La incidencia de lesiones meniscales en adolescentes ha aumentado debido a la creciente tendencia de realizar actividades deportivas en este grupo de edad, mayor sospecha diagnóstica y mejora en los métodos diagnósticos. Suelen asociarse a otras patologías, como lesiones de ligamento cruzado anterior y un factor de riesgo importante es la presencia de menisco discoideo. El menisco discoideo descrito por primera vez por Young en 1889, es una variación congénita morfológica del menisco lateral o medial, caracterizado por una hipertrofia central y un diámetro mayor de lo normal. Puede ser asintomático o manifestarse con dolor, bloqueo, chasquidos e hinchazón. El tratamiento histórico era la menisectomía completa, la cual se asociaba a cambios degenerativos articulares tempranos por lo que actualmente se preconiza la saucerización como tratamiento de elección; además se describe el trasplante meniscal como procedimiento de salvamento, en caso de daño meniscal irreparable. Se describe el caso de una paciente femenina de 12 años sometida a este procedimiento con antecedentes de múltiples intervenciones quirúrgicas en la rodilla izquierda incluyendo la menisectomía parcial sin resultado clínico favorable.
Nivel de evidencia: IV
The incidence of meniscal injuries in adolescents has increased due to the growing tendency to perform sports activities in this age group, greater diagnostic suspicion and improvement in diagnostic methods. They are usually associated with other pathologies, such as anterior cruciate ligament injuries and an important risk factor is the presence of a discoid meniscus. The discoid meniscus, first described by Young in 1889, is a congenital morphological variation of the lateral or medial meniscus, characterized by central hypertrophy and a larger diameter than normal meniscus. It can be asymptomatic or manifest with pain, blockage, clicking and swelling. The historical treatment was complete meniscectomy, which was associated with early degenerative joint changes, nowadays saucerization is recommended as the treatment of choice. In addition, the meniscal transplant is described as a salvage procedure, in case of irreparable meniscal damage. We present the case of a 12-year-old female patient who underwent this procedure with a history of multiple surgical interventions on the left knee, including partial meniscectomy, without a favorable clinical result.
Evidence level: IV.
La incidencia de lesiones meniscales en adolescentes (OMS define como período de crecimiento y desarrollo humano entre los 10 y los 19 años) ha aumentado debido a una combinación de dos factores: el primero, por el incremento de su participación en actividades deportivas causando el 75%-90% de lesiones y el segundo, por aumento del reconocimiento del problema. Se considera factor de riesgo de gran importancia la presencia de menisco discoideo, el cual tiene una incidencia de 3-5% en población occidental y hasta 15% en población oriental1–5.
El menisco discoideo fue descrito por primera vez en el menisco lateral por Young en 1889 6 y 41 años después en el menisco medial por Watson-Jones, siendo éste el menos frecuente7. Es una variación congénita estructural del menisco donde se evidencia hipertrofia central y un diámetro aumentado en comparación con el menisco normal, perdiendo así su configuración característica de “C”, lo cual hace que sea más susceptible a sufrir lesiones. Histológicamente es diferente a un menisco normal, contiene menor cantidad de colágeno, menor organización de sus fibras y presencia de degeneración mucoide8,9.
Watanabe et al., establecieron una clasificación para el menisco discoideo lateral mediante artroscopia dividiéndola en 3 tipos, el tipo I: completo, menisco en forma de disco que cubre completamente la meseta tibial lateral e inserción posterior normal, tipo II: incompleto, menisco en forma de semiluna e inserción posterior normal, pero cubre menos del 80% de la meseta tibial lateral, y el tipo III: de Wrisberg, no presenta la unión meniscotibial, siendo el ligamento de Wrisberg la única inserción, a pesar de ser la más usada, no es muy útil para tomar decisiones quirúrgicas10,11.
El diagnóstico en niños generalmente es complicado, debido a la dificultad en recopilar información acerca de historia clínica y llevar a cabo un examen físico preciso. El menisco discoideo suele ser asintomático; sin embargo, cuando presentan síntomas, el más frecuente es el dolor (95%), edema (71%), sensación de chasquidos (66%), inestabilidad (63%), bloqueo intermitente (54%), rodilla bloqueada (7%), complementando con estudios de imagen1,2,4.
El tratamiento va dirigido a preservar los meniscos, para mantener la biomecánica articular normal y prevenir cambios degenerativos a largo plazo descrito por Fairbank4. El trasplante meniscal con aloinjerto (TMA) es un procedimiento de salvamento 12,13. Los candidatos apropiados son pacientes relativamente jóvenes con menisectomía parcial o total, con persistencia de dolor en línea interarticular, rodilla estable, alineamiento neutral y con lesiones condrales no severas14,15.
El caso clínico que se presenta quiere mostrar un procedimiento realizado con poca frecuencia. Se describe la técnica quirúrgica, siendo un procedimiento demandante pero reproducible.
Caso clínicoPaciente de sexo femenino de 12 años, como antecedentes quirúrgicos de importancia, en la rodilla derecha fue intervenida a los 10 años de rotura del menisco externo de forma artroscópica, realizándose regularización de este por lesión radial en tercio medio, confirmándose diagnóstico de menisco discoideo tipo II con lesión radial central.
En la rodilla izquierda a los 11 años, posterior a actividad física deportiva (giros con pie fijo) presentó dolor intenso y bloqueo de esta en semiflexión. Fue intervenida artroscopicamente con diagnóstico de menisco discoideo tipo II, lesión longitudinal tipo asa de balde no luxada, realizándose sutura meniscal con puntos dentro-fuera.
Se inmovilizó por 3 meses y al iniciar terapia física, presentó bloqueos recurrentes de rodilla en semiflexión y dolor intenso en compartimento lateral, por lo que realizan una nueva remodelación artroscópica de menisco externo rodilla izquierda.
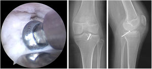
Sin embargo, el dolor y molestias no ceden a los dos meses posteriores a intervención quirúrgica, por lo que se realiza menisectomía subtotal artroscópica (fig. 1) sin conseguir mejoría de síntomas.
A los 6 meses presentó bloqueos persistentes y dolor con signo meniscal externo, acompañándose de hidrartrosis. En el examen físico se encontró valgo fisiológico de 6° y valgo forzado de 9°. Rangos de movilidad completa, pero con dolor en flexión profunda, buena estabilidad ligamentaria y signos positivos en menisco externo. Escala IKDC calculada de 33/87=37.9% y EVA 5/10. Teniendo en cuenta la edad del paciente (12 años), baja estatura (1,50 metros), índice de masa corporal total de 20, rangos de movilidad y estabilidad ligamentaria normales, sin un futuro deportivo de impacto (paciente no realiza actividad deportiva) y con desarrollo de valgo de 9° en este tiempo tan corto (6 meses), se decide implantar injerto de menisco externo cadavérico fresco con bloque óseo en sus inserciones tibiales.
Procedimiento quirúrgicoMediante estudio tomográfico de meseta tibial se realizan las mediciones del compartimento lateral, se elige el aloinjerto cadavérico de menisco externo deseado y luego de esto se realiza la cirugía.
TécnicaBajo anestesia general y uso de torniquete, se realiza abordajes artroscópicos antero lateral y antero medial, se localiza abordaje postero-lateral, tomando como referencia anatómica intraarticular, el tendón poplíteo, y abordaje anterior externo longitudinal de 3cm aproximadamente a nivel de meseta tibial externa, realizando canal óseo de forma trapezoidal, donde se coloca el aloinjerto cadavérico con bloque óseo previamente preparado para encaje a presión y se fija con tornillo canulado de 4.0mm desde superior a inferior en ángulo oblicuo sin afectar a la fisis, corroborando con equipo de fluoroscopía, finalmente se sujeta el menisco mediante fijación periférica hacia la cápsula (figs. 2-6).
Posterior, se talla canal óseo en meseta tibial, paralelo a espinas tibiales, de 8mm cm de profundidad y 1cm de ancho en profundidad y 1cm en parte superficial, logrando un túnel con forma de trapezoide, para no lesionar cartílago de crecimiento, sin perforar cortical posterior y lograr un cerrojo para el momento de colocar el bloque óseo del injerto cadavérico. (Tomado de autores.).
Colocación de puntos de tracción en tercio posterior de injerto meniscal, los mismos que se ingresa por incisión antero lateral, siendo rescatados por abordaje postero lateral, tomando en cuenta que cada punto de tracción se realizó uno por delante y otro posterior a tendón poplíteo. (Tomado de autores).
Se realizó una fijación periférica de menisco, en el siguiente orden: cuerno posterior con uso de sutura todo adentro (Fast Fix 360. Smith&Nephew, Londres-Reino Unido); fijación a capsula, lateral a tendón poplíteo, sin incorporación del mismo en los puntos. Usando los puntos de fijación meniscal hacia la periferia. Posterior, se fijó en periferia con Fast Fix 360, en tercio medio, puntos con técnica dentro fuera en tercio anterior (protector meniscal Arthrex. Naples, Florida, Estados Unidos). (Tomado de autores.).
Se confirma estabilidad y movilidad articular del aloinjerto cadavérico.
Durante los primeros 30 días del postoperatorio no se permitió carga de peso, se inició la flexión y extensión activa guiada por fisioterapeuta, crioterapia y tonificación muscular en forma permanente.
Al iniciar el segundo mes, inicia apoyo del 20% con uso de andador, continuando con tonificación permanente.
Al tercer mes posoperatorio, paciente presenta rangos de movilidad de flexión 120° y extensión 0°, tolerancia para carga completa y marcha asistida con un IKDC de 47/87=47.1% y EVA 1/10. Una resonancia magnética de control confirma buena relación menisco meseta y fémur.
Finalmente, al año posoperatorio la paciente se encuentra asintomática, desarrollando sus actividades cotidianas con normalidad, con un IKDC de 70/87=80.5% y EVA 0/10, además en la radiografía anteroposterior y lateral de rodilla se evidencia consolidación de bloque óseo en la tibia y tornillo localizado de manera adecuada, por lo que se decide dar el alta médica. Paciente al año posquirúrgico refiere alivio total de síntomas en actividades cotidianas y ligera dificultad en flexión profunda (cunclillas) con resultado satisfactorio para la paciente.
DiscusiónEl menisco discoideo es una patología de difícil diagnóstico, que se debe sospechar cuando en las radiografías se evidencie el cóndilo femoral cuadrado, un espacio articular>11 milímetros e hipoplasia de espina tibial lateral. La resonancia es el estudio de elección, encontrándose diámetro meniscal >15 milímetros y signo del corbatín; sin embargo, tiene menor sensibilidad que en población adulta1,2,4,11.
Debido a que la clasificación de Watanabe no da una guía terapéutica, Klingele et al., establecieron el concepto de inestabilidad en los meniscos discoideos, cuando el menisco remanente es hipermóvil y con desprendimiento periférico en la evaluación artroscópica; dividiéndolos además según la ubicación en cuerno anterior, medio y posterior16,17.
Jordan et al, mostraron que los tipos I y II de Watanabe eran asintomáticos hasta que se desgarraban, mientras que el tipo III se asociaba a bloqueo articular, por lo que los clasificó en estables e inestable10,18,19.
Sin embargo, ninguna de las clasificaciones guiaba una conducta terapéutica. Ahn et al., propusieron una nueva clasificación basada en resonancia, tomando en cuenta la estabilidad periférica y desplazamiento subsecuente del menisco discoideo. Estableciendo 4 grupos: sin desplazamiento, desplazamiento antero-central, desplazamiento postero-central y desplazamiento central17,20,21.
Además, reportaron que las lesiones con desplazamiento presentaban más desgarros periféricos, por lo que los clasificaron según la evaluación artroscópica de la estabilidad del borde periférico y del sitio del desgarro dividiéndolos en 3 grupos: grupo 1 cuerno anterior, unión meniscocapsular, grupo 2 cuerno posterior y grupo 3 pérdida de esquina postero-lateral. Estas clasificaciones artroscópicas y de resonancia brindan más información a los cirujanos sobre los métodos de tratamiento adecuados para los meniscos laterales discoideos11,20,21.
En el tratamiento es de suma importancia el concepto de curación meniscal descrito por Arnoczky y sus 4 zonas, además de la edad del paciente, duración de los síntomas, patrón de la lesión, y lesiones concomitantes3,4,22,23. Existen diferentes técnicas como dentro fuera, todo dentro, fuera dentro y abierta que no se describirán en esta revisión. Existen alternativas cuando hay lesiones no reparables tales como, lesiones degenerativas, desgarros por maceración, lesiones marginales inestables. Las opciones incluyen menisectomía parcial, total, y trasplante meniscal24.
Algunos autores han reportado buenos resultados clínicos después de un trasplante meniscal con aloinjerto en seguimientos a corto, medio y largo plazo. Mahmoud et al., respalda un buen resultado funcional a mediano y largo plazo en lesiones condrales iniciales y que las fallas mecánicas están asociadas a lesiones condrales avanzadas7.
Riboth et al.23, estudiaron 36 pacientes, de los cuales 32 cumplieron el criterio de inclusión de mínimo 2 años de seguimiento (rango 2-15 años). El promedio de edad fue 15.4+- 1.04, rango 13-16 años con lesiones meniscales sintomáticas que falló el tratamiento conservador, demostró una mejoría en los resultados funcionales medidos mediante la puntuación de KOOS, Lysholm, IKDC, WOMAC. Además, 22% necesitaron cirugía por lesiones condrales y un 6% de nueva intervención. No requirió cirugía de revisión. No se reportaron deformidades angulares ni discrepancia en la longitud de los miembros. Concluyendo así que dicho procedimiento ofrece resultados beneficiosos retrasando o previniendo osteoartritis en la rodilla, por lo que es una opción confiable23.
Middleton et al.14 reporta 208 pacientes, de los cuales 23 cumplieron los criterios de inclusión. La población de estudio fue menor de 18 años (rango 8-18) y un seguimiento de 3.8 años (rango 0.2-7.8). Los resultados arrojaron un predominio de menisco lateral, y no reportaron casos de falla de injerto. Todos los pacientes mostraron mejoría en las escalas de medición funcional usadas como KOOS, Lysholm, Tegner, e IKDC. Cuatro pacientes necesitaron reintervención y ninguno desarrollo infección. Los autores concluyen que el procedimiento de TMA es satisfactorio en niños, mejora funcionalidad y alivia sintomatología, por lo que es un tratamiento viable14.
Un meta-análisis por Bin et al.18, comparando resultados a mediano (5-10 años) y largo plazo (> 10 años) entre trasplante meniscal alogénico medial y lateral, incluyendo 9 estudios con 287 cirugías usando TMA medial y 407 lateral, concluyen que la supervivencia a los 5-10 años del 85.8% menisco medial y 89.2% menisco lateral, mientras que >10 años la supervivencia del menisco medial es de 52.6% y lateral 56.6%. Por lo que los resultados a mediano y largo plazo son superiores para trasplante de menisco lateral19.
La utilización de aloinjerto meniscal cadavérico en paciente menor de 17 años es controversial y existe poca evidencia. El caso presentado en este reporte, en un paciente de 12 años con seguimiento de un año mostró buenos resultados, teniendo un aumento de 8 puntos (9,2%) a los 3 meses y 37 puntos (42,6%) a los 12 meses en la escala IKDC y un EVA que disminuyó en 5 puntos al año de control, muy similares a algunos reportados en la literatura mundial.
Las lesiones condrales grado II-III descritas, podrían empobrecer el pronóstico y alterar los resultados funcionales a largo plazo de este tipo de procedimiento; sin embargo, existen otros factores dependientes de la paciente que posiblemente generen un aumento de la demanda articular a tal punto que las lesiones condrales pueden progresar a un cuadro más severo; sin embargo, este procedimiento de salvamento permitirá dar protección al cartílago articular lesionado, retrasando el daño cartilaginoso del compartimento afectado, por lo que se recomienda dar un seguimiento a largo plazo con estudios de imagen y si es posible mediante visión directa bajo artroscopia.
Finalmente, el trasplante meniscal es un procedimiento de salvamento, técnicamente demandante que requiere planificación y ejecución por especialistas entrenados. Es una opción terapéutica en el caso de lesiones meniscales en adolescentes con buenos resultados a corto, mediano y largo plazo.
FinanciaciónNo hubo.
Conflicto de interésLos autores declaran no tener conflictos de interés en la realización del presente artículo. Así mismo declaran haber cumplido con todos los requerimientos éticos y legales necesarios para su publicación.
Al equipo de médicos, encabezado por el doctor Pablo Agustín Ramos Guarderas, y a la paciente y su representante legal, quienes proporcionaron la información y contribuyeron a la redacción de este artículo.








