metricas
covid
Radiología Oncocitoma renal. Manifestaciones radiológicas fundamentales y patrones de capt...
Información de la revista
Vol. 49. Núm. 2.
Páginas 109-114 (Marzo 2007)
Compartir
Descargar PDF
Más opciones de artículo
Vol. 49. Núm. 2.
Páginas 109-114 (Marzo 2007)
Oncocitoma renal. Manifestaciones radiológicas fundamentales y patrones de captación en tomografía computarizada helicoidal trifásica
Renal oncocytoma. Fundamental radiologic manifestations and enhancement patterns in tri-phase helical CT
Visitas
33234
R de la Cruz Burgosa, J. Martel Villagrána
a Servicio de Radiodiagnóstico. Fundación Hospital Alcorcón. Alcorcón. Madrid. España.
Este artículo ha recibido
Información del artículo
Resumen
Texto completo
Bibliografía
Descargar PDF
Estadísticas
Figuras (7)
Mostrar másMostrar menos
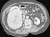
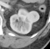
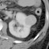
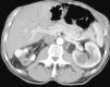
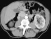
Objetivo. El oncocitoma es un tumor renal benigno, relativamente infrecuente. Hasta este momento su diferenciación radiológica del carcinoma de células renales se considera imposible, aunque hay escasos artículos en que se haya utilizado la tomografía computarizada (TC) trifásica. Los autores describen los hallazgos con TC trifásica en estos tumores, valorando si algunas características, aunque no diagnósticas, sí pudieran sugerir la posibilidad de este diagnóstico. Esto, en algunos casos, podría cambiar el manejo de los pacientes. Material y métodos. Se describen los hallazgos de TC trifásica en 10 casos de oncocitoma, vistos en 8 pacientes (un caso era multifocal-bilateral). En todos los casos el diagnóstico fue anatomopatológico, en la pieza de resección. Resultados. Todos los tumores fueron hallazgos ecográficos incidentales previos a la TC, presentando un tamaño muy variable, de 3 a 15 cm, con una media de 5,2 cm. El contorno era bien definido. Uno de los pacientes tenía tumores bilaterales (2 derechos y 1 izquierdo). Excepto en un tumor, el resto mostraban una cicatriz «estrellada» interna, que en un caso seguía un marcado patrón lobular. La captación tumoral de contraste fue ávida, con una media de 120 HU en fase arterial y 116 HU en fase excretora. La evolución de todos los pacientes fue buena, no detectándose recidivas postquirúrgicas. Conclusiones. Aunque la diferenciación con el carcinoma de células renales no puede hacerse con certeza, debe sugerirse la posibilidad de oncocitoma, fundamentalmente en tumores pequeños, con cicatriz central, ausencia de necrosis, falta de infiltración y un patrón de captación como el que se describe. Independientemente del tamaño, una morfología lobular del tumor también debe sugerir esta posibilidad.
Palabras clave:
riñón, oncocitoma, tomografía computarizada, trifásica
Objective. Oncocytoma is a relatively uncommon benign kidney tumor. To date, it has been impossible to differentiate this tumor from renal cell carcinoma radiologically, although few articles report on the use of tri-phase CT in this tumor. We describe the triphasic CT findings in these tumors and evaluate whether some characteristics, although not sufficient to ensure the diagnosis, can suggest the possibility of oncocytoma. In some cases, this may lead to a different approach to the management of patients. Material and methods. We describe the tri-phase CT findings in 10 cases of oncocytoma in eight patients (one case was bilateral and multifocal). The diagnosis was made after histological examination of surgical specimens in all cases. Results. All the tumors were found incidentally at ultrasound examination prior to CT study. Tumors all had well-defined borders, and their size ranged from 3 to 15 cm, with a mean diameter of 5.2 cm. One patient had bilateral tumors (2 right and 1 left). All but one of the tumors had a star-shaped scar inside, with a marked lobular pattern in one case. All tumors showed avid uptake, with mean enhancement of 120 HU in the arterial phase and 116 HU in the venous phase. All patients evolved favorably with no post-surgical relapse. Conclusions. Although oncocytoma cannot be differentiated from renal cell carcinoma with certainty, the possibility of oncocytoma should be suggested in the case of small tumors with a central scar, without necrosis or infiltration, and an enhancement pattern as described here. Regardless of the size of the tumor, lobular morphology should also suggest this possibility.
Keywords:
kidney, oncocytoma, computed tomography, tri-phasic

Artículo

Opciones para acceder a los textos completos de la publicación Radiología
Suscriptor
Suscriptor de la revista

Si ya tiene sus datos de acceso, clique aquí.

Si olvidó su clave de acceso puede recuperarla clicando aquí y seleccionando la opción "He olvidado mi contraseña".
Suscribirse
Suscribirse a:

Radiología

Comprar
Comprar acceso al artículo

Comprando el artículo el PDF del mismo podrá ser descargado

Comprar ahora
Contactar
Teléfono para suscripciones e incidencias
De lunes a viernes de 9h a 18h (GMT+1) excepto los meses de julio y agosto que será de 9 a 15h
Llamadas desde España
932 415 960
Llamadas desde fuera de España
+34 932 415 960
E-mail
Opciones de artículo
Herramientas