracturas por compresión del platillo tibial lateral con conminución, y fracturas de la meseta tibial posterolateral.
La creencia contemporánea para casi todas las áreas de la medicina, es que si una estructura se rompe, el objetivo debe ser reconstruirla tan cerca de sus características nativas como sea posible. Este estudio busca evaluar el efecto de la reparación anatómica directa de la fractura Segond.
Surge entonces la pregunta: Es útil fijar las fracturas de Segond para el manejo de la inestabilidad anterolateral de rodilla asociado a ruptura del LCA?
Presentamos un caso del Hospital de San José de Bogotá, donde ilustramos el enfoque terapéutico de este tipo de lesiones.
MétodosReporte de caso y revisión de la literatura relevante. El caso clínico corresponde a un paciente del grupo de Cirugía de Rodilla del Servicio de Ortopedia y Traumatología del Hospital de San José, manejado por el autor principal. Se obtuvo consentimiento del paciente para uso de información clínica e imágenes radiográficas con fines académicos y de publicación científica.
Presentación del casoIngresó al servicio de urgencias un paciente de 21 años, estudiante, sin antecedentes médicos de importancia; refiriendo caída de un caballo (aproximadamente 1,5 metros de altura) 3 días atrás y secundario a este accidente un trauma indirecto en rodilla derecha, consultó a hospital local donde diagnosticaron fractura de tibia proximal, inmovilizaron y remitieron para valoración por grupo de cirugía de rodilla. Al examen físico se encontró edema y efusión articular en rodilla derecha, limitación para flexoextensión de rodilla por dolor, no fueron evaluables las lesiones meniscales o ligamentarias por dolor.
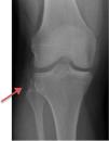
Se realizaron radiografías de rodilla evidenciando una fractura de Segond (fig. 1).
Una vez se consiguió adecuado manejo analgésico, se realizó examen físico encontrando para la rodilla derecha: Cajón anterior grado II, Lachman IIB, Pivot shift ++/+++, aumento de traslación anterior de la tibia con cajón en rotación interna tibial. Dolor a la palpación en interlinea articular lateral, pruebas de Apley y McMurray positivas para menisco lateral.
Se decidió llevar a cirugía para reconstrucción de ligamento cruzado anterior, estabilización del compartimiento anterolateral mediante fijación de fractura de Segond y manejo de posible lesión de menisco lateral.
Hallazgos quirúrgicos: Inestabilidad anterolateral de rodilla derecha por ruptura completa de ligamento cruzado anterior. Lesión vertical de cuerno posterior y cuerpo de menisco lateral en zona roja-roja. Fractura de Segond por avulsión de ligamento anterolateral.
Técnica quirúrgicaPaciente bajo anestesia general, en mesa convencional, posición decúbito supino. Se administró antibiótico profiláctico.
Se realizaron portales artroscópicos anteromedial y anterolateral, barrido artroscópico buscando lesiones, se realizó sutura meniscal de cuerno posterior de menisco lateral con técnica todo dentro (3 puntos con sutura ultra fast fix) y de cuerpo con dos puntos por técnica dentro-fuera con agujas mecánicas.
Se realizó abordaje anterior a nivel de trayecto de tendón rotuliano, se obtuvo autoinjerto de HTH (fig. 2a) taco femoral de 10 x 20mm y taco tibial de 10 x 25mm (fig. 2b).
Por portales de artroscopia se realizó preparación del túnel femoral, se pasó guía, brocas de 4.5 y 10mm; preparación del túnel tibial con guía en C a 50 grados, se pasó pin guía y perforación con broca de 10mm, se recuperó injerto, se realizó fijación femoral con sistema cortical (endobutton BTB de 20mm), se fijó en tibia con tornillo de titanio de 9 x 20mm. Se confirmó por artroscopia adecuada posición, fijación y tensión del injerto.
Por abordaje anterolateral a la tibia proximal derecha, por mínima incisión, de aproximadamente 2cm (fig. 2c), se expuso bandeleta iliotibial (BIT), se incidió y disecó a través de BIT hasta exponer el complejo anterolateral desinsertado con avulsión de la tibia (segmento de Segond), se realizó reducción abierta de fragmento fracturario y se fijó con sutura de anclaje de titanio con aguja (Twin fix), se verificó con intensificador de imágenes (fig. 2g y 2h) y se reforzó ligamento anterolateral con sutura de Krakow a 30 grados de flexión de la rodilla (fig. 2d).
Cierre de ambos abordajes por planos, piel y portales con sutura no absorbible (fig. 2e y 2f). Se cubrió con apósitos estériles y vendaje blando bultoso.
Posterior al procedimiento se dio egreso hospitalario con analgesia y tromboprofilaxis, continuó manejo ambulatorio.
Para la rehabilitación postoperatoria, se inmovilizó con un brace articulado en extensión y restricción para el apoyo por 4 semanas, posteriormente con apoyo parcial progresivo con muletas y flexión progresiva, a 30-60 y 90 grados cada 2 semanas. Desde el primer día postoperatorio se iniciaron ejercicios isométricos. A las 8 semanas postoperatorias se inició un programa de fortalecimiento muscular permitiendo ejercicios de cadena cinética abierta.
ResultadosDespués de 4 años de seguimiento, el paciente no requirió reintervenciones. Se observó una corrección en la inestabilidad anterolateral, con una prueba de pivot shift negativa, sin limitaciones para el arco de movimiento de la rodilla, lo que indica una reparación exitosa.
La prueba de Lachman fue positiva previo a la cirugía (grado IIB) y negativa(0) en todos los controles postoperatorios hasta los 4 años de seguimiento. El pivot shift fue positivo (++/+++) previo al procedimiento y negativo después de la reconstrucción. No se presentaron complicaciones tales como infecciones, no unión del fragmento óseo, rigidez postoperatoria, falla del ligamento cruzado anterior. Los valores de las escalas de funcionalidad de Lysholm23 validado en español e International knee documentation comitee (IKDC)24 mejoraron significativamente, según se describe en la tabla 1.
DiscusiónAunque la fractura de Segond está descrita desde hace más de un siglo, y su asociación con lesiones de ligamento cruzado anterior se documentó hace mas de 20 años, convirtiéndola en un signo radiológico patognomónico de ruptura de LCA, aun no hay consenso en el manejo de esta fractura.
Algunos estudios sugieren que aunque pueda persistir cierto grado de inestabilidad rotacional con la reconstrucción aislada de LCA, el procedimiento generalmente da como resultado una buena recuperación de la estabilidad y función de la rodilla25–27. Por lo tanto, la indicación de un procedimiento adicional, incluso en los casos más severos de lesión de LCA y/o la presencia de una fractura Segond, no esta del todo claro. Otros autores28,29 reportan resultados a mediano plazo, comparables entre pacientes con lesión de LCA sin fractura de Segond asociada y quienes si la presentaron y no recibieron manejo adicional a su reconstrucción de LCA, insinuando que la presencia de la fractura no afecta los resultados postoperatorios de LCA en cuanto a estabilidad de la rodilla.
Por otra parte, mientras la cirugía artroscópica ha revolucionado el tratamiento de muchas lesiones en la rodilla al disminuir notablemente la morbilidad quirúrgica, esto ha distraído la atención del cirujano de la patología extraarticular30. Desde el punto de vista biomecánico, una estructura localizada en el centro de la rodilla como el LCA, indiscutiblemente sería insuficiente para controlar la rotación tibial en relación al fémur, aunque una de sus bandas, el haz posterolateral, siga un curso más oblicuo. Por lo tanto, sería lógico pensar que una estructura localizada lejos del centro de rotación de la rodilla pueda ser más efectiva en controlar el torque rotacional, es así que ésta debería en teoría estar localizada en el aspecto anterolateral de la rodilla.
Algunos autores han considerado adicionar una técnica de tenodesis extraarticular lateral a la reconstruccion aislada de LCA buscando mejorar la inestabildiad rotacional de la rodilla31,32.
Estudios previos que se basan en este principio de manjeo, adicionan reconstrucciones extraarticulares al manejo de la lesión del LCA y describen mejoría de los resultados clínicos, la estabilidad de la rodilla y disminución de las recurrencias33. Sin embargo, los procedimientos descritos en estos estudios no se basan en la restauración de estructuras anatómicas.
Ferretti y cols34 reportan una serie de casos de 12 pacientes sometidos a reparación directa de la fractura de Segond mediante suturas, anclajes óseos o tornillo canulado según el tamaño del fragmento fracturario a 90 grados de flexión de la rodilla, por un abordaje de entre 10 y 12cm, asociado a plicatura de la capsula con sutura absorbible; en conjunto con la reparación de LCA con autoinjerto de isquiotibiales. Describen resultados alentadores en las pruebas subjetivas y objetivas como KT-1000.
El objetivo de este estudio fue evaluar el resultado clínico luego de la fijación directa de la fractura de Segond y por tanto la reparación anatómica del ligamento anterolateral por una incisión mínima. Nuestros resultados confirman la importancia de proveer estabilidad anterolateral en lesiones de LCA.
En el presente estudio reportamos resultados funcionales satisfactorios y estabilidad postoperatoria adecuada a 4 años de seguimiento, posterior a la fijación de la fractura de Segond asociada a reconstrucción de LCA; consideramos que puede ser una medida exitosa y segura para el manejo de la inestabilidad anterolateral de la rodilla. A pesar de que se debe realizar un abordaje adicional, éste es mínimo y no representa aumento en la morbilidad.
Se requieren estudios que involucren más pacientes para verificar que los resultados son reproducibles y los desenlaces favorables.
Fuente de FinanciaciónNo se tuvo financiación de ninguna entidad
Conflicto de interésLos autores declaran no tener conflicto de intereses para el desarrollo de este trabajo
Al servicio de Ortopedia y Traumatología del Hospital de San José, por ser centro de formación académica e investigación.





