metricas
covid
Radiología Diagnóstico y estadificación del carcinoma de páncreas (I)
Información de la revista
Vol. 48. Núm. 5.
Páginas 273-282 (Septiembre 2006)
Compartir
Descargar PDF
Más opciones de artículo
Vol. 48. Núm. 5.
Páginas 273-282 (Septiembre 2006)
Diagnóstico y estadificación del carcinoma de páncreas (I)
Diagnosis and staging of carcinoma of the pancreas (I)
Visitas
38266
C. Ayusoa, M. Sáncheza, J R. Ayusoa, T. M de Caralta, Cde Juana
a Servicio de Radiodiagnóstico. Hospital Clínic. Barcelona. España.
Este artículo ha recibido
Información del artículo
Resumen
Texto completo
Bibliografía
Descargar PDF
Estadísticas
Figuras (11)
Mostrar másMostrar menos
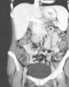
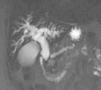
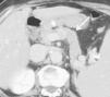
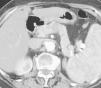
El carcinoma de páncreas es una neoplasia de mal pronóstico que se diagnostica en fases avanzadas de la enfermedad en la mayoría de los pacientes. Dado que la resección quirúrgica es la única terapéutica potencialmente curativa de la enfermedad, resulta de máximo interés seleccionar adecuadamente el grupo de pacientes con tumor pancreático en fase inicial, no extendida, y por ello resecable. Son varias las técnicas de imagen de que disponemos para llevar a cabo este propósito: ultrasonografía (US), tomografía computarizada (TC), resonancia magnética (RM), más recientemente se ha incorporado la ultrasonografía endoscópica (USE) y por último la tomografía por emisión de positrones (PET). Otras técnicas como la laparoscopia asistida o no mediante ecografía, también intervienen en el proceso diagnóstico y de estadificación de estos pacientes. El continuo desarrollo tecnológico de cada una de las técnicas mencionadas hace que estén siendo evaluadas de forma reiterada en la literatura científica a lo largo de las dos últimas décadas. La presente revisión tiene por objetivo evaluar cada una de las técnicas y presentar algunos algoritmos de diagnóstico reflejados en la literatura con el propósito de obtener la mayor precisión diagnóstica y de extensión de la enfermedad para evitar así una cirugía innecesaria en casos no susceptibles de ser resecados.
Palabras clave:
carcinoma pancreático ducal, ultrasonografía, tomografïa computarizada helicoidal, resonancia magnética, colangiopancreatografía por RM, ecoendoscopia, tomografía por emisión de positrones, diagnóstico por imagen
Carcinoma of the pancreas is a neoplasm with a poor prognosis that is diagnosed in the advanced stages in most patients. Given that surgical resection is the only potentially curative treatment for this disease, it is of the utmost importance to appropriately select the group of patients with initial stage pancreatic tumors that have not extended and can therefore be resected. Several different imaging techniques can be used for this purpose: ultrasonography (US), computed tomography (CT), magnetic resonance (MR), as well as the recent additions of endoscopic ultrasonography (EUS) and positron emission tomography (PET). Other techniques, such as laparoscopy and laparoscopic ultrasonography, also play a role in the diagnosis and staging of these patients. Continual technological developments in each of the above-mentioned techniques have led to reiterated updates in the scientific literature throughout the last two decades. This review aims to evaluate each of these techniques and present diagnostic algorithms reflected in the literature in order to achieve the greatest diagnostic accuracy in determining the extent of the disease so that unnecessary surgery can be avoided in cases not susceptible to resection.
Keywords:
pancreatic duct carcinoma, ultrasonografía, helical computed tomography, magnetic resonance, MR cholangiopancreatography, echoendoscopy, positron emission tomography, diagnostic imaging

Artículo

Opciones para acceder a los textos completos de la publicación Radiología
Suscriptor
Suscriptor de la revista

Si ya tiene sus datos de acceso, clique aquí.

Si olvidó su clave de acceso puede recuperarla clicando aquí y seleccionando la opción "He olvidado mi contraseña".
Suscribirse
Suscribirse a:

Radiología

Comprar
Comprar acceso al artículo

Comprando el artículo el PDF del mismo podrá ser descargado

Comprar ahora
Contactar
Teléfono para suscripciones e incidencias
De lunes a viernes de 9h a 18h (GMT+1) excepto los meses de julio y agosto que será de 9 a 15h
Llamadas desde España
932 415 960
Llamadas desde fuera de España
+34 932 415 960
E-mail
Opciones de artículo
Herramientas