metricas
covid
Radiología Tumor inflamatorio miofibroblástico pulmonar
Información de la revista
Vol. 49. Núm. 1.
Páginas 53-55 (Enero 2007)
Compartir
Descargar PDF
Más opciones de artículo
Vol. 49. Núm. 1.
Páginas 53-55 (Enero 2007)
Tumor inflamatorio miofibroblástico pulmonar
Myofibroblastic inflammatory tumor of the lung
Visitas
10143
I. Pinillaa, Y. Herreroa, MI. Torresa, M. Nistalb, M. Pardoa
a Servicio de Radiodiagnóstico. Hospital Universitario La Paz. Madrid. España.
b Servicio de Anatomía Patológica. Hospital Universitario La Paz. Madrid. España.
Este artículo ha recibido
Información del artículo
Resumen
Texto completo
Bibliografía
Descargar PDF
Estadísticas
Figuras (4)
Mostrar másMostrar menos
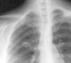
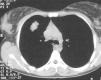
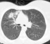
El tumor inflamatorio miofibroblástico es una entidad controvertida con una gran variabilidad de presentación clínica, hallazgos anatomo-patológicos, evolución y pronóstico. Es una causa rara de tumor pulmonar primario en adultos, pero es la causa más frecuente de tumor pulmonar en niños. El diagnóstico es fundamentalmente anatomo-patológico, aunque no es fácil, dado que se caracteriza por una infiltración celular polimórfica de composición celular variable que puede recordar a otras patologías como el linfoma o el sarcoma de bajo grado. Presentamos un caso de una mujer de 23 años asintomática, en el que en una radiografía de tórax se descubre como hallazgo casual un nódulo solitario pulmonar.
Palabras clave:
tumor miofibroblástico pulmonar, pseudotumor inflamatorio pulmonar, TC
Myofibroblastic inflammatory tumor is a controversial entity that shows great variability in clinical presentation, histological findings, evolution, and prognosis. It is a rare cause of primary lung tumor in adults; however, it is the most common cause of lung tumors in children. The diagnosis is fundamentally histological, although histological diagnosis is not easy because myofibroblastic inflammatory tumor is characterized by a polymorphic cellular infiltration of variable cellular composition that could be similar to other diseases such as lymphoma or low-grade sarcoma. We report the case of a 23-year-old woman in whom a solitary pulmonary nodule was discovered incidentally at plain-film chest x-ray.
Keywords:
myofibroblastic tumor of the lung, inflammatory pseudotumor of the lung, CT

Artículo

Opciones para acceder a los textos completos de la publicación Radiología
Suscriptor
Suscriptor de la revista

Si ya tiene sus datos de acceso, clique aquí.

Si olvidó su clave de acceso puede recuperarla clicando aquí y seleccionando la opción "He olvidado mi contraseña".
Suscribirse
Suscribirse a:

Radiología

Comprar
Comprar acceso al artículo

Comprando el artículo el PDF del mismo podrá ser descargado

Comprar ahora
Contactar
Teléfono para suscripciones e incidencias
De lunes a viernes de 9h a 18h (GMT+1) excepto los meses de julio y agosto que será de 9 a 15h
Llamadas desde España
932 415 960
Llamadas desde fuera de España
+34 932 415 960
E-mail
Opciones de artículo
Herramientas