Suplemento “Patología Intersticial Pulmonar”
Más datosLa neumonía organizada es un patrón patológico inespecífico de respuesta al daño pulmonar que puede ser idiopático o secundario a numerosos procesos médicos, los más frecuentes, las infecciones, las enfermedades del tejido conectivo y la toxicidad farmacológica.
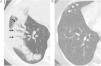
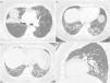
Aunque no existe una definición estricta del patrón radiológico de neumonía organizada como en otras neumonías intersticiales idiopáticas, se puede considerar que el patrón característico de esta enfermedad consiste en la presencia de consolidaciones pulmonares y opacidades de atenuación en vidrio deslustrado bilaterales parcheadas de distribución peribronquial y subpleural. Además, en los estudios evolutivos de la enfermedad son características la respuesta a corticoides de estas lesiones, su carácter migratorio sin o con tratamiento y su tendencia a recaer al disminuir o retirar el tratamiento.
Son también manifestaciones de la neumonía organizada los nódulos de morfología y tamaño variable, las masas solitarias, los nódulos con apariencia de «halo invertido», el patrón perilobulillar y las bandas parenquimatosas.
Organizing pneumonia is a non-specific pathologic pattern of response to lung damage. It can be idiopathic, or it can occur secondary to various medical processes, most commonly infections, connective tissue disease, and pharmacological toxicity.
Although there is no strict definition of the radiological pattern of organizing pneumonia as in other idiopathic interstitial pneumonias, the characteristic pattern of this disease could be considered to include patchy consolidations and ground-glass opacities in the peribronchial and subpleural areas of both lungs. Moreover, follow-up examinations show that these lesions respond to treatment with corticoids, migrate with or without treatment, and tend to recur when treatment is decreased or withdrawn.
Other manifestations of organizing pneumonia include nodules of different sizes and shapes, solitary masses, nodules with the reversed halo sign, a perilobular pattern, and parenchymal bands.














