metricas
covid
Radiología Neumonía lipoidea: a propósito de 2 casos
Información de la revista
Vol. 67. Núm. 5.
(Septiembre - Octubre 2025)
Compartir
Descargar PDF
Más opciones de artículo
Vol. 67. Núm. 5.
(Septiembre - Octubre 2025)
Carta científica
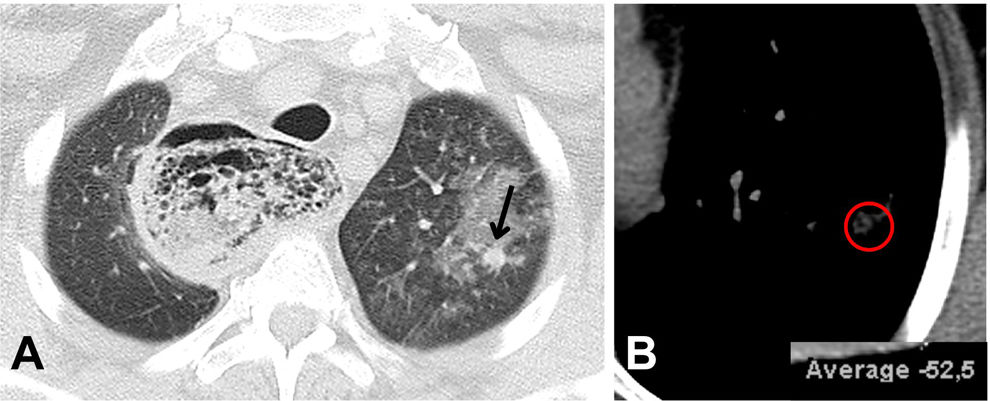
Neumonía lipoidea: a propósito de 2 casos
Two cases of lipoid pneumonia
Visitas
572
C. Delange Izurrateguia,
Autor para correspondencia
cristinadelangerayos@gmail.com

Autor para correspondencia.
, J. Collada-Carrascoa, P. Caballero Sánchez-Roblesa,b
a Servicio de Radiodiagnóstico, Hospital Universitario de la Princesa, Madrid, España
b Facultad de Medicina, Universidad Autónoma de Madrid, Madrid, España
Este artículo ha recibido
Información del artículo
Texto completo
Bibliografía
Descargar PDF
Estadísticas
Figuras (2)

Artículo

Opciones para acceder a los textos completos de la publicación Radiología
Suscriptor
Suscriptor de la revista

Si ya tiene sus datos de acceso, clique aquí.

Si olvidó su clave de acceso puede recuperarla clicando aquí y seleccionando la opción "He olvidado mi contraseña".
Suscribirse
Suscribirse a:

Radiología

Comprar
Comprar acceso al artículo

Comprando el artículo el PDF del mismo podrá ser descargado

Comprar ahora
Contactar
Teléfono para suscripciones e incidencias
De lunes a viernes de 9h a 18h (GMT+1) excepto los meses de julio y agosto que será de 9 a 15h
Llamadas desde España
932 415 960
Llamadas desde fuera de España
+34 932 415 960
E-mail