metricas
covid
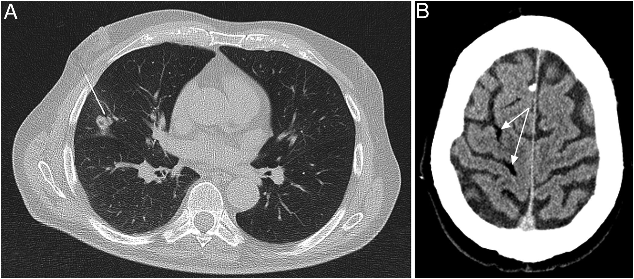
Radiología Embolia gaseosa arterial tras biopsia pulmonar percutánea
Información de la revista
Vol. 61. Núm. 3.
Páginas 269-270 (Mayo - Junio 2019)
Compartir
Descargar PDF
Más opciones de artículo
Vol. 61. Núm. 3.
Páginas 269-270 (Mayo - Junio 2019)
Carta científica
Embolia gaseosa arterial tras biopsia pulmonar percutánea
Arterial air embolism after percutaneous lung biopsy
Visitas
2183
Esther Reguero Llorentea,
Autor para correspondencia
etrechuelo@yahoo.es

Autor para correspondencia.
, Esther Alonso Garcíab
a Unidad de Tórax, Servicio de Radiodiagnóstico, Hospital Universitario de Burgos, Burgos, España
b Unidad de Neurorradiología, Hospital Universitario de Burgos, Burgos, España
Este artículo ha recibido
Información del artículo
Texto completo
Bibliografía
Descargar PDF
Estadísticas
Figuras (2)

Artículo

Opciones para acceder a los textos completos de la publicación Radiología
Suscriptor
Suscriptor de la revista

Si ya tiene sus datos de acceso, clique aquí.

Si olvidó su clave de acceso puede recuperarla clicando aquí y seleccionando la opción "He olvidado mi contraseña".
Suscribirse
Suscribirse a:

Radiología

Comprar
Comprar acceso al artículo

Comprando el artículo el PDF del mismo podrá ser descargado

Comprar ahora
Contactar
Teléfono para suscripciones e incidencias
De lunes a viernes de 9h a 18h (GMT+1) excepto los meses de julio y agosto que será de 9 a 15h
Llamadas desde España
932 415 960
Llamadas desde fuera de España
+34 932 415 960
E-mail
Opciones de artículo
Herramientas