metricas
covid
Rehabilitación Síndrome de embolismo graso con demencia como secuela
Información de la revista
Vol. 42. Núm. 2.
Páginas 96-100 (Marzo 2008)
Compartir
Descargar PDF
Más opciones de artículo
Vol. 42. Núm. 2.
Páginas 96-100 (Marzo 2008)
Síndrome de embolismo graso con demencia como secuela
Fat embolism syndrome with dementia as sequela
Visitas
4865
H. BASCUÑANA-AMBRÓSa, E. MARTITEGUI-JIMÉNEZb, A. SANTANA-BÁEZc
a Servicio de MFRHB, Clínica Plató FP. Unidad de Daño Cerebral, UDCA-Traumagest. Barcelona. España.
b Servicio de MFRHB. Hospital Universitario Miguel Servet. Zaragoza. España.
c Servicio de Neuropsicología Clínica del Adulto, UDCA-Traumagest. Barcelona. España.
Este artículo ha recibido
Información del artículo
Resumen
Texto completo
Bibliografía
Descargar PDF
Estadísticas
Tablas (3)
TABLA 1. Criterios de Gurds y Wilson para el diagnóstico del síndrome de embolismo graso
Tablas
Tablas
TABLA 3. Pruebas neuropsicológicas realizadas
Tablas
Mostrar másMostrar menos
Figuras (1)
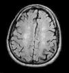
El síndrome de embolismo graso (SEG) es una entidad poco frecuente que ocurre habitualmente entre las 12-72 horas tras fracturas traumáticas de huesos largos de las extremidades inferiores. Se caracteriza por manifestaciones pulmonares, cerebrales y cutáneas. Las anomalías neurológicas son frecuentes (hasta un 86 %) y variables, aunque los pacientes suelen recuperarse sin secuelas. No existen criterios universales para el diagnóstico del SEG, aunque en el caso de sospecha de afectación neurológica se recomienda realizar una resonancia magnética cerebral. Se presenta un caso de SEG con afectación neurológica con demencia como secuela. Esta secuela, relacionada con este síndrome, no se ha encontrado descrita en otras publicaciones.
Palabras clave:
embolismo graso, alteraciones neurológicas, demencia
Fat embolism syndrome (FES) is a rare disease that occurs between 12-72 hours after traumatic long bone fractures. Their main characteristics are pulmonary, cerebral and skin manifestations. Neurological abnormalities are frequent (up to 86 %) and variable, however most of the patients recover without sequelae. There are no universal criteria for fat embolism syndrome diagnosis, but when neurological involvement is suspected an MRI of the head should be performed. We present the case of a patient with FES with neurological involvement who presented dementia as sequela. This sequela, related to FES, has not been found in other publications.
Keywords:
fat embolism, neurological manifestations, dementia

Artículo

Opciones para acceder a los textos completos de la publicación Rehabilitación
Suscriptor
Suscriptor de la revista

Si ya tiene sus datos de acceso, clique aquí.

Si olvidó su clave de acceso puede recuperarla clicando aquí y seleccionando la opción "He olvidado mi contraseña".
Suscribirse
Suscribirse a:

Rehabilitación

Comprar
Comprar acceso al artículo

Comprando el artículo el PDF del mismo podrá ser descargado

Comprar ahora
Contactar
Teléfono para suscripciones e incidencias
De lunes a viernes de 9h a 18h (GMT+1) excepto los meses de julio y agosto que será de 9 a 15h
Llamadas desde España
932 415 960
Llamadas desde fuera de España
+34 932 415 960
E-mail
Opciones de artículo
Herramientas