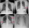
La pandemia por SARS-CoV-2 (COVID-19) ha sido un desafío diagnóstico en el que la radiografía de tórax ha tenido un papel muy relevante. El objetivo de este estudio es determinar si la escala radiológica de valoración de ingreso hospitalario (ERVI), aplicada a las radiografías de tórax de pacientes con COVID-19 a su llegada al servicio de urgencias, se relaciona con la gravedad de la COVID-19 en términos de necesidad de ingreso hospitalario, ingreso en unidad de cuidados intensivos (UCI) o la mortalidad.
Materiales y métodosSe ha realizado un estudio retrospectivo a 292 pacientes enfermos de COVID-19 que consultaron en el servicio de urgencias, en un período de mes y medio (del 16 de marzo al 30 de abril de 2020). Para estandarizar los patrones radiológicos, hemos utilizado la escala ERVI, categorizando el patrón radiológico en leve, moderado y grave. Se ha analizado la relación entre la gravedad radiológica según la escala ERVI y la necesidad de ingreso hospitalario, en UCI y la mortalidad.
ResultadosEl 91,4% de los pacientes precisaron ingreso. Existe una asociación estadísticamente significativa entre la escala ERVI y la necesidad de ingreso hospitalario (p=0,03). El ingreso en UCI presenta una asociación significativa con la escala ERVI (p<0,001). Han fallecido 51 (17,5%) pacientes, de los cuales el 57% presentaba una escala ERVI grave. Cuando estudiamos la mortalidad agrupando a los pacientes según su resultado en la escala ERVI y su rango de edad, el porcentaje de fallecidos aumenta a partir de los 70 años en los pacientes con una escala ERVI moderada y grave.
ConclusionesLa radiografía de tórax en pacientes con COVID-19 a su llegada al servicio de urgencias es una herramienta pronóstica en cuanto a la decisión de ingreso hospitalario, en UCI y mortalidad, de manera que las escalas ERVI graves tienen una mayor mortalidad e ingreso en UCI con una diferencia estadísticamente significativa.
The pandemia caused by SARS-CoV-2 (COVID-19) has been a diagnostic challenge in which chest X-rays have had a key role. This study aimed to determine whether the Radiological Scale for Evaluating Hospital Admission (RSEHA) applied to chest X-rays of patients with COVID-19 when they present at the emergency department is related with the severity of COVID-19 in terms of the need for admission to the hospital, the need for admission to the intensive care unit (ICU), and/or mortality.
Material and methodsThis retrospective study included 292 patients with COVID-19 who presented at the emergency department between March 16, 2020 and April 30, 2020. To standardize the radiologic patterns, we used the RSEHA, categorizing the radiologic pattern as mild, moderate, or severe. We analyzed the relationship between radiologic severity according to the RSEHA with the need for admission to the hospital, admission to the ICU, and mortality.
ResultsHospital admission was necessary in 91.4% of the patients. The RSEHA was significantly associated with the need for hospital admission (p=0.03) and with the need for ICU admission (p<0.001). A total of 51 (17.5%) patients died; of these, 57% had the severe pattern on the RSEHA. When we analyzed mortality by grouping patients according to their results on the RSEHA and their age range, the percentage of patients who died increased after age 70 years in patients classified as moderate or severe on the RSEHA.
ConclusionsChest X-rays in patients with COVID-19 obtained in the emergency department are useful for determining the prognosis in terms of admission to the hospital, admission to the ICU, and mortality; radiologic patterns categorized as severe on the RSEHA are associated with greater mortality and admission to the ICU.












